AOTRAUMA.ORG Центр Илизарова  

Ортопедия и травматология Общие вопросы/General questions Help Информационные технологии в медицине
 вверх
 отправить
 поиск
 админ
 главная


Лоозеровская зона
Ортопедия и травматология Отправлено Женя 13 Февраль 2010, 00:55
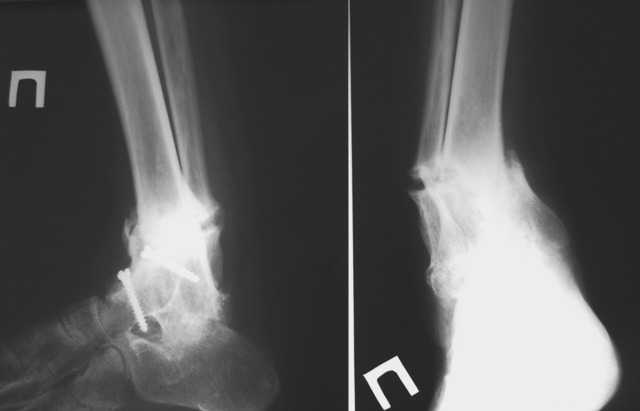
Уважаемые коллеги!Обращаюсь за советом. Пациентка, страдающая ревматоидным артритом, 2 года назад была оперирована по поводу вторичного деформирующего артроза голеностопного сустава с варусной деформацией на этом уровне.
В то время деформация была обусловлена деструкцией тарана, поэтому был выполнен артродез по Кэмпбеллу. Спустя 2 месяца после операции сформировался костный анкилоз голеностопа в физиологическом положении+анкилоз задней фасетки подтарана, пациентка была в восторге, т.к. до этого намаялась со стоптанной обувью, нарушенной походкой, с ортезами и, соответсвенно, с потертостями и гиперкератозами. Тем не менее, нынче обращается с ТЕМИ ЖЕ ПРОБЛЕМАМИ, которые исподволь нарастали в течение 1,5-2 месяцев. Делаем снимки и, о ужас, видим лоозеровскую зону выше анкилоза, клинически тот-же варус. Ясно, что лоозера срастим как-нибудь, но, наверное, надо-бы еще что-то сделать, дабы избежать повторов.PS. С пациенткой доверительные, хорошие отношения.

<  |  >

 

  • Сообщения о Ортопедия и травматология
  • Также Женя
  • Связаться с автором
  • Ответить

    Re: Лоозеровская зона
    олег ли (хабаровск) 13 Февраль 2010, 08:27
    а снимок где??

    [ Ответить ]

    • Re: Лоозеровская зона
      Отправитель: Женя 13 Февраль 2010, 18:26
      Снимок был отправлен с письмом, а выложен, в итоге, какой-то чужой!

      [ Ответить ]
    Re: Лоозеровская зона
    Андрей Волна 14 Февраль 2010, 22:33
    Женя, сегодня через рассылку пришёл данный случай с *правильными* рентгенограммами. Почему так случилось? Скорее всего (по иному сложно объяснить) деформация с перестройкой кости развилась вследствие не совсем правильной установки стопы в бывшем голеностопном суставе. При артродезировании мы стараемся сместить таранную кость чуть кзади в положении лёгкой функциональной наружной ротации и вальгусом примерно в пять градусов. Отказ от выполнения данных рекомендаций, особенно, в сочетании с избыточным подошвенным сгибением стопы приводит к избыточной нагрузке на средний отдел последней. На фоне ревматоидного артрита и отсутствия должной эластичности среднего и переднего отдела стопы с механической точки зрения возникшая перестройка кости понятна и объяснима.
    Что делать? Мне кажется, реально здесь можно сделать выбор или в сторону наружной фиксации с постепенным исправлением деформации с последующей стабилизацией, или в сторону остеосинтеза гвоздём, предназначенным для артодеза голеностопного сустава. Аппарат имеет известные преимущества, связанные с возможностью постепенной и точной коррекции деформации. Недостатки вытекают из этих же преимуществ и общеизвестны так же.
    Остеосинтез гвоздём, вводимым через пяточную кость (я бы предпочёл синтезовский HAN, удлинённая версия) позволит добиться того же с меньшими потерями времени и сил для пациенки и врача и предотвратить в определённой степени нечто подобное в будущем. Нужно только проводить рассверливание уже в положении исправленной деформации (временный АВФ может быть полезен), иначе деформация останется.
    С уважением, Андрей Волна
    [ Ответить ]

    Re: Лоозеровская зона
    Alexander Chelnokov 15 Февраль 2010, 01:06
    Согласен с Андреем. Здесь напрашивается дозированное устранение деформации по Илизарову. И по завершении коррекции - закрытое штифтование. Можно сделать его и антеградно большеберцовым стержнем, и ретроградно артродезным.
    [ Ответить ]

    Re: Лоозеровская зона
    Женя 15 Февраль 2010, 11:57
    Большое спасибо, коллеги! Насчет изначально некорректного положения стопы полностью согласен. Достаточно ли будет исправлять деформацию только на уровне патологической перестройки кости?
    [ Ответить ]


    ( Ответить )

    Powered by Zope  Squishdot Powered MedLink
    Посетитель: 0000049
      "По форме правильно, а по существу - издевательство" В.И.Ленин
    ©2001-2019Orthoforum Coordinator.
    [ Главная | Отправить сообщение | Поиск | Админ ]