AOTRAUMA.ORG Центр Илизарова  

Ортопедия и травматология Общие вопросы/General questions Help Информационные технологии в медицине
 вверх
 отправить
 поиск
 админ
 главная
 Предыдущее


Re: Последствия открытого перелома дистального отдела бедра
Владимир Новиков 08 Сентябрь 2010, 18:52
Пожалуйста, снимки.


  • Сообщения о Ортопедия и травматология
  • Также Владимир Новиков
  • Связаться с автором
  • Ответить

    Re: Последствия открытого перелома дистального отдела бедра
    Владимир Новиков 09 Сентябрь 2010, 01:52
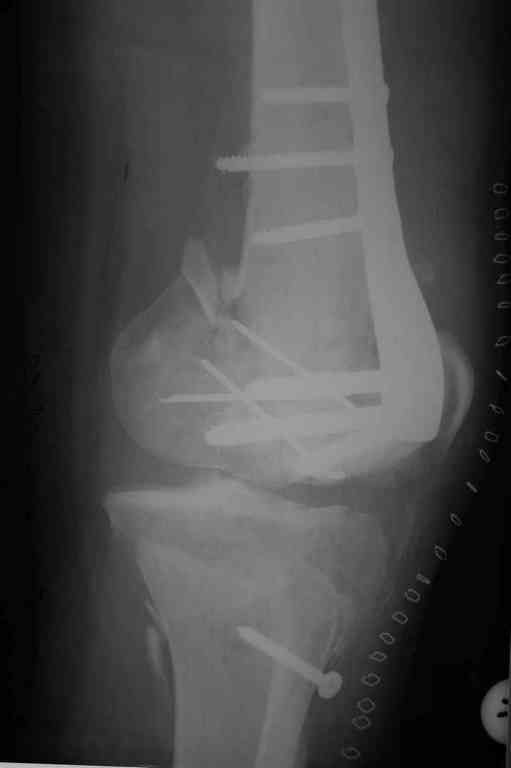
    Коллеги фиксатор Numelock II
    [ Ответить ]


    ( Ответить )

    Powered by Zope  Squishdot Powered MedLink
    Посетитель: 0189307
      "По форме правильно, а по существу - издевательство" В.И.Ленин
    ©2001-2019Orthoforum Coordinator.
    [ Главная | Отправить сообщение | Поиск | Админ ]