вверх
отправить
поиск
админ
главная
Предыдущее
|
Re: Ошибка в установке вертлужного компонента
шухрат 31 Май 2010, 15:15
|

Уважаемый Станислав!
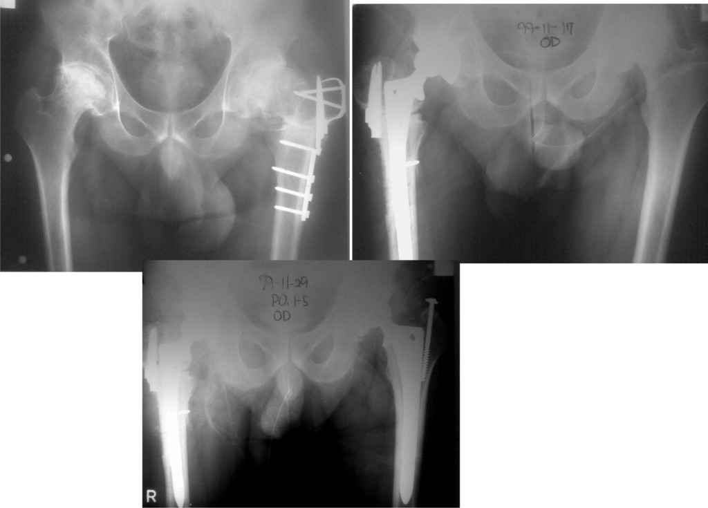
У меня опыт по эндопротезированию совсем небольшой. Еще 5 лет тому назад у нас в городе не было протезирования. Во вложении снимки одного больного из нашего города. который оперировался в 1999 году в Южной Корее. разница по времени замены второго сустава 11 дней. Больной по настоящее время ходит без проблем, особых жалоб не предъявляет, весит он 98 кг. Может быть есть смысл подождать, по наблюдать а оперировать никогда не поздно.
Удачи Вам!
|
|
|
Ответить
|
Re: Ошибка в установке вертлужного компонента
Станислав Дмитриев 31 Май 2010, 20:03
|
К сожалению на снимках чашки просматриваются плохо. Вопрос: слева в бол. вертеле винт(на снимках после ТЭП). Это доступ с отсечением или что?
|
[
Ответить ]
|
Re: Ошибка в установке вертлужного компонента
Отправитель: Шухрат 31 Май 2010, 22:03
|
дело в том,что на снимках после замены второго сустава прослеживается ход дренажной трубки, т.е снимок контрольный сразу же после операции. Если этот доступ был с отсечением большого вертела, то не прослеживается линия остеотомии. По началу я тоже так и подумал, я считаю, что винт выполняет роль клина для стабильности ножки. Что касается качества снимков то согласен, но судя по контурам вертлужного компонента он напоминает ваш снимок.
|
[
Ответить ]
|
|
Re: Ошибка в установке вертлужного компонента
Станислав Дмитриев 01 Июнь 2010, 18:47
|
Сегодня все-таки выполнили ревизию вертлужного компонента. Действительно, чашка держалась только по окружности, относительно легко удалилась. Так что тактику считаю правильной, ибо ловить при такой установке особо нечего было. Нестабильность в блишайшее время была бы обеспечена. Снимки после переустановки в приложении. Качество, конечно не ахти какое, это сделано на столе на плохом аппарате. Посадка проконтролирована визуально через центральное отверстие. Головку не снимали, оставили короткую. Если до ревизии длина левой ноги была +1 см, то после D=S. Теперь осталось молиться, чтобы не было осложнений. Вроде бы все прошло не травматично.
01062010120.jpg
66KB (68415 bytes)
|
[
Ответить ]
|
( Ответить )
|
|