ВХОД ДЛЯ ПАЦИЕНТОВ
вверх
поиск
админ
главная
исходное
последующие
|
Re: rami nonunions
послал Milton L. Routt 16 Октябрь 2010, 13:51
|
Here are a recent patient’s example slides...

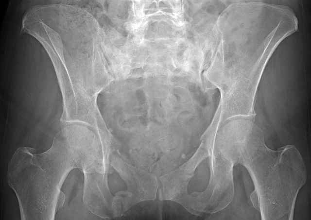
54 yo Female Fell c/o Pain
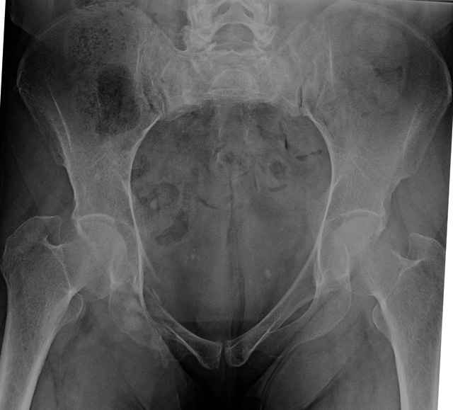
Initial Films
?Instability on Exam - Limited by Pain
NonOp Initial Mgmt

3 Months After Fall
Continued Pain & Immobility
(+) Instability to Compressive Manual Exam

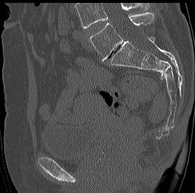
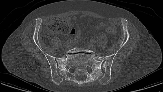
Pelvic CT Scan - 3 Months After Fall
Sacral Injuries
Ramus Fractures

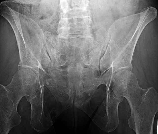
Percutaneous Fixation
(B) Ramus-Retrograde
2 TransIliac-TransSacral
Upper Segment
mlcr
|
Послать ответ |
Обратите внимание: Поля с жирными названиями обязательны.
Старайтесь отвечать в рамках обсуждаемой темы, а не начинать новые обсуждения.
Указывайте адекватную тему сообщения, чтобы было ясно, о чем оно.
Не послайте сообщений не по теме (оффтопик), раздраженных, грубых или обидных комментариев. Здесь это неуместно.
|