AOTRAUMA.ORG Центр Илизарова  

Ортопедия и травматология Общие вопросы/General questions Help Информационные технологии в медицине
 вверх
 отправить
 поиск
 админ
 главная


Нестабильность эндопротеза коленного сустава
Ортопедия и травматология Отправлено Найданов Вадим Федорович 22 Декабрь 2009, 19:42 Томск
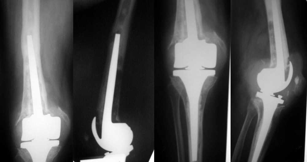
Пациентка 72 лет. Асептическая нестабильность бедренного компонента ротационного протеза Endo-Model (Waldemar Link).
Тибиальный компонент наиболее вероятно стабилен по данным R-графии. Индивидуальный эндопротез у W.Link оказался неподъемным по цене. Уважаемые коллеги, подскажите где и у какой фирмы можно найти соответствующий имплантант, оптимальный по цене - качеству.

<  |  >

 

  • Сообщения о Ортопедия и травматология
  • Также Найданов Вадим Федорович
  • Связаться с автором
  • Ответить

    Re: Нестабильность эндопротеза коленного сустава
    Anantoly Yakushin 23 Декабрь 2009, 22:47
    Вопрос непростой. Дешевых ревизионных эндопротезов не бывает.
    У себя в отделении мы бы воспользовались Biomet DA 2000 или OSS.

    Кстати, Вы уверены в асептической природе нестабильности? Больно выраженный лизис. Данных за инфекционное поражение нет?
    [ Ответить ]

    • Re: Нестабильность эндопротеза коленного сустава
      Отправитель: Найданов Вадим 24 Декабрь 2009, 10:55
      Уверенность - женщина ветренная и переменчивая, особенно в случае ревизий.
      Во всяком случае пока данных за инфекцию ни клинически, ни лаболаторно не выявлено.

      [ Ответить ]
    Re: Нестабильность эндопротеза коленного сустава
    Сергей 13 Январь 2010, 18:33
    В ЦИТО, в отделении костной патологии взрослых используют онкологический эндопротез производства МАТИ-ЦИТО. Дешево и сердито для пациента 72 лет, но функцию восстановить можно.
    [ Ответить ]


    ( Ответить )

    Powered by Zope  Squishdot Powered MedLink
    Посетитель: 0000020
      "По форме правильно, а по существу - издевательство" В.И.Ленин
    ©2001-2019Orthoforum Coordinator.
    [ Главная | Отправить сообщение | Поиск | Админ ]