AOTRAUMA.ORG Центр Илизарова  

Ортопедия и травматология Общие вопросы/General questions Help Информационные технологии в медицине
 вверх
 отправить
 поиск
 админ
 главная


Врожденный синостоз лучевой и локтевой кости
Ортопедия и травматология Отправлено Abdurashid 05 Январь 2010, 22:28
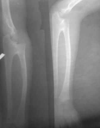
Уважаемые коллеги. Обратился мальчик 10 лет, с врожденным синостозом в проксимальном эпиметафизе лучевой и локтевой кости,
сгибание и разгибание в полном объеме, кисть в положении пронации, супинация отсутствует, из-за чего нарушена многие функции кисти. Больной и родители просят по возможности восстановить функции кисти-супинацию!
Наш план: резекция лучевой кости на уровне проксимального метафиза 1-1,5см,и ранняя разработка движений, с тем что бы образовался ложный сустав.
Вопросы:- не происходить ли конфликт в дистальном луче-локтевом суставе?
-не смещается ли дистальный отломок лучевой кости после резекции, с дальнейшими последствиями?
-или имеется проверенные на практике другие варианты лечения?
Уважаемые ортопеды, помогите и поделитесь опытом пожалуйста!
С уважением Абдурашид.

<  |  >

 

  • Сообщения о Ортопедия и травматология
  • Также Abdurashid
  • Связаться с автором
  • Ответить

    Re: Врожденный синостоз лучевой и локтевой кости
    Юрий Р. 06 Январь 2010, 04:33
    А если сделать не резекцию, а остеотомию с дальнейшей ранней разработкой? Это в плане рассуждения, а не опыта...
    [ Ответить ]

    Re: Врожденный синостоз лучевой и локтевой кости
    Trypolski 06 Январь 2010, 05:07
    Может это Вам чем то поможет...
    Methods

    Taking down the synostosis and interposition of soft tissue
    -poor results
    -narrowing of interosseous membrane
    -loss of correction with refusion

    Kelikian/Doumanian swivel
    -resection of a piece of proximal radius and insertion of swivel.
    -simultaneous transfer of FCR, FCU or EDU for active supination
    -failure secondary to loosening of swivel, swivel failure

    Derotational osteotomy distal to synostosis site
    -rotation of forearm to improved position distal to osteotomy
    -fixation was with K-wires, Steinman pins or staples
    -failure from loss of rotation secondary to tight interosseous membrane
    -significant risk of vascular compromise secondary to functional shortening of arteries of forearm
    -the further the osteotomy from the synostosis the greater the vascular risk

    Derotational osteotomy through the synostosis mass
    -osteotomy through the synostosis with rotation to more functional position
    -position held with pins, external fixator or plaster until synostosis reforms
    -usual loss of 15 degrees of original correction
    -Simmons et al. in 1983, Kahalil and Vizkelety in 1993 demonstrated good functional out comes
    -bilateral cases should have one hand in slight pronation and the other in neutral position

    Derotational osteotomy with the Ilizarov Method
    -osteotomy through the synostosis
    -fixation proximally with hybrid fixation
    -fixation distally with half pins
    Ilizarov device with rotation/translation hinges
    -rotation at a rate of 4 degrees per day
    -low risk of vascular injury because of slow rotational correction
    [ Ответить ]

    Re: Врожденный синостоз лучевой и локтевой кости
    Устьянцев Ибрагимов 06 Январь 2010, 10:05
    Уважаемый Абдурашид!
    Все знают,как тяжело добиться синестозирования парных костей,либо получить функциональный псевдоартроз при последствиях травм. И совершенно невозможно добиться этого при врожденных аномалиях, к которым относится приведенный случай,
    попытки десиностозирования под действием заложенной программы заканчиваются рецидивом,да еще с побочным эффектом- частичной или полной потерей функции локтевого сустава.
    Можно конечно попробовать, чтобы убедиться в сказанном на личном опыте.Но мы бы ограничились оптимальной сублимацией имеющейся функции- путем остеотомии лучевой кости с последующей деротацией, формированием поперечного регенерата(по Илизарову) до установки кисти в функционально выгодное положение.
    [ Ответить ]

    Re: Врожденный синостоз лучевой и локтевой кости
    Alexander Artemiev 07 Январь 2010, 00:14
    Здравствуйте, Abdurashid.
    С врожденным синостозированием сталкиваться не приходилось. Однако при травмах такие ситуации возникают. При этом желательно добиться фиксации в функционально выгодном положении.
    Думаю, и в данном случае это можно рассматривать как реальную программу-минимум. Путем остеотомии и сращения в функционально-выгодном положении.
    С уважением Александр Артемьев
    Мытищи
    [ Ответить ]

    Re: Врожденный синостоз лучевой и локтевой кости
    Dmitry 07 Январь 2010, 18:35
    При таких аномалиях развития проксимальный синостоз - не единственная аномалия. Присутствует также крайняя степень недоразвития m.supinator et m.pronator teres.
    К сожалению, резекции и остеотомии луча в данной ситуации не приведут к восстановлению функции супинации/пронации.
    Методом выбора, как писали уже коллеги, остается корригирующая проксимальная остеотомия для выведения кисти в функционально выгодное положение (учитывая правша он или левша, предпочитаемый вид спорта, предполагаемая профессия и т.д.). Метод остеосинтеза - выбирайте по Вашему предпочтению.
    С уважением
    [ Ответить ]

    Re: Врожденный синостоз лучевой и локтевой кости
    Дедок Михаил 07 Январь 2010, 22:09
    А если после устранения синостоза сделать интерпозицию фасцией? Ведь при интерпозиции переломы не срастаются.
    [ Ответить ]

    Re: Врожденный синостоз лучевой и локтевой кости
    Ельцин Александр 08 Январь 2010, 03:00
    Уважаемый Абдурашид!
    Не делайте то, что Вы написали. Очень высокий риск повреждения глубокой ветви лучевого нерва и "снежный ком" проблем в дальнейшем, при минимальном косметическом эффекте.
    Родителям однозначно надо объяснить, что супинация-пронация не восстановятся никогда!!!
    Для создания более функционального предплечья и кисти надо сделать деротационную остеотомию костей предплечья в н/3.
    С уважением, Александр Ельцин, с.н.с. отделения детской травматологии ЦИТО.

    [ Ответить ]

    • Re: Врожденный синостоз лучевой и локтевой кости
      Отправитель: Адонин 08 Январь 2010, 08:42
      У данного ребнка нет мышц, чтоб пронировать-супинировать предплечье.
      Если хочется что-то сделать - сделайте остеотомию на любом уровне и установите предплечье в функционально выгодное положение.

      [ Ответить ]
    Re: Врожденный синостоз лучевой и локтевой кости
    Шведовченко Игорь Владимирович 08 Январь 2010, 17:24
    Уважаемый Абдурашид. Не совсем обычная рентгенологическая картина для врожденного синостоза проксимального радиоульнарного сочленения. Отсутствие (рентгенологически) выраженной дугообразной деформации диафиза лучевой кости заставляет думать о минимальной выраженности пронационной контрактуры предплечья.
    Значительный опыт лечения, в том числе и с попытками создания неосустава в пораженной зоне (см.4-томное руководство под редакцией Н.В.Корнилова, национальное руководство по педиатрии для врачей) дает возможность рекомендовать вам производство поперечной остеотомии лучевой кости и установки предплечья в положение пронации 10-15 градусов. Основная опасность - после остеотомии лучевой кости в зоне, примыкающей к синостозу, деротация будет невозможна. Ни в коем случае не деротируйте насильно!!! Гарантированно парез глубокой ветви лучевого нерва!! Вторая остеотомия на уровне границы дистальной и средней трети лучевой кости.
    Если же предплечье у вашего больного первично находится в положении пронации под указанными углами - лечение не показано
    [ Ответить ]

    • Re: Врожденный синостоз лучевой и локтевой кости
      Отправитель: Abdurashid 09 Январь 2010, 19:53


      Уважаемые коллеги, спасибо большое!
      У больного патология двухсторонная, и оба предплечья находятся в положении пронации 10-15 градусов!
      Поэтому, думал левую руку оставить как есть, а правую (т.к. правша) каким то способом супинировать , чтобы мог лучше обслуживать себя.
      После Ваших рекомендации, уважаемые коллеги, стало ясно сложность данной проблемы, и будем думать и анализировать, что делать, или не делать!
      С уважением Абдурашид.

      [ Ответить ]
    Re: Врожденный синостоз лучевой и локтевой кости
    AZIZ 28 Сентябрь 2020, 23:59
    Здрасвуйте уважаемый доктор! С позьвалением хочу попросить от вась лишь один: ПАРНИ С ТАКИЕ БОЛЕЗНИ ВРОЖДЕННЫЙ СИНОСТОЗ ЛОКТИ ГОДЕН ИЛИ НЕГОДЕН ? Пожалуйста ответте меня уважаемые доктори.
    [ Ответить ]


    ( Ответить )

    Powered by Zope  Squishdot Powered MedLink
    Посетитель: 0059013
      "По форме правильно, а по существу - издевательство" В.И.Ленин
    ©2001-2019Orthoforum Coordinator.
    [ Главная | Отправить сообщение | Поиск | Админ ]