AOTRAUMA.ORG Центр Илизарова  

Ортопедия и травматология Общие вопросы/General questions Help Информационные технологии в медицине
 вверх
 отправить
 поиск
 админ
 главная


Нестабильность коленного сустава
Ортопедия и травматология Отправлено Ruslan 01 Декабрь 2009, 08:37
Уважаемые коллеги,

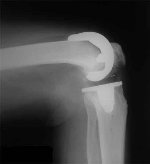
Стрессовый снимок
Оперирована пациентка 42 лет, избыточного веса. Выполнено б/ц протезированние коленного сустава эндопротезом LCS. Послеоперационный период гладкий, в срок 2 мес. после операции объем движений удовлетворительный, сгибание до острого угла, разгибание полное. В 3,5 мес. во время падения подвернула ногу, после чего появилась. клиника медиолатеральной нестабильности. В течении 3 недель фиксация в туторе. При повторном осмотре жалобы на дискомфорт в коленном суставе, «щелканье», неустойчивость в суставе. Вопросы/варианты дальнейшей тактики лечения пациентки.
1) Существует ли способы восстановления внутренней боковой связки на фоне протезированного коленного сустава и как добиться равномерного ее натяжения при всех углах сгибания.
2) Ревизия с установкой более связанного протеза (constrained)
3) Оставить как есть, ждать износа вкладыша, развития нестабильности протеза, а затем идти на связанный протез.
4) Другие варианты.

<  |  >

 

  • Сообщения о Ортопедия и травматология
  • Также Ruslan
  • Связаться с автором
  • Ответить

    Re: Нестабильность коленного сустава
    Евгений 01 Декабрь 2009, 15:47
    В моей практике имел место аналогичный случай у мужчины 62 лет. Выполнена пластика связки перекрещенной проленовой лентой. Иммобилизация шарнирным артезом 3 недели и далее - стандартный двигательный режим для пациентов, перенесших протезирование. Длительность наблюдения - 2 года. Проблем не возникло.
    [ Ответить ]

    Re: Нестабильность коленного сустава
    Алишер Хамраев 02 Декабрь 2009, 03:00
    Если эндопротез стабилен, его не трогать. Внутреннюю боковую связку можно восстановить по методу Г.П.Котельникова (только вместо сухожилия нежной мышцы лучше использовать сухожилие полусухожильной мышцы). Хуже не будет.
    [ Ответить ]

    Re: Нестабильность коленного сустава
    Эдуард Р. 02 Декабрь 2009, 19:59
    различные виды восстановления медиальной стабильности представлены на сайте www ufaorto.3dn.ru
    [ Ответить ]


    ( Ответить )

    Powered by Zope  Squishdot Powered MedLink
    Посетитель: 0178619
      "По форме правильно, а по существу - издевательство" В.И.Ленин
    ©2001-2019Orthoforum Coordinator.
    [ Главная | Отправить сообщение | Поиск | Админ ]