ВХОД ДЛЯ ПАЦИЕНТОВ
вверх
поиск
админ
главная
исходное
|
Re: Перелом плеча
послал Djoldas Kuldjanov 07 Июль 2010, 15:19
|
Всегда интересно участие в дисскуссии, когда лечащие врачи активно участвуют и координируют обсуждение. Своевременно представленные материалы о возрасте больного, обстоятельства травмы, сопутствующие, изолированность и описание клинической картины со всеми снимками помогает принять правильное решение.
В 80% больных с изолированным переломом плеча можно лечить консервативным путем. При свежих переломах положение отломков непостоянно, и поэтому при консервативном лечении необходимо своевременно делать контрольные снимки.
В зависимости от характера травмы, например, при политравме, возрастает важность первичной фиксации, потому что, создавая опороспособность верхней конечности (для костылей), мы помогаем общему восстановлению.
Прошло с момента травмы более 2х недель, и если еще не сделали фиксацию то нужно повторить рентгенограмму, возможно, положение отломков изменилось к лучшему.
При владении техникой, интрамедуллярная методика отличная фиксация для переломов плеча, но при смещении между отломками более 5 см не всем удастся повторить успех Челнокова. Неумелой закрытой манипуляцией можно нанести больше вреда, и есть опасность повреждение нерва серкляжом!
Первичные повреждении нерва расширяют показания к открытой фиксации, такая тактика позволяет провести тщательную инспекцию состояния поврежденного нерва.
Снимок с имплантом из металла с памятью формы получился "sexy", но нарушены все каноны остеосинтеза. Потому что при комбинации двух ущербных систем одновременно повреждается внутри канальное и наружное кровообращение.
Имплантаты с памятью формы –интересное изобретение, фантастический металл, мечта всех шпионов, и первично опубликованные сообщения интриговали всех. Но на сегодня, когда имеется инертный металл, и при развитии "мини инвазивной" техники, не видно нужды в импланте с памятью формы.
Кстати, некоторые образцы, полученные через коллег, мы испытали у себя, метал не вызывает доверия, отсутствует эстетичность, not friendly, и металл оставляет черное пятно на поверхности. Насчет удержания формы в постоянной компрессии, она потерялась через 30 минут, и на поверхности цилиндра беспрепятственно конструкция двигалась, как обычная намотанная проволока.

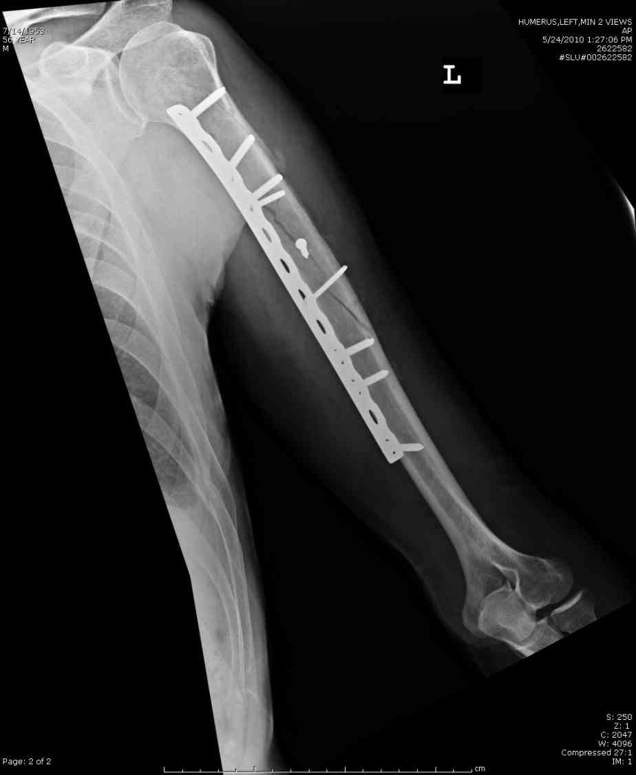
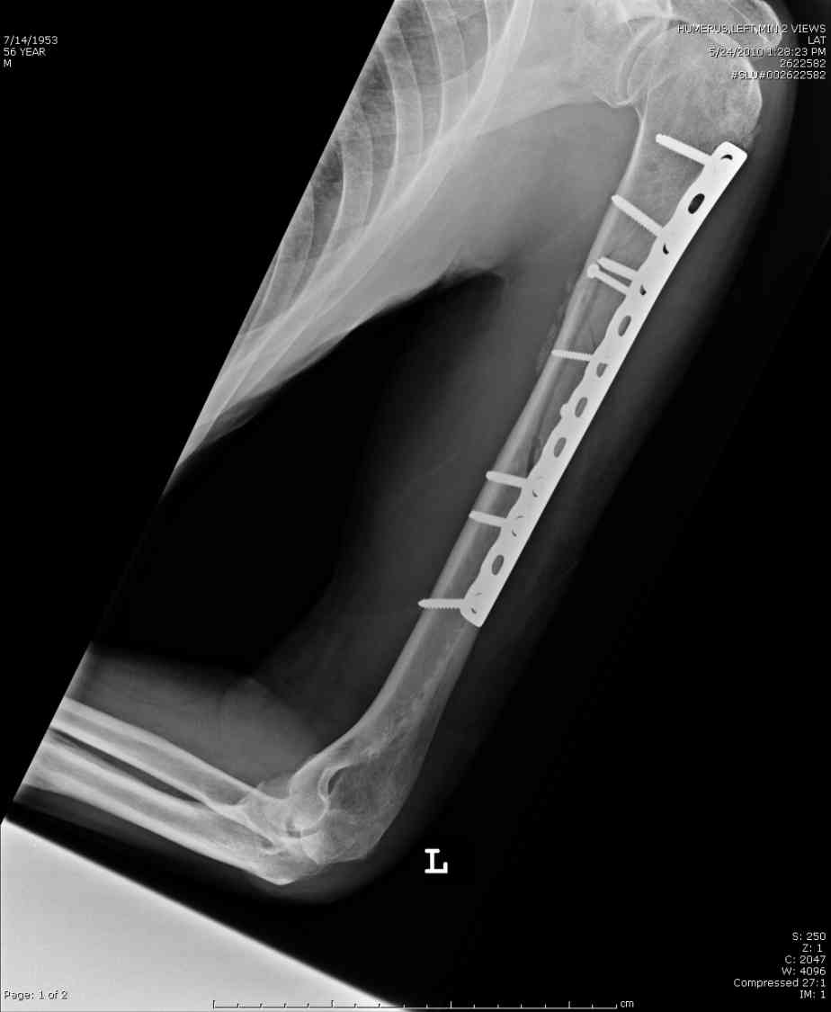
Кроме интрамедуллярного остеосинтеза, имеются другие варианты фиксации, наружный фиксатор и например здесь перелом плеча с повреждением нерва леченный открытым методом. Применен задний доступ с инспекцией нерва, межфрагментарная компрессия, фиксация узкой пластиной 4.5 мм.
Djoldas Kuldjanov, MD
Department of Orthopedic Surgery
St. Louis University Medical Center
|
| Послать ответ |
Обратите внимание: Поля с жирными названиями обязательны.
Старайтесь отвечать в рамках обсуждаемой темы, а не начинать новые обсуждения.
Указывайте адекватную тему сообщения, чтобы было ясно, о чем оно.
Не послайте сообщений не по теме (оффтопик), раздраженных, грубых или обидных комментариев. Здесь это неуместно.
|