ВХОД ДЛЯ ПАЦИЕНТОВ
вверх
поиск
админ
главная
исходное
|
Re: Ложный сустав плечевой кости
послал Виталий Дрягин 08 Февраль 2010, 15:13
|

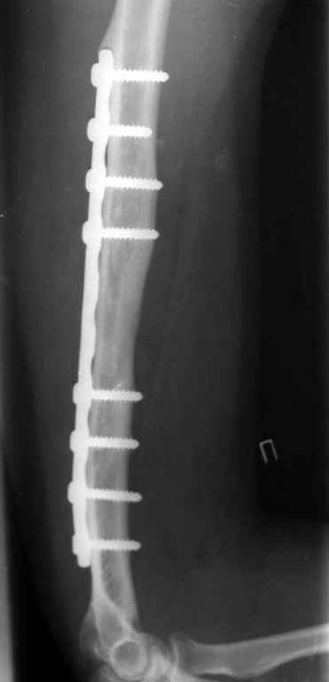
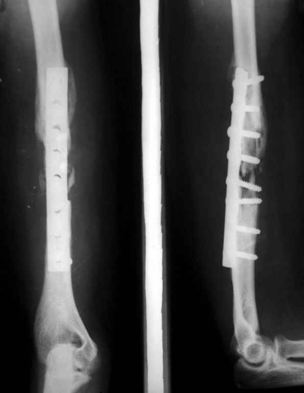
Владимир. Выделяем свои малоберцовую кость практически полность. Выпиливаем замок там и тут. Синтез. Нетипичный случай, но перестраивается хорошо даже диафиз. С уважением Дрягин
|
| Послать ответ |
Обратите внимание: Поля с жирными названиями обязательны.
Старайтесь отвечать в рамках обсуждаемой темы, а не начинать новые обсуждения.
Указывайте адекватную тему сообщения, чтобы было ясно, о чем оно.
Не послайте сообщений не по теме (оффтопик), раздраженных, грубых или обидных комментариев. Здесь это неуместно.
|