AOTRAUMA.ORG Центр Илизарова  

Ортопедия и травматология Общие вопросы/General questions Help Информационные технологии в медицине
 вверх
 отправить
 поиск
 админ
 главная
 Предыдущее
 Весь тред


Re: ЗЧКО по Илизарову голени плохо? Или панецея?
Адонин 26 Октябрь 2010, 05:16


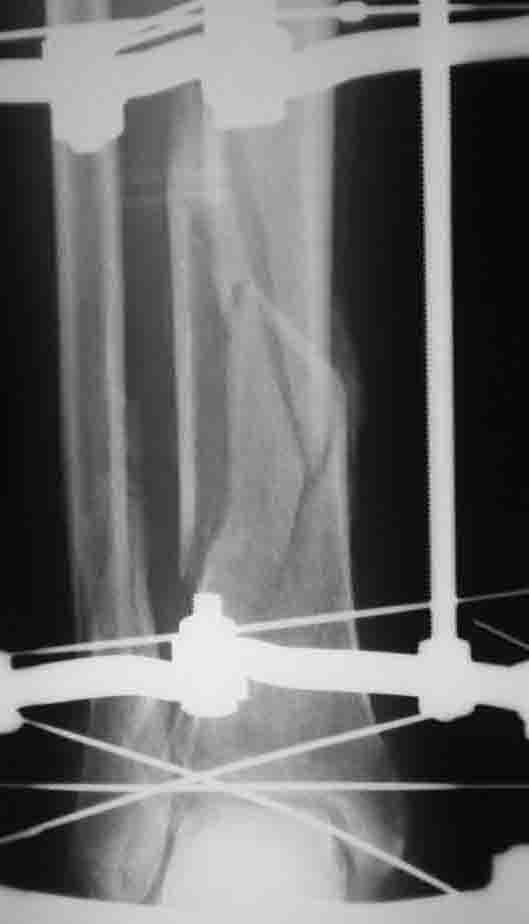
вот при таком внутрисуставном переломе ВЧКО по Илизарову будет методом выбора во многих (возможно, в большинстве) британских центров, где этой методой владеют.
Где не владеют - пусть накладывают опорные пластины. я не против :)




  • Сообщения о Ортопедия и травматология
  • Также Адонин
  • Связаться с автором
  • Ответить

    Re: ЗЧКО по Илизарову голени плохо? Или панецея?
    Alexander Chelnokov 27 Октябрь 2010, 23:51
    Ну, при таком-то переломе и накостный остеосинтез возможен, и даже интрамедуллярный. Аппаратная фиксация становится предпочтительной, наверно, все-таки при более многооскольчатых переломах собственно суставной поверхности, когда спицы в силу их меньшего диаметра позволяют фиксировать множественные мелкие фрагменты под любыми углами.

    [ Ответить ]

    • Re: ЗЧКО по Илизарову голени плохо? Или панецея?
      Отправитель: Адонин 28 Октябрь 2010, 07:45
      Алекс, снимок сильно ужат и сфотографирован мыльницой, потому я и написал отдельно, что он внутрисуставной.
      Пластиной. конечно, можно, но будет травматичнее и ничем не прочнее, чем аппаратом.

      [ Ответить ]

     

    ( Ответить )

    Powered by Zope  Squishdot Powered MedLink
    Посетитель: 0197439
      "По форме правильно, а по существу - издевательство" В.И.Ленин
    ©2001-2019Orthoforum Coordinator.
    [ Главная | Отправить сообщение | Поиск | Админ ]