Ответить
|
Re: ассептический некроз головки левой бедренной кости
Maxim Agalakov 17 Январь 2010, 23:50
|
Снимки можно посмотреть?
|
[
Ответить ]
|
Re: ассептический некроз головки левой бедренной кости
гуфрон 18 Январь 2010, 13:10
|
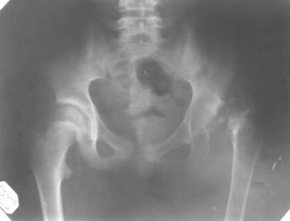
Снимок во вложении по поводу АНГБ

|
[
Ответить ]
|
Re: ассептический некроз головки левой бедренной кости
Др Гофман Алекс 19 Январь 2010, 03:28
|
Согласен с Вами что протезирование в детском возрасте крайне не желательно.Необходимо как можно дольше отодвинуть по времени операцию по пересадке сустава (к 25-30 годам)но важно постоянно наступать на ногу что бы избежать атрофии мышц остеопороза кости и анкилоза.
Возможный вариант решения проблемы-
Pelvic support proximal femur osteotomy with maximal adduction of proximal fragment and
Distal femur osteotomy for lengthening and normalization of limb mechanical axis.
В российской литературе это должно называться
Ilizarov Hip Reconstruction
попытаюсь приложить послеоперационный снимок
|
[
Ответить ]
|
Re: ассептический некроз головки левой бедренной кости
Отправитель: Виталий Евгеньевич Казеннов 24 Январь 2010, 22:14
|
Вальгизирующая остеотомия по Шанцу с удлинением бедра в нижней трети по Илизарову? Согласен полностью.
Первый раз слышу о какой-то особой реконструкции тазобедренного сустава по Гавриилу Абрамовичу...
Вр. Казённов Виталий Евгеньевич, Хабаровск
|
[
Ответить ]
|
|
Re: ассептический некроз головки левой бедренной кости
Виктор П. Волошин 21 Январь 2010, 02:57
|
Привет Худжанду. В прежние времена делали пластику из передней половины большого вертела. Напоминала семафор. Довелось в 80-х оперировать больного (не помню точно, но более 20 лет после такой операции)- при тотальном эндопротезировании особых анатомических сложностей не было. На мое удивление по этому поводу проф.Дубров Я.Г. резонно ответил, что "раньше травматологи были не хуже". Еще вариант, который можно обсудить с родственниками - артродез. При всей неоднозначности операции у молодого пациента она может быть вполне приемлемым выбором.
ВВП, МОНИКИ
|
[
Ответить ]
|
Re: ассептический некроз головки левой бедренной кости
Отправитель: Виталий Евгеньевич Казеннов 24 Январь 2010, 22:16
|
В нашей клинике в 70-е был хороший (по объёму!) материал по артродезированию
тазобедренного. Ничего хорошего.
Кто-нибудь располагает статистикой по артродезам у подростков?
Срок фиксации?
Риск несращения?
Импланты?
Илизаров?
Гипс?
Биомеханика формирующейся женщины в жарком климате?
ВЕК, ДВГМУ
|
[
Ответить ]
|
Re: ассептический некроз головки левой бедренной кости
Отправитель: Evgueny 24 Январь 2010, 22:21
|
Виктор Парфентьевич, Доброго Здоровья,
Рад встрече в инете !
Как альтернативу артродезу/ артропластике в детском возрасте при патологии т.б. много работ по двойной вальгизирующей остеотомии бедра , предложенной Илизаровым или pelvic support osteotomy (много статей на google.com)
На ASAMI конгрессе было представлено несколько докладов на сессиях по детской ортопедии с хорошими результатами после правильно выполненных
остеотомий: восстановление опорности ноги, отсутствие болей, исчезновение Тренделенбурга
На сессиях по взрослой ортопедии - результаты обратные, из-за постоянных болей больных протезировали с техническими сложностями.( хотя, на мой взгляд, на снимках протезированных больных техника остеотомии не была соблюдена)
Что вы думаете по теме?
Заранее признателен за комментарии.
С уважением,
Евгений И.Чекашкин
|
[
Ответить ]
|
Re: ассептический некроз головки левой бедренной кости
Отправитель: Виталий Евгеньевич Казеннов 24 Январь 2010, 22:22
|
Уважаемый Евгений!
Это перекликается с короткой, как выстрел, цитатой из руководства по подготовке к устным экзаменам по ортопедии, изданном в Кэмбридже в прошлом году.
Привожу по памяти: "Само по себе наличие вывиха или подвывиха не является показанием к операции".
Природа болей при патологии тазобедренного сустава -- интересная тема, не правда ли?
С уважением,
Виталий Евг. Казённов
|
[
Ответить ]
|
|
Re: ассептический некроз головки левой бедренной кости
Виталий Евгеньевич Казеннов 24 Январь 2010, 21:55
|
Уважаемый Гуфрон,
А почему Вы спрашиваете о тактике только ОПЕРАТИВНОГО лечения?
Может быть, есть смысл обсудить тактику ВЕДЕНИЯ девочки 12 лет с травматическим некрозом головки бедра?
Согласен с Вами абсолютно по поводу эндопротезирования.
С уважением,
Виталий Евгеньевич Казённов,
ДВГМУ, Хабаровск
|
[
Ответить ]
|
Re: ассептический некроз головки левой бедренной кости
Отправитель: Гуфрон 27 Январь 2010, 23:21
|
Глубокоуважаемый Виталий Евгеньевич! Был бы рад если можно как то консервативно вести эту больную хотя бы до 25-30 лет. Уже 2 года как она не наступает на эту ногу, ходит естественно с костылями, мы считаем, что не за горами остеопороз. Попытаюсь отправить снимок мальчика 5 лет с паралитическим вывыхом которому мы произвели операцию Эпископо - это всё на что мы способны. Если будут предложения заранее благодарен. Спасибо!
с уважением Гуфрон.
Документ Microsoft Office Word.rar
56KB (58245 bytes)
|
[
Ответить ]
|
|
Re: ассептический некроз головки левой бедренной кости
Ахтямов Ильдар 01 Февраль 2010, 00:42
|
Уважаемый Гуфрон! В этом возрасте и при подобной деформации не следует опасаться реконструктивных вмешательств на суставе. Один из вариантов: низведение большого вертела и коррекция свода вертлужной впадины, возможно потребуется и артротомия для лучшей центрации головки бедра. АИФ
|
[
Ответить ]
|
( Ответить )
|