Уважаемые коллеги!
Огромное спасибо всем принимающим участие в дискуссии. Вначале отвечу на поступавшие персональные вопросы: 1. обстоятельства травмы - соревнования по армрестлингу (от себя замечу, что у военных нередкая травма в последнее время! На мой взгляд это связано с вовлечением в это дело неподготовленных людей - командирам нравится, т.к. в плане реквизита намного легче организовать чем традиционное перетягивание каната...). 2. в отношении провокационной составляющей - она присутствует, но лишь в той степени в какой любое инициирование дискуссии несет в себе элемент провокации... 3. про актуальность консервативного лечения - мне кажется это актуально всегда и при любой локализации если врач владеет методом, например, часто наблюдал великолепные функциональные результаты консервативного лечения переломо-вывихов голеностопных суставов... Тут только надо помнить, что "консервативное" это тоже лечение (контроль, тяги, перекладывание повязок), а не просто накладываем гипс и через энное время говорим, что не получилось и берем на операцию.

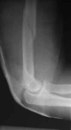
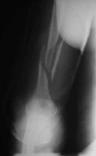
Теперь непосредственно по больному. Лечим функциональной повязкой, добились вот чего (приложение). Будем признательны за дальнейший комментарий - мое мнение, что можно продолжить без операции.
Юрий Алексеевич Булахтин
|