вверх
отправить
поиск
админ
главная
|
Ложный сустав локтевого отростка |
 |
 |
 |
Отправлено Ostanin 26 Октябрь 2010, 19:47
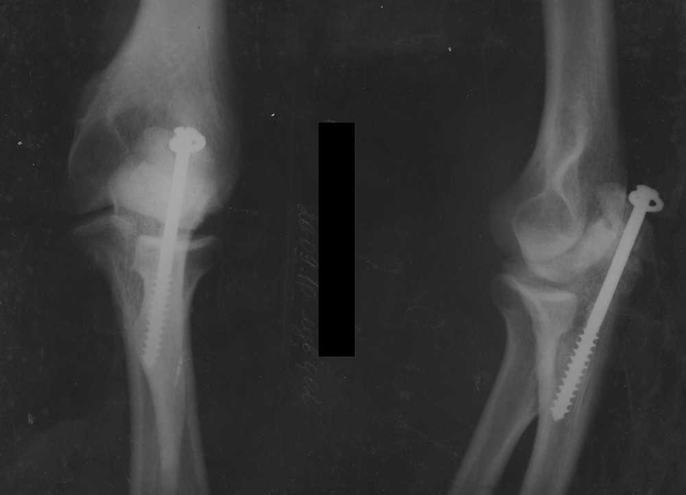
Пациент 26 лет, военнослужащий, с высокими функциональными требованиями. Курит, пьет умеренно (?..). В феврале 2009 года получает перелом локтевого отростка правой локтевой кости со смещением. При рентген-исследовании выявлен несросшийся перелом внутреннего надмыщелка правого плеча (при уточнении анамнеза вспомнил про травму в детстве). Было выполнено удаление свободно лежащего надмыщелка, синтез локтевого отростка винтом с шайбой. В послеоперационном периоде - нейропатия локтевого нерва, сейчас беспокоят незначительные парестезии в V пальце, сила кисти не страдает. При обращении (в настоящее время) беспокоит наличие металлоконструкции, "щелчки" в амплитуде сгибания от 90 до 140, (общий объем движений S 0-5-140), боль в области подкожно выступающей головки винта, субъективно - снижение силы На рентгенограмме (предоставить сегодня не смогу) - ложный сустав локтевого отростка, незначительная миграция винта. Линия ложного сустава идет косо, захватывает меньше четверти суставной поверхности. Ваши предложения? Пока выбираем между "убрать и выкинуть" и пластикой скользящим трансплантатом с фиксацией по Weber. Смущает с одной стороны - небольшой размер фрагмента, с другой стороны - итак уже надмыщелка нет, делать сустав более нестабильным не хочется. С уважением, Останин
<
|
>
|
|
Ответить
|
Re: Ложный сустав локтевого отростка
Sereda Andrey 27 Октябрь 2010, 01:10
|
Ложные суставы локтевого отростка, выявленные только по данным рентгена, лечить не нужно.
Силу не повысите, рентген-картинку не улучшите. Скорее всего все-равно не срастется.
Сам совершил как-то большую глупость - прооперировал. Все равно не срослось. Жалобы не изменились. Чтение литературы "апосля" подтвердило глупость поступка.
|
[
Ответить ]
|
Re: Ложный сустав локтевого отростка
Бережной Сергей 27 Октябрь 2010, 01:22
|
А чем надмыщелок плеча, про который пациент и не знал ничего, помешал? Вот и нейропатия локтевого нерва. А кроме "убрать и выкинуть" локтевой отросток и пластики скользящим трансплантатом есть еще пластика свободным аутотрансплантатом с крыла подвздошной кости, обладающим лучшими остеоиндуктивными свойствами. И фиксироавть можно по разному. Но чтобы об этом думать нужны снимки.
|
[
Ответить ]
|
Re: Ложный сустав локтевого отростка
Adonin 27 Октябрь 2010, 02:22
|
я бы "убрал и выкинул"
цитата из Кэмпбелла
Nonunions of the olecranon proximal to the middle of the trochlear notch are not difficult to treat. When there is strong fibrous union, the disability may be only slight, and in middle-aged or elderly patients surgery may not be justified. If the ununited fragment is less than 50% of the olecranon surface, it can be simply excised, and the distal expansion of the triceps tendon is reattached to the ulna as for some fresh fractures (see Chapter 54). Contoured plating with bone grafting provides static compression and early elbow range of motion. Ring, Jupiter, and Gulotta reported excellent or good results in nine of 10 atrophic nonunions of the proximal ulna after autogenous bone grafting and plate fixation; the fair result was in a patient with a proximal radioulnar synostosis and severe ulnohumeral arthrosis.
|
[
Ответить ]
|
Re: Ложный сустав локтевого отростка
Adonin 27 Октябрь 2010, 02:30
|
про стабильность - удаленный внутренний надмыщелок нисколько не влияет на стабильность сустава. по данным McKeever and Buck 80 % олекранона может быть удалено без видимой дестабилизации сустава. полная цитата из того же кэмпбелла ( на этот раз глава"переломы", в пердыдущем посте - из главы " несрощения" )- ниже
Excision of a proximal fragment has several advantages. First, the possibility of nonunion is eliminated; only the triceps tendon must become anchored to the distal fragment. Second, the possibility of traumatic arthritis resulting from irregularity of the articular surface is minimized. This method can be used only if enough of the olecranon is left to form a stable base for the trochlea. It is not indicated if a comminuted fracture extends as far distally as the coronoid process. Even if used correctly, the method may be criticized because the elbow is less efficient without the proximal end of the ulna, and because the olecranon projection of the posterior aspect of the elbow joint is lost. McKeever and Buck introduced this form of treatment and recommended it for old ununited fractures, fractures that are extensively comminuted, fractures in the very elderly, and fractures not involving the trochlear notch. McKeever and Buck stated that 80% of the olecranon can be excised without appreciably affecting the stability of the elbow joint. MacAusland and Wyman also advocated excision of the olecranon if the fracture is an isolated injury; however, they noted that in the presence of any evidence of injury to the anterior bony or soft-tissue structures, excision of the olecranon is contraindicated for fear of producing elbow instability. They excised the entire olecranon if the coronoid and the anterior structures were undamaged. Gartsman et al. found that excision of even large fragments of the olecranon with repair of the triceps resulted in 20% fewer operative complications than open reduction and internal fixation techniques.
According to McKeever and Buck and MacAusland and Wyman, the elbow joint is stable enough as long as the coronoid process and the vertical distal face of the semilunar notch are preserved; a fragment that makes up 80% of the semilunar notch can be excised without ill effects. Because some of their patients noted that the ulnar nerve could be traumatized more easily after excision of the olecranon, they advised anterior transposition of the nerve at the time of excision of the olecranon.
|
[
Ответить ]
|
Re: Ложный сустав локтевого отростка
Курышев Данила 27 Октябрь 2010, 05:32
|
Доктор, миленький. А как же Вы без рентгенограмм совета спрашиваете? Так не понятно планирование Вашего оперативного плана. Наврядли фиксация шурупом с шайбой была лучшим решением.Просто спонгиозный шуруп не в чём не сможет "зацепиться" и дать компрессию, даже с шайбой. Два длинных и тонких шурупа, выходящих за кортикал - куда ни шло. Серкляж, видимо, не применялся. Вариант с LCP или "пластины с зубом" не рассматривался?
Удаление надмыщелка, думать надо, было от лукавого. Нестабильности он дать не мог и "свободно лежать" - тоже. Всё было, наверняка, в рубцах, нерва Вы не видели и не мобилизовали его. Отсюда невропатия. Трогать надмыщелок не стоило, в нём нет ничего интересного, даже если на гистологию отправить :). Веберу, наверное, "скользить" некуда будет.
PS- а сколько времени после операции - чтобы шуруп удалять? Когда операция была? Февраль?
С уважением!
|
[
Ответить ]
|
Re: Ложный сустав локтевого отростка
Бережной Сергей 27 Октябрь 2010, 13:49
|
Все-таки из приведенных цитат можно сделать вывод, что для молодого с высокими требованиями пациента остеосинтез предпочтительнее. Сейчас наблюдаю пациента прооперированного в Швейцарии 5 месяцев назад по поводу ложного сустава. Мощным винтом. Срастается. Хотя и медленно. Самому довелось и винтами и пластинами оперировать. Всегда с аутостружкой с крыла подвздошной кости. Несращений не было. Современная пластинка позволяет полную нагрузку сразу по заживлении раны. И скелетировать не нужно локтевой отросток. Пластина укладывается поверх сухожилия. А удаление локтевого отростка может быть успешным в случае качественной рефиксации сухожилия. Не такая уж это простая операция. Еще косметический аспект нужно учитывать. Без локтевого отростка рука чудно выглядит.
|
[
Ответить ]
|
Re: Ложный сустав локтевого отростка
Ostanin 27 Октябрь 2010, 19:50
|
2 Adonin
Вами столь любимая COO 11 имеется, заглянул с самого начала, посему про "убрал и выкинул" подумал в 1 очередь:)
2 Курышев Данила - согласен про мягко говоря неудачный первичный синтез и про удаление мыщелка. Не совсем понимаю оправданность применения пластин при апофизарных переломах, но если кому-то хочется... их право.
С момента операции прошло уже полтора года. Поэтому мысль об удачном синтезе и возможности сращения отсылает напрямую к посту Андрея Петровича.

2 всем
Обещанные снимки.
|
[
Ответить ]
|
( Ответить )
|
|