ВХОД ДЛЯ ПАЦИЕНТОВ
вверх
поиск
админ
главная
исходное
|
Re: Чрезвертельный перелом бедра
послал Djoldas Kuldjanov 04 Август 2010, 14:02
|
До выхода блокируемых гвоздей для фиксации косых подвертельных переломов в основном применяли Blade Plate. За счет уникальной конструкции создавался Fixed Angled Device, который соединял головку с диафизом, минуя зону перелома.
За счет особой конструкции клинка и подпорки (buttress) в диафиз создавалась стабильность, и предупреждалось скольжение по линии перелома. Перпендикулярная поверхность клинка предупреждала сгибательные и разгибательные смещения, и в сравнении с круглым винтом редко происходило прорезыванием.
Первые реконструкционные гвозди без блокировки винтов не смогли повторить преимущества, и из-за Z эффекта винтов происходило быстрое расшатывание.
С приходом менее агрессивных блокируемых цефаломедуллярных гвоздей (Gamma 3 и другие) изменилась тактика лечения. Несмотря на то, что вся стабильность держится вокруг одного блокирующего винта, в большинстве случаев гвозди приводили к успеху.
Из накостных, хороший результат дают проксимальные пластины от Synthes или Smith&Nephew, но из-за риска осложнения доступов многие предпочитают гвозди.
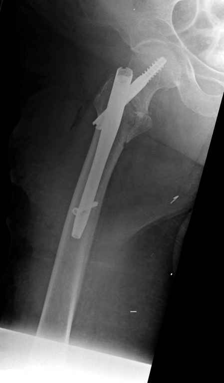
В данном случае в головке бедра и в вертлужной впадине огромный дефект, навряд ли удалением импланта или заменой на другой можно сохранить сустав.
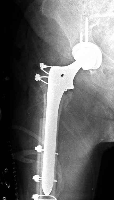
Вашему вниманию представляется похожий случай, пациентке 70, осложнился в течение одного месяца после операции. Ревизия с заменой сустава, кабельная фиксация на трохантер. При установке в дистальном диафизе обнаружен тонкий кортикальный слой и сделана профилактика от возможного перелома аллографтом.

Перечисляя различные техники, хотел бы напомнить, что современный ортопед обязан владеть всеми видами фиксации, включая сложные с обнажением фокуса перелома.
Djoldas Kuldjanov, MD
Department of Orthopedic Surgery
St. Louis University Medical Center
|
| Послать ответ |
Обратите внимание: Поля с жирными названиями обязательны.
Старайтесь отвечать в рамках обсуждаемой темы, а не начинать новые обсуждения.
Указывайте адекватную тему сообщения, чтобы было ясно, о чем оно.
Не послайте сообщений не по теме (оффтопик), раздраженных, грубых или обидных комментариев. Здесь это неуместно.
|