AOTRAUMA.ORG Центр Илизарова  

Ортопедия и травматология Общие вопросы/General questions Help Информационные технологии в медицине
 вверх
 отправить
 поиск
 админ
 главная


Варусная деформация бедра
Ортопедия и травматология Отправлено Abdurashid 16 Февраль 2010, 21:26
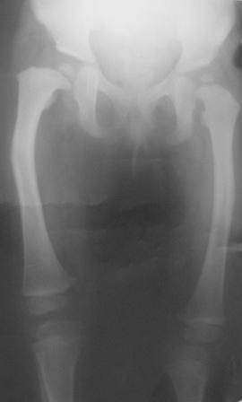
Уважаемые коллеги. Осмотрена девочка 2007г.р. При рождении двухсторонная косолапость, двухсторонный врожденный вывых бедер, лечилась консервативно.
В данное время ходит самостоятельно, прихрамывает на прав.ногу, прав. нога укорочена на 3,5см и и находится в положении внутренней ротации 40гр. Леч.врач зав. кафедрой Т.О.мед. института.
Планируется подвертельная деротационно-вальгизирущая остеотомия бедра. Или остеотомия на верщине деформации бедра с удлинением по методу Илизарова.

Уважаемые ортопеды! Просим помочь по тактике лечения.
С уважением Абдурашид.

<  |  >

 

  • Сообщения о Ортопедия и травматология
  • Также Abdurashid
  • Связаться с автором
  • Ответить

    Re: Варусная деформация бедра
    Edgar Bukharev 17 Февраль 2010, 00:21
    Учитывая множественность поражений, похоже на системную патологию. Большой опыт в лечении таких больных имеет детский ортопедический институт им. Г.И.Турнера. www.rosturner.ru
    [ Ответить ]

    Re: Варусная деформация бедра
    Токмаков Руслан 17 Февраль 2010, 11:31
    Не очень большой опыт в подобных делах, но кажется тактика правильной.
    [ Ответить ]

    Re: Варусная деформация бедра
    ihor 18 Февраль 2010, 00:59
    Здравствуйте Абдурашид,

    Выло бы хорошо увидеть ось конечности на всем протяжении(,бедро и голень на одной пленке) нет ли деформации голени.
    На мой взгляд я бы сделал остеотомию на уровне деформации +АВФ.(спице -стержневой)

    Ihor.

    [ Ответить ]

    Re: Варусная деформация бедра
    Mark Eidelman 18 Февраль 2010, 03:46
    Smotritsya kak congenital short femur.A zachem tak speshit seichas?Namnogo legche sdelat udlinenie v6-7 let!Daite devchonke podrasti.
    [ Ответить ]

    Re: Варусная деформация бедра
    Шведовченко Игорь Владимирович 18 Февраль 2010, 14:15
    Добрый день, уважаемый Абдурашид. Начнем с тазобедренных суставов. Какая количественная характеристика параметров этих суставов?Я имею в виду угол антеверзии и шеечно-диафизарный угол, углы горизонтального и вертикального соответствия? Судя по рентгенограмме, у больного в первую очередь весьма проблемен левый тазобедренный сустав, который находится в положении подвывиха!Нога находится в положении внутренней ротации-куда смотрит коленный сустав?Одной из проблем лечения косолапости является торсия костей голени!! При этом стопа смотрит внутрь, но ось коленного сустава нормальна! Если имеет место торсия костей голени, то после остеотомии вы получите коленный сустав, плоскость движений которого будет смещена наружу на величину деротации
    [ Ответить ]

    Re: Варусная деформация бедра
    УстьянцевИбрагимов 20 Февраль 2010, 15:04
    Уважаемый Абдурашид!
    Простые расчеты на представленных Вами электронном изображении показывают, что анатомическая разница длины бедер составляет примерно 3.7%,те же цифры получаются и при измерении относительной разницы.
    Следовательно , чтобы получить дефицит 3.5 см. необходимо иметь исходную почти метровую длину бедер.
    Возможно ошибку в измерении провоцирует не устраненные деформации стоп,которые и являются в данном клиническом случае ведущими.Попробуйте начать с коррекции деформации стоп, а потом вернетесь к оценке состояния т.б суставов и бедер.
    [ Ответить ]

    • Re: Варусная деформация бедра
      Отправитель: Abdurashid 21 Февраль 2010, 13:53

      Уважаемые коллеги! Спасибо!

      Мы тогда ребенка отпустили домой, сказав родителям, что будем советоваться старшими коллегами и учеными и потом будем решать что делать.
      Пока ждем, как придут будем полностью обследовать по Вашим рекомендациям и сообщать!
      С уважением Абдурашид.

      [ Ответить ]

     

    ( Ответить )

    Powered by Zope  Squishdot Powered MedLink
    Посетитель: 0058934
      "По форме правильно, а по существу - издевательство" В.И.Ленин
    ©2001-2019Orthoforum Coordinator.
    [ Главная | Отправить сообщение | Поиск | Админ ]