вверх
отправить
поиск
админ
главная
|
Состояние после гнойного гонита |
 |
 |
 |
Отправлено Александр Мешков 18 Февраль 2010, 18:04 Уважаемые коллеги, просим совета.
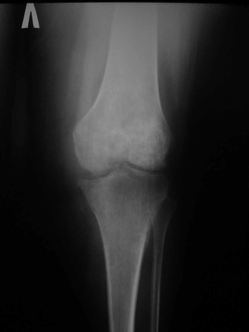
Уважаемые коллеги, просим совета. В госпиталь переведена женщина, врач, 1970 года рождения, 110 кг. 26.10.2009 г. в левый коленный сустав однократно введен Дипроспан по поводу деформирующего артроза. 02.11.2009 развился гнойный гонит. Полость сустава дренирована, проточно-промывное дренирование, наложен спице-стержневой КДА. Развился остеомиелит бедра и голени. Демонтирован КДА. По стихании гнойного процесса и заживлении ран начато реабилитационное лечение. При поступлении к нам: Ходит на костылях с дозированной нагрузкой на левую ногу. На передней поверхности бедра и голени втянутые рубцы от спиц и стержней без признаков воспаления. Левый коленный сустав деформирован, вальгусная установка, разгибание 175 градусов, сгибание 120, движения болезненны. Надколенник фиксирован. При вальгусной нагрузке резкая болезненность. Осевая нагрузка безболезненна. При ходьбе - чувство нестабильности и боль по наружной поверхности сустава. Трофических и неврологических расстройств на конечности нет. Хочется услышать мнение о тактике лечения. По нашему мнению, возможности эндопротезирования на настоящий момент, учитывая наличие остеомиелита, нет. Показано ли артродезирование? Как вариант рассматривается артродез длинным гвоздем с цементной муфтой и антибиотиками. Если все же готовить больную для протезирования в отдаленном периоде, целесообразно ли выполнить артроскопический артролиз в ближайшее время для восстановления амплитуды движений в коленном суставе? Можно ли ожидать спонтанного анкилоза при опорной нагрузке без операций? С уважением, Александр Мешков.ФГУ "574 ВКГ МВО" МО РФ г. Москва.
<
|
>
|
|
Ответить
|
Re: Состояние после гнойного гонита
Илья Иофин 19 Февраль 2010, 09:18
|
Я бы для начала поставил спэйсер из цемента с антибиотиками. После шести недель внутривенных антибиотиков, провёл бы вторую операцию, протезирование, если инфекция искоренена. Если нет, то заменил бы спэйсер на свежий. Артролиз следует произвести во время протезирования, но больная должна понимать, что вероятность увеличения диапазона движения колена весьма мала. Если делать артродез гвоздём, то инфекцию тоже придётся предварительно искоренить путём спэйсера. Ежели же инфекцию искоренить не удастся, то следует произвести артродез апаратом Илизарова. Удачи.
|
[
Ответить ]
|
Re: Состояние после гнойного гонита
Vadim 26 Февраль 2010, 22:13
|
Гнойный гонит подтвержден посевами?
Остеомиелит спицевой?
Состояние венозного кровообращения, с учетом веса?
|
[
Ответить ]
|
Re: Состояние после гнойного гонита
Отправитель: Александр Мешков 28 Февраль 2010, 01:08
|
Из документов подтвержден, к нам прибыла с зажившими ранами без воспаления. Незначительно нарушен венозный отток, без венной недостаточности.
|
[
Ответить ]
|
|
Re: Состояние после гнойного гонита
Александр Мешков 28 Февраль 2010, 01:16
|
Больную выписали домой. Предварительно прекратили форсированно разрабатывать движения в колене. Боль не беспокоит. Опорная нагрузка в ортезе с ребрами жесткости безболезенна. Рекомендовали опорную нагрузку. Ждем ее через 6 месяцев, там посмотрим.
Спасибо за ответы.
|
[
Ответить ]
|
( Ответить )
|
|