вверх
отправить
поиск
админ
главная
|
Контрактура плечевого сустава после шва ротаторов |
 |
 |
 |
Отправлено Ivan Petrov 26 Январь 2010, 16:25
Физический активный мужчина 50 лет в мае 2009 года был оперирован на правом плечевом суставе. Выполнялся открытый шов надостной мышцы и субакромиальная декомпрессия по поводу ее частичного разрыва и импиджмент синдрома III степени. Послеоперационный период протекал без осложнений. Гипсовая иммобилизация в положении отведения плеча до 45 градусов в течение 6 недель.В последующем, несмотря на активные занатия ЛФК, сформировалась приводяще-внутриротационная контрактура оперированного сустава (отведение до 80 градусов, наружная ротация до 15 градусов. Болевого синдрома нет, при пассивном отведении плеча создается впечатление "механического" препятствия движению.На контрольных рентгенограммах складывается впечатление о сформировавшемсся верхнем подвивихе головки правой плечевой кости, как о причине контрактуры. Хотелось бы услышать мнение коллег о такттике дальнейшего лечения.
<
|
>
|
|
Ответить
|
Re: Контрактура плечевого сустава после шва ротаторов
Бережной Сергей. 27 Январь 2010, 02:06
|
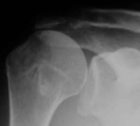
Верхний подвывих в такой ситуации может быть проявлением ротаторной артропатии, как следствия более массивного, чем частичный разрыв сухожилия надостной мыщцы, повреждения вращательной манжеты. И значит нужно думать о том, насколько полно восстановлена манжета, адекватно ли был расценен объем ее повреждения. Что за шов применялся? Якорных винтов не видно. И почему гипсовая иммобилизация? Есть прекрасные надувные отводящие подушки, позволяющие ранние движения.

В качестве примера - снимки до и после восстановления целостности вращательной манжеты после 3-хмесячной давности полного разрыва. Видно, что верхний подвывих устранен.
|
[
Ответить ]
|
Re: Контрактура плечевого сустава после шва ротаторов
Отправитель: Ivan Petrov 27 Январь 2010, 02:38
|
К сожалению, более подробной информации из выписного эпикриза почерпнуть не удалось (больной был оперирован, наблюдался и проходил реабилитацию в другом лечебном учреждении. Полностью согласен, что высокое стояние головки плеча, вероятнее всего, свидетельствует о неадекватном восстановлении ротаторной манжеты, к счастью пока без выраженных рентгенпризнаков ротаторной артропатии.
Вопрос в том, что делать сейчас? Артроскопия? Открытая ревизия?
|
[
Ответить ]
|
Re: Контрактура плечевого сустава после шва ротаторов
Отправитель: кондырев николай 27 Январь 2010, 09:31
|

Шов сухожилия надостной мышцы чаще всего оказывается неэффективным из-за разволокненной дистальной части(что является причиной повреждения).Полностью согласен с мнением о сохраняющемся большом дефекте. В этом случае с диагностикой помогает УЗИ, МРТ. Если решите оперировать, может помочь небольшой предоперационный курс проводниковых наключичных блокад (№6 на 2 недели, без адреналина) с попыткой постепенной редрессации сустава. Движения могут и не восстановиться, а кровоток в этой зоне точно улучшите. Даже в свежих случаях наиболее эффективна реинсерция ротаторов(выше отличный пример с анкерами). Бюджетный вариант - это привязать нити от прошитых сухожилий к головке винта, введенного на 2-4 см. ниже верхушки б\бугорка. Затем отводящая шина не менее 6 недель.
|
[
Ответить ]
|
|
Re: Контрактура плечевого сустава после шва ротаторов
Бережной Сергей 27 Январь 2010, 12:57
|
Возможности артроскопической техники в подобной ситуации могут оказаться недостаточными. Даже при наличии большого опыта артроскопии этой зоны. Лучше оперировать открыто. Доступ с частичным отсечением дельтовидной мышцы для обеспечения хорошего обзора и мобилизации манжеты.
|
[
Ответить ]
|
Re: Контрактура плечевого сустава после шва ротаторов
Петр Ромчук 30 Январь 2010, 03:43
|
При массивном повреждении ротаторной манжетки логично решение французских ортопедов - использование лоскута на ножке из m.deltoideus, создающее динамическую тягу в момент отведения плеча.
http://www.maitrise-orthop.com/viewPage_us.do?id=53
|
[
Ответить ]
|
( Ответить )
|
|