Ответить
|
Re: ГКО 2-й пятной кости
Evgueny 26 Июль 2010, 19:46
|
2 ray resection
|
[
Ответить ]
|
Re: ГКО 2-й пятной кости
Шведовченко Игорь Владимирович 26 Июль 2010, 21:30
|
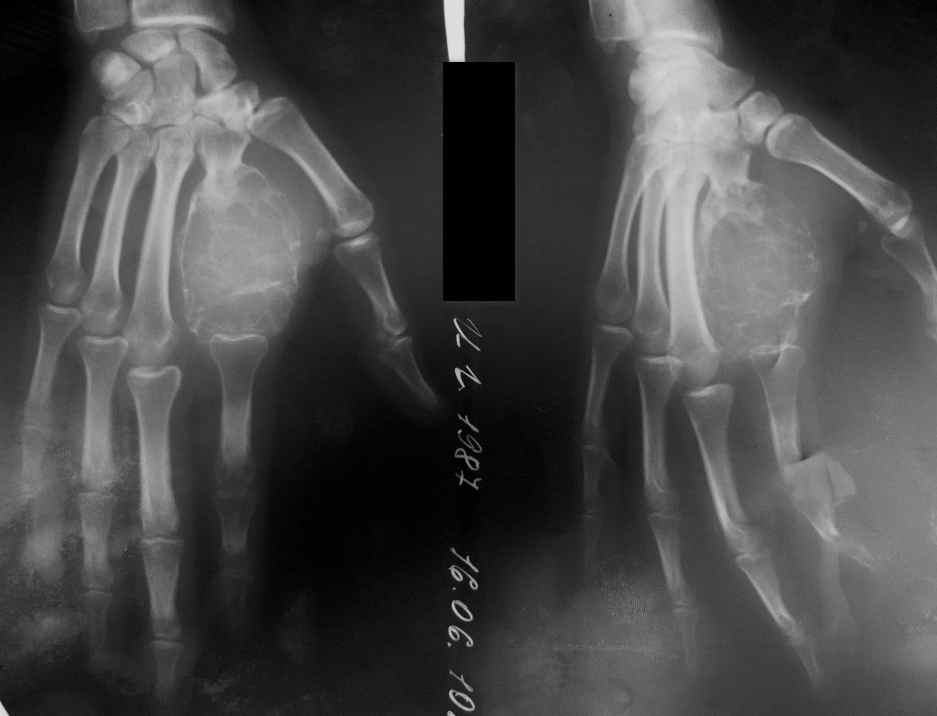
Уважаемый Максим, добрый вечер. А как вы планируете решить вопрос с суставной поверхностью пястной кости. Ведь судя по рентгенограмме 2-й луч уже потерял часть своей длины из за проседания пястной кости. Или вы ожидаете увидеть сохраненную хрящевую поверхность?
|
[
Ответить ]
|
Re: ГКО 2-й пятной кости
Отправитель: Максим 26 Июль 2010, 22:47
|
Я думаю, что конечно суставной поверхности там не осталось. Каковы будут предложения помимо артродеза пястно-фалангового сустава? Идти на неартроз?
|
[
Ответить ]
|
|
Re: ГКО 2-й пятной кости
Шведовченко Игорь Владимирович 26 Июль 2010, 23:18
|
Уважаемый Максим. В качестве трансплантата в этих ситуациях просто идеален губчато-кортикальный трансплантат из крыла подвздошной кости. Даже своей дугообразной формой этот трансплантат повторяет очертания пястной кости. При заимствовании Вы можете взять одну кортикальную пластику и массивную губчатую часть, вторую кортикальную пластинку оставить, что заметно улучшит косметический результат в донорской зоне.
Вопрос о пястно-фаланговом суставе можно решать двояко: просто сопоставить трансплантат с суставной поверхностью основной фаланги в расчете на формирование неоартроза; либо идти на эндопротезирование пястно-фалангового сустава. "Горячие" хирурги предлагают делать это одномоментно, более спокойные-вторым этапом.
|
[
Ответить ]
|
Re: ГКО 2-й пятной кости
SAGo 28 Июль 2010, 00:14
|
На трехчетвертном снимке просматривается очертание головки пястной кости с суставной поверхностью. Поэтому какая-то надежда есть. И артродез, и ложный сустав - не очень хороший вариант для пястно-фалангового сустава трехчленного пальца. Но куда деваться? Хотя я мало верю в эффективность создания стабильного, подвижного, безболезненного ложного пястно-фалангового сустава.
|
[
Ответить ]
|
Re: ГКО 2-й пятной кости
Виктор Сергеевич Мельников 31 Июль 2010, 20:45
|
Согласен с глубокоуважаемым Игорем Владимировичем в вопросе выбора оптимального трансплантат для замещения пострезекционного дефекта 2-й пястной кости, если речь идет о васкуляризированной костной пластике. У нас есть опыт замещения посттравматических дефектов пястных костей титановым протезом пястной кости (к сожалению пока самодельным)в сочетании с одномоментным эндопротезированием пястно-фалангового сустава протезом фирмы Синтез. Рентгенограммы обнародую завтра.
|
[
Ответить ]
|
Re: ГКО 2-й пятной кости
Мельников Виктор Сергеевич 03 Август 2010, 14:57
|

обещанные снимки
DSC09375.JPG
951KB (974278 bytes)
|
[
Ответить ]
|
Re: ГКО 2-й пятной кости
Отправитель: Evgueny 04 Август 2010, 00:16
|
Виктор Сергеевич,
Опишите функцию кисти, 3го пальца.
Подозреваю, что межфаланговые и пястнофаланговый суставы тугоподвижны....
Заранее признателен,
Евгений Чекашкин
|
[
Ответить ]
|
|
( Ответить )
|