вверх
отправить
поиск
админ
главная
|
Отправлено Сергей 25 Июль 2010, 11:49
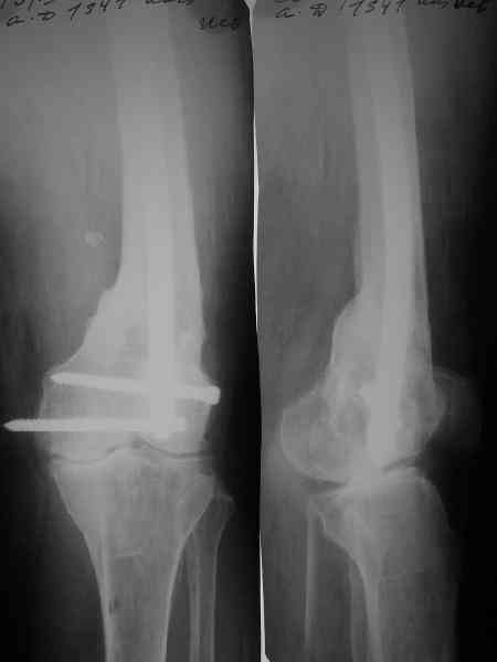
Доброго времени суток,уважаемые коллеги! Прошу вашего мнения. Больная, 53 лет,поступила с диагнозом: Ложный сустав н/3 бедренной кости слева. Травма в 1995г. Закрытый перелом н/3 левого бедра,лечение скелетным вытяжением. 15 лет ходила без трости. В 1-2010 года, рефрактура левого бедра в н/3. Лечение консервативное, скелетное вытяжение 2,5 месяца. Выписана в полужестком туторе. На ногу не опиралась, передвигается при помощи костылей. Инвалид 3 гр. посттромбофлебитический синдром левой нижней конечности. По дуплексному сканированию сосудов нижних конечностей вены проходимы, только на голени подкожная вена "посттромбофлебитическая".Из сопутствующих: ГБ,ДУЗ 0ст.Ожирение 1 ст.Предлагается костная пластика одним из существующих методов, накостный синтез мыщелковой пластиной LSP (Synthez). Укорочение левой ноги 3,5 см. Есть опасение, что накостный синтез ограничит периостальную регенерацию, да и травматичность операции при сопутствующих заболеваниях опасна в плане осложнений. Хотелось бы узнать мнение о ЧКДО и интрамедуллярном синтезе у данной пациентки. Стоит ли сначала "срастить" перелом, а потом коррегировать длину конечности? Или это нужно делать сразу? Может быть вообще ничего не делать и разрешить нагрузку? Пробую приложить Rn-гр. и томогр. Извиняюсь за качество обработки. Спасибо. Надеюсь на ваше понимание.
<
|
>
|
|
Ответить
|
Re: Ложный сустав
Alexander Chelnokov 26 Июль 2010, 01:55
|
С> мнение о ЧКДО и интрамедуллярном синтезе у данной пациентки. Стоит ли
Смещение по длине см на 3 видно на снимке. Удобно и нетравматично восстановить длину и устранить смещение по ширине аппаратом.
Дополнительное удлинение, наверно, не понадобится.
А потом, не снимая аппарат, либо закрыто заштифтовать антеградно (в дистальном отломке ввести 3-4 винта диаметром мм 6), либо использовать LCP.
Вариант с гвоздем представляется предпочтительнее, поскольку его можно
сначала зафиксировать статически с сохранением напряжения растяжения, а потом динамизировать.
|
[
Ответить ]
|
Re: Ложный сустав
Отправитель: Сергей 27 Июль 2010, 20:55
|
Спасибо, коллега!
|
[
Ответить ]
|
|
Re: Ложный сустав
VlaD 26 Июль 2010, 02:08
|
Уважаемый коллега Сергей!
По всей вероятности, после перелома бедренной кости, случившегося 15 лет назад, у больной сформировался псевдоартроз в дистальной эпиметафизарной зоне. Травма этого года привела, с моей точки зрения, к частичному разрушению псевдоартроза, а не к повторному перелому. Учитывая амнестические данные о больной, я бы не спешил с оперативным вмешательством, а предложил бы больной съёмный ортез и нагрузку на ногу в течение двух-трёх месяцев. Такой промежуток времени при данной патологии не ухудшит условия для оперативного вмешательства, если оно потребуется, но позволит более определённо установить необходимость такового, если конечность не станет опорной или больная сама станет настаивать на оперативном вмешательстве.
Что касается самого оперативного лечения, то оно представляет значительные трудности и положительный исход его не столь очевиден. С моей точки зрения, адекватная фиксация любой металлоконструкции в дистальном отломке бедренной кости невозможна. Поэтому вариантов вмешательства два: либо ВКДО с фиксацией голени (что, учитывая конституцию больной и сопутствующую патологию, менее приемлемо), либо антеградный БИОС с прохождением стержня через коленный сустав и дистальным блокированием в проксимальном эпиметафизе большеберцовой кости. И в том и другом случае потребуется открытая репозиция и костная пластика (возможно в несколько этапов). Вопросы восстановления длины конечности и функции коленного сустава на данном этапе лечения не главные. Цель оперативного лечения – восстановление опорной функции конечности и сращение перелома.
|
[
Ответить ]
|
Re: Ложный сустав
Отправитель: Сергей 27 Июль 2010, 20:52
|
Спасибо коллега! Ваше мнение мне близко. Есть еще одно "но". У больной в тесте РФМК идет превышение его в 3 раза ( 15 ), что может свидетельствовать о скрытом ДВС-синдроме. Хотя и АПТВ и ПТИ и фибриноген в пределах допустимых. Вот что настораживает. "Большой" объем, да и "маленький" объем операции могут запустить ДВС. Конечно ей назначены НМГ ( клексан по 0,04 1 раз в сут., конечно я еще раз повторю эти показатели. Стоит ли рисковать? Вот о чем я думаю. Дать время, нагрузку и посмотреть? Спасибо за подробный ответ. Только не слышал про антеградный гвоздь, который пробивают до большеберцового плато. Это уже артродез получается. Спасибо.
|
[
Ответить ]
|
Re: Ложный сустав
Отправитель: Alexander Chelnokov 28 Июль 2010, 00:38
|
V> С моей точки зрения, адекватная фиксация любой металлоконструкции в
V> дистальном отломке бедренной кости невозможна. Поэтому вариантов
V> вмешательства два: либо ВКДО с фиксацией голени (что, учитывая
Аппарат для восстановления оси и длины тут действительно вполне уместен. И голень целесообазно врменно зафиксировать. А заштифтовать
можно и без голени, оставляя шансы на ту или другую мобилизацию коленного сустава.
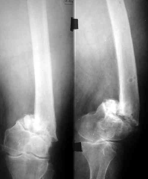
Пример подобного ложного сустава в приложении.

На сегодня есть имплантаты с куда более продвинутой дистальной фиксацией.
|
[
Ответить ]
|
Re: Ложный сустав
Отправитель: Сергей 28 Июль 2010, 23:34
|
Cпасибо. Не могли бы назвать их?
|
[
Ответить ]
|
Re: Ложный сустав
Отправитель: Alexander Chelnokov 29 Июль 2010, 20:21
|
Да практически у всех производителей есть сегодня бедренные стержни с возмоностью ввести винты максимально дистально, и более 2. Это и Synthes, и Stryker, и DePuy, и ChM, и даже предприятие "ЦИТО". Единственное - диаметр винтов. Желательно больше 5 мм.
В конце концов, можно в таком единичном случае вспомнить о замечательном научно-практическом направлении - гаражной ортопедии. Взять стержень диаметром мм 13 прежнего дизайна, т.е. с двумя отверстиями, да и просверлить еще несколько, можно не только во фронтальной плоскости.
|
[
Ответить ]
|
Re: Ложный сустав
Отправитель: Сергей 01 Август 2010, 21:37
|
Спасибо.
|
[
Ответить ]
|
Re: Ложный сустав
Отправитель: Сергей 06 Август 2010, 17:32
|

Спасибо. Прооперировали во вторник.
|
[
Ответить ]
|
Re: Ложный сустав
Отправитель: Alexander Chelnokov 07 Август 2010, 21:37
|
Выглядит красиво. А движения в колене какие были на столе?
|
[
Ответить ]
|
Re: Ложный сустав
Отправитель: Сергей 11 Август 2010, 20:37
|
Была контрактура и спаянный с суставной поверхностью надколенник. Сделали до синтеза редрессацию. Достигли почти полного объема движений.
|
[
Ответить ]
|
|
Re: Ложный сустав
Гектор Кессидис 26 Июль 2010, 05:20
|
Перед нами относительно молодая женщина, у которой кроме сложного перелома имеется выраженный коксартроз сустава. Ну вот представте мы ей сростили??? и удлинили конечность, и что она будет ходить и не будет жаловаться на боль?
Так может ей сразу провести эндопротезирование этого сустава? И избавить её от лишних мук. Но прежде нужно будет убедится в отсутствии инфекции в области перелома.
Но если у вас нет такой возможности то по моему наиболее приемливым является наложение аппарата с вскрытием в области перелома и удалением образовавшейся соединительной ткани и некротизированной кости а также использовать аутотрансплонтат с подвздошной кости.
В начале лучше сростить а потом провести удлинение.
|
[
Ответить ]
|
Re: Ложный сустав
Отправитель: Сергей 27 Июль 2010, 20:57
|
Спасибо, коллега!
|
[
Ответить ]
|
|
( Ответить )
|
|