Ответить
|
Re: Неправильно сросшийся перелом голени.
Станислав Дмитриев 11 Февраль 2010, 20:32
|
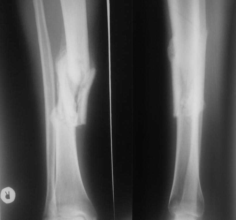
Уважаемый Алексей! Я бы сделал для начала Р-граммы всей голени с захватом обоих суставов и оценил бы ось сегмента. И потом, что за больной, возраст, сопутствуюшие заболевания и повреждения, и вообще - чего хочет пациент. Если бы оперировать "картинку", то сначала исправил бы ось в аппарате и затем закрыто заштифтовал.Так вот в общих чертах... Подобные случаи на форуме неоднократно обсуждались.
С уважением, Станислав Дмитриев.
|
[
Ответить ]
|
Re: Неправильносросшийся перелом голени.
соловьев игорь 11 Февраль 2010, 20:58
|
У есть несколько вопросов:
- какие жалобы предъявляет пациент?
- какое укорочение голени?
- нога опороспособна?
|
[
Ответить ]
|
Re: Неправильносросшийся перелом голени.
адонин 11 Февраль 2010, 23:46
|
если суставные поверхности колена и голеностопа параллельны и нет укорочения конечности больше 2 см - оставить все как есть.
Как известно, лечение должно быть направлено на восстановление функции, а не улучшение рентгенкартины :)
|
[
Ответить ]
|
Re: Неправильносросшийся перелом голени.
Алексей 12 Февраль 2010, 13:56
|
Спасибо за ответы. Поясню.
Больному 22 года, соматически здоров, желает здоровую ногу, каким способом мы этого добьемся ему безразлично.
Укорочение конечности 3 см, опора на ногу пока не разрешалась ввиду неполной консолидации. Больной оформаляет электронное направление к нам в стационар (без этого у нас сейчас никуда), как только будет госпитализирован сделаю и выложу Р-ы голени с обеими суставами.
|
[
Ответить ]
|
Re: Неправильносросшийся перелом голени.
олег ли (хабаровск) 12 Февраль 2010, 16:10
|
и механическая, и анатомическая оси сегмента однозначно смещены. для определения степени нужны адекватные снимки как ранее сказано. правильные снимки в студию. Ортопедический случай все-таки.
|
[
Ответить ]
|
Re: Неправильносросшийся перелом голени.
Отправитель: адонин 13 Февраль 2010, 01:19
|
Олег, а в чем разница между анатомической и механической осью в случае тибии?
|
[
Ответить ]
|
Re: Неправильносросшийся перелом голени.
Отправитель: олег ли (хабаровск) 13 Февраль 2010, 15:28
|
Ув. Адонин, разница вот в чем. Из чего следует, что при планировании коррекции неправильно сросшихся переломов по анатомической и механической осям вершины деформации и соответственно уровни остеотомий будут разными. Хотя и тот и другой вариант приемлем. С уважением Олег Ли
|
[
Ответить ]
|
Re: Неправильносросшийся перелом голени.
Отправитель: олег ли (хабаровск) 13 Февраль 2010, 15:30
|

Ув. Адонин, разница вот в чем. Из чего следует, что при планировании коррекции неправильно сросшихся переломов по анатомической и механической осям вершины деформации и соответственно уровни остеотомий будут разными. Хотя и тот и другой вариант приемлем. С уважением Олег Ли
|
[
Ответить ]
|
Re: Неправильносросшийся перелом голени.
Отправитель: адонин 13 Февраль 2010, 17:12
|
интересно, никогда такой каптинки не видел. Отошлете к первоисточнику?
А то пока что существенность разницы в 2 градуса в сагиттальном плане мне все еще представляется несколько надуманной :)
|
[
Ответить ]
|
Re: Неправильносросшийся перелом голени.
Отправитель: олег ли (хабаровск) 13 Февраль 2010, 23:39
|
на самом деле разница есть и в сагитальной и во фронтальной проекциях. в первоисточнике можно не сомневаться. дело в том сто принципы построения осей разные. а теперь вопрос: можно ли построить механическую ось по представленным снимкам? думаю, что ответив на этот вопрос, придет и понимание разницы представленных мною картинок.
|
[
Ответить ]
|
|
Re: Неправильносросшийся перелом голени.
адонин 13 Февраль 2010, 01:26
|
на 3 см укорочения я бы попробовал растягивать в аппарате
|
[
Ответить ]
|
Re: Неправильносросшийся перелом голени.
Отправитель: andreverchovsky 15 Февраль 2010, 19:02
|
и заодно ось восстановить, и немного подержать, на такой мозоли срастется
|
[
Ответить ]
|
|
Re: Неправильносросшийся перелом голени.
Alexander Artemiev 16 Февраль 2010, 00:26
|
Здравствуйте, Алексей.
> Почему именно доктора не занимались
> переломом голени, больной пояснить не может,
А Вы больному именно так вопрос и ставили?
> Просьба поделиться мнениями о тактике лечения.
Я бы оценил эту ситуацию как неправлиьно СРАСТАЮЩИЙСЯ перелом.
Вижу возможность рассмотреть два варианта:
1. Подержать ещё месяц в той же повязке, затем снять её и дать больному полгодика пожить спокойно. А потом обсудить с ним ситуацию,
исходя из того, что его беспокоит.
2. Попытаться с помощью аппарата Илизарова устранить смещение, используя либо стержни, либо спицы с упорными площадками. Через месяц аппарат снять.
С уважением Александр Артемьев
Мытищи
|
[
Ответить ]
|
Re: Неправильносросшийся перелом голени.
Отправитель: Владимир 17 Февраль 2010, 22:11
|
По поводу " неправильно срастающийся" - некорректная формулировка. Может быть - с неустраненным смещением? А "срастающийся" - это уже хорошо. Не все переломы срастаются. Дело не в том. По моему мнению - не мешайте природе, если вовремя не вмешались. Хотите помочь - наложите аппарат, потяните с учетом коррекции деформации и укорочения конечности. Устраните смещение - дальше появляются варианты - оставить в аппарате или фиксировать другим способом. Решать Вам. Если в аппарате смещение не устранится - ничего страшного, главное - достичь сращения и восстановления опорнй функции конечности, не такая уж и грубая деформация. Ортопедические моменты можно оставить на "потом".
С уважением, Владимир.
|
[
Ответить ]
|
Re: Неправильносросшийся перелом голени.
Отправитель: Alexander Chelnokov 18 Февраль 2010, 01:05
|
> По поводу " неправильно срастающийся" - некорректная формулировка.
А что именно в этой формулировке некорректно?
Оба слова по отдельности и в сочетании выглядят более чем уместно.
> Может быть - с неустраненным смещением?
И в чем смысловая разница?
|
[
Ответить ]
|
|
Re: Неправильносросшийся перелом голени.
Vadim 26 Февраль 2010, 22:34
|
Если оставить в нынешнем виде, вероятность патологической перестройки будет высокая.
Более целесообразно аппарат в дистракционном режиме, с репозицией спицами с напайкой.
|
[
Ответить ]
|
( Ответить )
|