AOTRAUMA.ORG Центр Илизарова  

Ортопедия и травматология Общие вопросы/General questions Help Информационные технологии в медицине
 вверх
 отправить
 поиск
 админ
 главная


Опухоль таза?
Ортопедия и травматология Отправлено Илья Иванович 26 Июнь 2010, 14:31
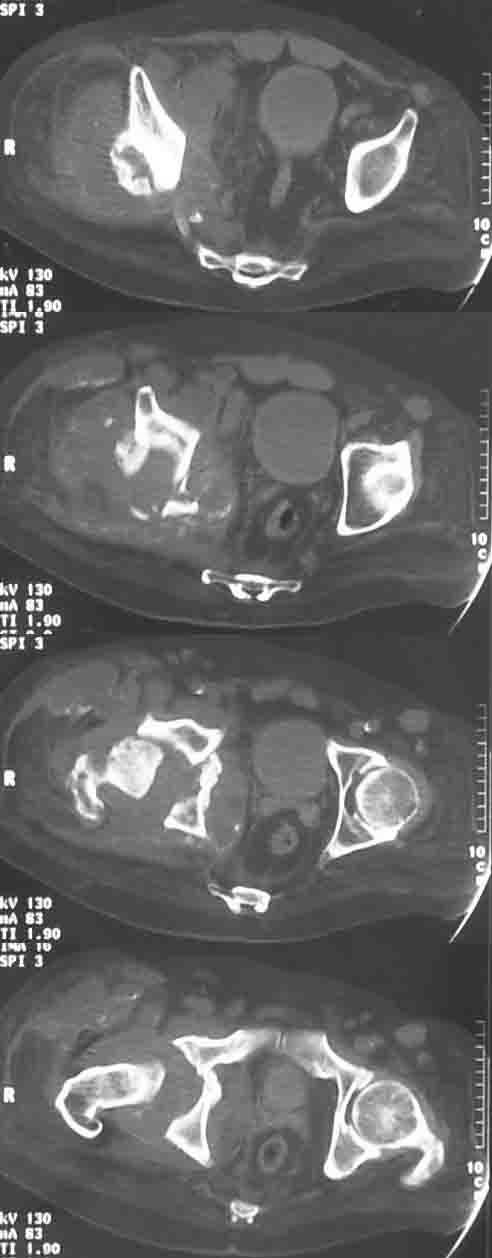
Дрогие коллеги,Обратился пациент, М-44, с опухолью правой тазовой кости, однако не все пока укладывается в обычное течение:
относительно медленный рост, нет интоксикации, нет снижения веса, нет метастазов, очень плотная ткань, при гистологическом исследовании после широкой открытой биопсии видны лишь элементы воспаления, фиброз, хрящевые включения. Рана зажила первично. В анамнезе тромбоцитемия, оперирована грыжа Шморля, практически нижний парапарез.
Может есть какое-то специфичекое поражение костей, когда такая рентгенологические проявления?С уважением, И.И.

<  |  >

 

  • Сообщения о Ортопедия и травматология
  • Также Илья Иванович
  • Связаться с автором
  • Ответить

    Re: Опухоль таза?
    Илья Иофин 28 Июнь 2010, 03:59
    Приложите, пожалуйста, рентгенограму таза в добавок к КТ. Скорее всего вы имеете дела с инфекцией тазобедренного сустава и последствующим остеомиелитом. Повторите биопсию и пошлите ткань и внутресуставную жидкость на бактериальный анализ, включая туберкулёз.
    [ Ответить ]

    Re: Опухоль таза?
    Илья Иофин 28 Июнь 2010, 04:11
    Сустав Шарко--другой вариант. Особено у пациента у которого парапарез. У него сильные боли от этой "опухоли?" Сделайте анализы ESR, CRP(извините, что по английски. Не знаю как эти анализы по русски называются). Если они в норме, то вы практически исключили инфекцию.
    [ Ответить ]


    ( Ответить )

    Powered by Zope  Squishdot Powered MedLink
    Посетитель: 0176164
      "По форме правильно, а по существу - издевательство" В.И.Ленин
    ©2001-2019Orthoforum Coordinator.
    [ Главная | Отправить сообщение | Поиск | Админ ]