вверх
отправить
поиск
админ
главная
|
чрезмыщелковый перелом - возможность улучшения функции? |
 |
 |
 |
Отправлено Anton Vladzymyrskyy 27 Сентябрь 2010, 18:21
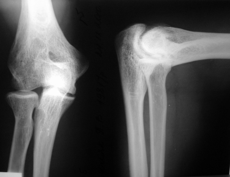
Уважаемые коллеги! Выскажите, пожалуйста, свое мнение по данному случаю. Пациент очень решительно настроен прооперироваться с целью улучшения функции. Мужчина, 29 лет. В 15 лет - спортивная травма, закрытый чрезмыщелковый перелом правой плечевой кости со смещением. Лечился консервативно. В настоящее время предъявляет жалобы на ограничение сгибания, повышенную утомляемость. Объективно: сгибание до 100 гр., разгибание до 170. Неврологических и циркуляторных расстройств нет. Вопрос: возможность хирургического лечения с целью улучшения функции (вид, детали, прогноз)?
Заранее благодарю!
С уважением, А.В.Владзимирский
ДНИИТОDear colleagues!
Male, 29 y.o. In age of 15 years he had sport trauma – close transcondylar fracture of the humerus. He had cast fixation and some rehabilitation after it.
Now: complaints for limitation of the flexion, fast weariness.
Flexion: 100 degree, extension – 170. There are no neurological and vascular disorders.
Question: possible surgical treatment for better function of the elbow (opinion, type of surgery, details, prognosis)?
Thank you very much!
Best wishes,
Anton Vladzymyrskyy
Donetsk Trauma Center
<
|
>
|
|
Ответить
|
Re: чрезмыщелковый перелом - возможность улучшения функции?
Dr.Vishwanath Iyer 27 Сентябрь 2010, 23:19
|
Dear Dr Anton,
The limitation of flexion is due probably to radial head as well as coronoid abutting against the anterior part of the lower humerus, A part of the anterior aspect of the lower humerus could be chiselled off to remove the bony block. But there is the question of long standing soft tissue contracture which may also have to be tackled. After such a surgery unless active mobilisation is not done immediately the ROM obtained on the table may be lost. The ROM at present is good enough for his avtivities of daily living. (He must be using a spoon to feed himself now) So best left alone.
The other possibility is doing a flexion osteotomy of the lower humerus so that the arc of motion is changed. The amount of flexion gained will be that much extension lost. Then again the ostetomu must be fixed so rigidly that mobilisation should be possible immediately
Cheers!!
V M Iyer
|
[
Ответить ]
|
Re: чрезмыщелковый перелом - возможность улучшения функции?
Alexander Chelnokov 27 Сентябрь 2010, 23:42
|
Надо объяснить пациенту смысл пословиц "лучше синица в руках, чем журавль в небе", (или "...чем утка под кроватью" в версии команды КВН ДГУ); "и от гусей отстали, и к лебедям не пристали". И т.д.
Согласен с Вишу Айером - лучше оставить как есть.
|
[
Ответить ]
|
Re: чрезмыщелковый перелом - возможность улучшения функции?
Peter Romchuk 28 Сентябрь 2010, 04:09
|
might be of help:
T. Judet
MY TECHNIQUE FOR THE RELEASE OF STIFF ELBOWS
http://www.maitrise-orthop.com/viewPage_us.do?id=981
best regards,
Peter Romchuk
Rivne Central City Hospital
Ukraine
|
[
Ответить ]
|
Re: чрезмыщелковый перелом - возможность улучшения функции?
Юрий Алексеевич Булахтин 28 Сентябрь 2010, 13:42
|
Здравствуйте,Антон!
После Вашего замечания, по-поводу минимизации докладчиками украинского съезда групп для обоснования своих выводов, мои предложения попадают в категорию "иронии судьбы..." Желая быть максимально статистически корректным поднял все, что смог - скромный итог жизни равен 37 резекциям головки лучевой кости. Сразу скажу, что я горячий сторонник этой операции, т.к. эффект от нее, впервые увиденной, меня поразил, да и потом не было причин разочароваться - не всегда, конечно, это дает увеличение объема движений в суставе, но УМЕНЬШЕНИЯ не было ни разу. Тем более, что на представленном Вами снимке признаки "конфликта" (говоря иначе "импиджмента" - налицо).
С уважением,
Юрий Алексеевич Булахтин
Камчатский Военно-морской госпиталь
|
[
Ответить ]
|
Re: чрезмыщелковый перелом - возможность улучшения функции?
Отправитель: александр ерохин 28 Сентябрь 2010, 23:56
|
Не считал,сколько провел резекций головки луча за 20 лет,примерно столько же,может чуть меньше.Я согласен с Вами -операция простая,результаты хорошие-функция улучшилась у всех больных,но наверно,следует провести или КТ на спиральном компьютере или ЯМРТ.Возможно будет обнаружен "субъект"вмешательства-хрящевое внутрисуставное тельце или секвестр-разве невозможно постравматическое развитие болезни Кенига в головчатом возвышении?;Возможно механическое препятствие будет в области венечного отростка?Т.е.для принятия решения для вмешательства,наверно,надо дообследовать ,оценить характер деятельности пациента итп.
Успехов всем.
|
[
Ответить ]
|
|
Re: чрезмыщелковый перелом - возможность улучшения функции?
николай васильевич 28 Сентябрь 2010, 14:08
|
По существу вопроса. Конечно не только можно,но и нужно помочь, учитывая возраст.
Операция-артролиз локтевого сустава.
Доступ к суставу по задней стороне с выделением
локтевого нерва и поднятием на держалке трехглавой мышцы. Проводим ревизию локтевого сустава.Удаляем внутрисуставные и внесуставные рубцовые ткани,частично иссекаем капсулу сустава. Формируем фрезой локтевую и венечную ямки. мобилизуем локтевой отросток. При этом далеко не всегда необходима резекция головки лучевой кости. Получаем удовлетворительную амплитуду движений. Если после артролиза имеет
место нестабильность, фиксируем на 14 дней сустав
двумя спицами-через локтевой отросток и плечевую кость. Затем лечебная гимнастика.
Опыт лечения сотен таких пациентов с хорошим результатом-больше той амплитуды ,что имеется у пациента, позволяет мне рекомендовать такой вариант лечения.
|
[
Ответить ]
|
Re: чрезмыщелковый перелом - возможность улучшения функции?
Вячеслав 29 Сентябрь 2010, 01:46
|
Может быть нужно провести пациенту артроскопию локтевого сустава, а предварительно УЗД? Во всяком случае после УЗД можно исключить рассекающий остеохондрит.
|
[
Ответить ]
|
Re: чрезмыщелковый перелом - возможность улучшения функции?
Отправитель: александр ерохин 29 Сентябрь 2010, 02:45
|
Разве?УЗД дает 65-70 % верных диагнозов.Данные,приведенные "узистом",не самым плохим с которым довелось сотрудничать.Он ссылался на мировую и Российскую статистики,да и сам заглядывал в операционную.Уж,извините,но ориентируешься больше на клинику.Хотя,может специалисты с которыми вы работаете более квалифицированы?
А возможна ли артроскопия на этом суставе?Так же не уверен-мало кто владеет вообще артроскопией локтевого сустава,а на фоне такого артроза вряд ли получится доступ во все отделы сустава,да и артроскоп наверно нужен особый-более тонкий.
|
[
Ответить ]
|
|
Re: чрезмыщелковый перелом - возможность улучшения функции?
Дмитрий 29 Сентябрь 2010, 20:44
|
В порядке бреда: насилственное сгибание в локтевом суставе под анестезией.
Если контрактура обусловлена мягкими тканями, то в теории должно помочь.
Минусы: можно что-нибудь сломать.
Либо не делать ничего.
|
[
Ответить ]
|
Re: чрезмыщелковый перелом - возможность улучшения функции?
Djoldas Kuldjanov 30 Сентябрь 2010, 00:17
|
Привет, Антон,
Удаление головки относится к легким операциям, и, несмотря на множественные литературные данные, во многих местах до сих пор продолжаются удаления головки луча.
Не надо забывать, что головка удерживается в суставе за счет круговых волокон латеральной связки. Нарушение связочного баланса приведет к задне-латеральной нестабильности (локтевой девиации), и в результате чего может быть проксимальная миграция луча. Миграция в 1-2 мм протекает незаметно для многих, но когда лучевая кость мигрирует на 2 мм и более, появляется боль в кисти. Впоследстии симптомы "межкостной мембраны" переходят в предплечье.
При переломах, для профилактики миграции головки, сегодня придерживаются тенденции замены головки протезом. Протез можно установить сразу во время удаления или отсрочнно, но с обязательной установкой спейсера из силикона. Временный спейсер сохраняет пространство, и легче будет проведение операции даже через несколько месяцев.
В данном варианте.., учитывая, что пациент высокотребовательный, я бы его дообследовал. Сравнительные снимки локтевых суставов создадут истинную картину анатомии локтевого сустава.
Насчет УЗИ, редко можно встретить эксперта, особенно по мелким суставам, который описал бы состояние сустава.
На МРТ легко читаются проявления артрозных процессов в суставе, и в зависимости от полученных данных, можно сделать дебридмент сустава артроскопически или открыто.
Сустав хорошо визуализируется сзади через локтевую ямку. Достаточным бывает отверстие в локтевой ямке около 1.5 см для ревизии и для удаления причины импинжмента против головки.
Djoldas Kuldjanov, MD
Department of Orthopedic Surgery
St. Louis University Medical Center
|
[
Ответить ]
|
Re: чрезмыщелковый перелом - возможность улучшения функции?
А.В.Владзимирский 08 Октябрь 2010, 15:50
|
Спасибо Всем за рекомендации, советы и комментарии!
|
[
Ответить ]
|
( Ответить )
|
|