ВХОД ДЛЯ ПАЦИЕНТОВ
вверх
поиск
админ
главная
исходное
последующие
|
Re: Перелом голени
послал Michael Berenstein 01 Октябрь 2010, 01:04
|
Здравствуй Джолдас!
Как всегда прекрасная презентация. Совершенно согласен с необходимостью сохранять мениск и вообще согласен со всем, кроме одного. Фиксация должна проводиться после правильно выполненной репозиции. Главная цель репозиции - это восстановить высоту наружного мыщелка. В норме наружный мыщелок выше внутреннего на 4-5 мм на снимке в переднее заднем направлении АР.
Необходимость репозиции возникает при снижении высоты от 3 до 5 мм по разным источникам. По моему опыту 4 мм. Если не восстановить высоту мыщелка возникает вальгизация коленного сустава с относительным расслаблением передней крестообразной связки. При этом развивается нестабильность коленного сустава из-за недостаточности ПКС.
По этому если фрагмент большой есть необходимость репозиции дистального угла и фиксация пластинкой против соскальзывания ANTIGLIDING PLATE. Если перелом фрагментарный? то очень помогают описанные субхондральные шурупы RAFT, но
чтобы сохранить высоту суставной площадки шурупы одним концом должны опираться на пластинку а другим - на кортекс по внутренней стороне. Идеально сочетание ANTIGLIDING BUTRESS PLATE + RAFT SCREWS.

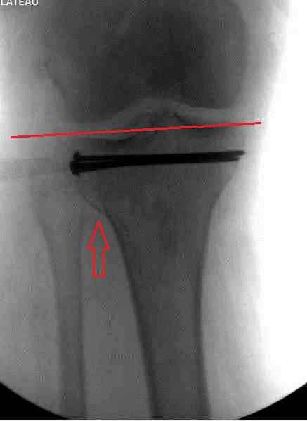
На представленном после операционном снимке нет репозиции, на что указывает низкое положение тибиального плато и перекрытие кортикальных пластинок в метафизарной части - указано стрелкой. Обычно чрескожную фиксацию я применяю
при переломе без депрессии отломка, или если после СТ понятно, что можно сделать закрытую репозицию, то шуруп с шайбой можно установить прямо в угол, что предотвращает скольжение отломка.
С наилучшими пожеланиями
Михаил Беренштейн
|
| Послать ответ |
Обратите внимание: Поля с жирными названиями обязательны.
Старайтесь отвечать в рамках обсуждаемой темы, а не начинать новые обсуждения.
Указывайте адекватную тему сообщения, чтобы было ясно, о чем оно.
Не послайте сообщений не по теме (оффтопик), раздраженных, грубых или обидных комментариев. Здесь это неуместно.
|