AOTRAUMA.ORG Центр Илизарова  

Ортопедия и травматология Общие вопросы/General questions Help Информационные технологии в медицине
 вверх
 отправить
 поиск
 админ
 главная


Перелом пяточной кости
Ортопедия и травматология Отправлено Abdurashid 21 Сентябрь 2010, 00:55
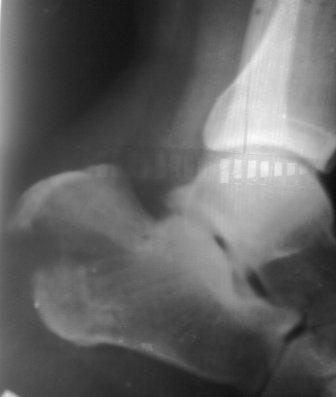
Здравствуйте, уважаемые коллеги. Обратился больной 29лет, через 25 дней после травмы с переломом обеих пяточных костей, слева без смещения, справа внесуставной отрывной перелом бугра пяточной кости (утиный клюв) в гипсовой повязке.
После снятия гипсовой повязки в обл. смещенного бугра имеется некроз м/тканей с образованием тонкой плотной корочки, спаянный с костью.
Честно сказать, пока не знаю что делать, если даже мимо некроза вводить стержень Щанца и попробовать опустить "клюв", рвется некроз с оголением кости, может присоединится инфекция,и остеомиелит на всю жизнь. Если по методу Илизарова, тоже может быть такая же история.
Если не трогать, то болезненная деформация в месте контакта с обувью, укорочение 3глав.мышцы, нарушение походки и т.д.
Если еще ждать до заживления раны или аутодермопластики - тогда что, можно ли будет оперировать и каким способом?
Р-снимки не качественные, снял на моб. на улице, поэтому прошу прошения!
С уважением Абдурашид.

<  |  >

 

  • Сообщения о Ортопедия и травматология
  • Также Abdurashid
  • Связаться с автором
  • Ответить

    Re: Перелом пяточной кости
    Дедок Михаил 21 Сентябрь 2010, 21:53
    Репозиция в аппарате,некрэктомия, вакуум.
    По идее, вакуум предотвратит глубокую инфекцию. После развития грануляций- кожная пластика.

    Наверное так.?

    Еще подумал. Репозиция одномоментно вряд ли получиться (ретракция икроножной мышцы + рубцы), а если делать постепенно, то глядишь и некроз не порвется.

    Удачи!
    [ Ответить ]

    • Re: Перелом пяточной кости
      Отправитель: Abdurashid 21 Сентябрь 2010, 22:54

      Спасибо Михаил,я тоже примерно так думаю, но иногда тянет и на авантюру, некроэктомия с поверхностной кортикоэктомией, освежение краев раны, одномоментная репозиция после максимального эквинуса и сгибания к/сустава, фиксация компрессирущими винтами, после всего этого кожа уже достаточная и ушивать без натяжения!,конечно под прыкрытием
      мощных антибиотиков.
      Готовлюсь услышат резких критиков!
      С уважением Абдурашид.


      [ Ответить ]
      • Re: Перелом пяточной кости
        Отправитель: В.Машталов 22 Сентябрь 2010, 19:45
        Чтобы хватило кожи после некрэктомии надо убрать весь пяточный бугор, и остеосинтез не нужен.

        [ Ответить ]
    Re: Перелом пяточной кости
    александр ерохин 21 Сентябрь 2010, 22:38
    Можно прооперировать открыто ,винтом.Далее итальянская пластика-лоскут на ножке со здоровой конечноти(без пластики в любом случае не обойтись),если нет возможности взять лоскут ,используя микрохирургическую технику,-то только остается лоскут на ножке со здоровой конечности.Риск,конечно есть,но наверно,надо оценить верно ситуацию(изменения в анализах крови,наличие местных признаков воспаления,сопутствующая патология и.т.п.)По своему опыту-приживание лоскутов 100%,опыт 7или 8 операций.Отрицательный момент-длительный койко-день и необходимость постороннего ухода.
    Аппарат в любом случае не решит проблему с пластикой.
    [ Ответить ]

    Re: Перелом пяточной кости
    Станислав 22 Сентябрь 2010, 22:37
    Необходимо выполнить некрэктомию, МОС винтами или аппаратом, пластика несвободным суральным лоскутом.
    [ Ответить ]

    Re: Перелом пяточной кости
    Игорь 27 Сентябрь 2010, 15:25
    Возникает вопрос,а где был больной 25 дней? Если он ассоциален, то практические любые методы приведут к остеомиелиту и вечному пациенту вашей клиники.
    [ Ответить ]

    • Re: Перелом пяточной кости
      Отправитель: Abdurashid 02 Октябрь 2010, 22:14


      Спасибо коллеги! Организовали консилиум, пригласили комбустиологов, решили : перевести больного в ожоговое отд, для пластического закрытия дефекта мягких тканей, и после вторым этапом МОС с винтами.
      Больной 15 дней находился в ЦРБ, с гипсом, больше 10 дней наблюдается у нас без гипса.
      С уважением Абдурашид.


      [ Ответить ]
    • Re: Перелом пяточной кости
      Отправитель: Abdurashid 02 Октябрь 2010, 22:19


      Спасибо коллеги! Организовали консилиум, пригласили комбустиологов, решили : перевести больного в ожоговое отд, для пластического закрытия дефекта мягких тканей, и после вторым этапом МОС с винтами.
      Больной 15 дней находился в ЦРБ, с гипсом, больше 10 дней наблюдается у нас без гипса.
      С уважением Абдурашид.


      [ Ответить ]
    • Re: Перелом пяточной кости
      Отправитель: Abdurashid 02 Октябрь 2010, 22:19


      Спасибо коллеги! Организовали консилиум, пригласили комбустиологов, решили : перевести больного в ожоговое отд, для пластического закрытия дефекта мягких тканей, и после вторым этапом МОС с винтами.
      Больной 15 дней находился в ЦРБ, с гипсом, больше 10 дней наблюдается у нас без гипса.
      С уважением Абдурашид.


      [ Ответить ]
    • Re: Перелом пяточной кости
      Отправитель: Abdurashid 02 Октябрь 2010, 22:20


      Спасибо коллеги! Организовали консилиум, пригласили комбустиологов, решили : перевести больного в ожоговое отд, для пластического закрытия дефекта мягких тканей, и после вторым этапом МОС с винтами.
      Больной 15 дней находился в ЦРБ, с гипсом, больше 10 дней наблюдается у нас без гипса.
      С уважением Абдурашид.
      P.S.
      О результатах по позможности буду сообшать!

      [ Ответить ]
    • Re: Перелом пяточной кости
      Отправитель: Abdurashid 02 Октябрь 2010, 22:21


      Спасибо коллеги! Организовали консилиум, пригласили комбустиологов, решили : перевести больного в ожоговое отд, для пластического закрытия дефекта мягких тканей, и после вторым этапом МОС с винтами.
      Больной 15 дней находился в ЦРБ, с гипсом, больше 10 дней наблюдается у нас без гипса.
      С уважением Абдурашид.
      P.S.
      О результатах по позможности буду сообшать!

      [ Ответить ]

     

    ( Ответить )

    Powered by Zope  Squishdot Powered MedLink
    Посетитель: 0058988
      "По форме правильно, а по существу - издевательство" В.И.Ленин
    ©2001-2019Orthoforum Coordinator.
    [ Главная | Отправить сообщение | Поиск | Админ ]