Ответить
|
Re: перелом пяточной кости
Адонин 05 Ноябрь 2010, 19:46
|
КТ необходима. Золотой стандарт в мире - насостный остеосинтез Y-образной пластиной. Не думаю, что многие хирурги имеют достаточный опыт выполнения этой операции.
Вправление внутрисуставных переломов аппаратами внешней фиксации - удел энтузиастов, большинство "well rounded" ортопедов это не одобрят.
Ссылки классические учебники ортопедии
- Canale & Beaty: Campbell's Operative Orthopaedics, 11th ed.
Rockwood & Green's Fractures in Adults, 6th Edition
если Вы читаете по-английски, но не можете найти пиратские копии эхтих книг в интернете - я могу сбросить на какой-нибудь файлообменник
|
[
Ответить ]
|
Re: перелом пяточной кости
Отправитель: Адонин 05 Ноябрь 2010, 19:55
|
уууп-с
я не посмотрел, кто постит :)
замечание про чтение по-английски и доступность кэмпбелла снимается
|
[
Ответить ]
|
Простите за оффтоп
Отправитель: Ostanin 05 Ноябрь 2010, 22:03
|
Скиньте, пожалуйста, Роквуда. Везде, где искал, он в удодском pdb-формате, а привычней chm. Простите за оффтоп, спасибо.
|
[
Ответить ]
|
Re: Простите за оффтоп
Отправитель: Адонин 06 Ноябрь 2010, 02:01
|
роквуд для взрослых
http://www.filefactory.com/file/b4237ge/n/Rockwood_and_Green_s_Fractures_in_Adults_2-Volume_Set_6th_ed_0781746361.chm
|
[
Ответить ]
|
Re: Простите за оффтоп
Отправитель: Адонин 06 Ноябрь 2010, 04:00
|
... и для детей
http://www.filefactory.com/file/b423f0g/n/Rockwood_and_Wilkins_Fractures_in_Children_6th_ed_078175769X.chm
|
[
Ответить ]
|
|
Re: перелом пяточной кости
Владимир М. Троицкий 05 Ноябрь 2010, 20:36
|
В плане обследования СКТ - стандарт.Открытая репозиция наиболее предпочтительна.Для определения показанийй к операции (ORIF) - пациент не старше 50 лет, некурящий (данные литературы). Сроки операции- либо в 1-2 сутки с момента травмы, либо ч\з 2 недели- после спадения отёка и нормализации микроциркуляции.
Залог успеха- тщательное соблюдение этапов операции (доступ, последовательность репозиции).
Подробно показано в CD приложении к Кэмпбеллу, неплохо на сайте АО.
Желаю успеха.
С уважением, Владимир М. Троицкий.
|
[
Ответить ]
|
Re: перелом пяточной кости
александр ерохин 06 Ноябрь 2010, 00:41
|
А как бы лечил я?Вытяжение,как учили за пяточную кость,чуть дистальнее прикрепления ахилла-прямо и вниз,вверх за большеберцовую кость и клеевое за передний отдел стопы-вверх и вперед.Репозиция,пусть и с гиперкоррекцией.Через 10-12 дней ,прямо в палате,не снимая вытяжения чрескожно ,обычно 3 спицами веерообразно фиксируются отломки(короткий в\в наркоз)и накладывается гипсовая лангета до средней трети бедра.Далее переводится в циркулярную повязку с окном для концов спиц.Через месяц спицы удаляются,еще через пару недель укорачивается повязка до коленного сустава,пригипсовывается"стремя".Общий срок иммобилизации около 100 дней.
При любом способе заживление проходит обычно через асептический некроз.Длительные сроки реабилитации,сохраняющаяся хромота.
Не вижу преимущества аппарата перед данным способом,пробовал лечить и аппаратом.Значительно больше"возни"с аппаратом и всё.Открыто Y -пластиной не оперировал.Видел неплохие результаты операций,но наверно ,и риск осложнений не меньше-тот же асептический некроз-ведь хочешь-не хочешь ,а придется скелетировать ,выделять осколки,что еще ухудшит трофику.Удачи Вам и терпения больному.
|
[
Ответить ]
|
Re: перелом пяточной кости
VlaD 06 Ноябрь 2010, 00:49
|
Здравствуйте уважаемые коллеги!
Опираясь на опыт пятидесяти выполненных операций при переломах пяточной кости, мы бы поступили следующим образом.
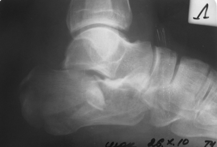
Безусловно, если есть возможность выполнить КТ подтаранного сустава и пяточной кости до оперативного вмешательства, его необходимо выполнять. Это облегчит планирование оперативного вмешательства. Но для того чтобы решить, что больному в данном конкретном случае необходима открытая репозиция перелома и остеосинтез, достаточно рентгенограммы. Форма пяточной кости сохранена и после репозиции просевшей суставной поверхности пяточной кости угол Белера будет восстановлен. Другим способом, кроме открытой репозиции, поднять просевшую суставную поверхность пяточной кости не представляется возможным. L-образный разрез с латеральной стороны, огибающий латеральную лодыжку. Разрез не должен иметь острых углов (всегда присутствует угроза некроза кожи), сразу доходить да пяточной кости. Отсепаровывать лоскут необходимо сразу от латерального кортикального слоя пяточной кости. В данном случае не следует располагать разрез слишком низко к подошвенной поверхности стопы, так как потребуется только вскрыть подтаранный сустав. Отводятся кверху сухожилия малоберцовых мышц, приподнимается и отводится в сторону сломанная кортикальная пластинка латеральной поверхности тела пяточной кости, поднимается элеватором кверху просевшая суставная поверхность пяточной кости и плотно прижимается к суставной поверхности таранной кости. Проводится две спицы, диаметром 2 мм через пяточный бугор, репонированную суставную поверхность пяточной кости в таранную кость. Скорее всего, потребуется костная пластика образовавшегося дефекта в пяточной кости спонгиозным костным трансплантатом из крыла подвздошной кости. Поскольку у больного повреждены все конечности и вертикализировать его в ближайшие три месяца вряд ли представляется возможным, фиксация двумя спицами будет достаточной. Выполняется интраоперационная рентгенография в двух проекциях. Латеральная кортикальная пластинка тела пяточной кости укладывается на место. Дополнительной её фиксации, как правило, не требуется. Обычно, мы заканчиваем операцию дренированием раны дренажной системой низкого вакуума.
Извините за столь подробное описание. Если необходимо, в понедельник вышлю рентгенограммы похожих случаев.
С уважением, VlaD.
|
[
Ответить ]
|
Re: перелом пяточной кости
Отправитель: Адонин 06 Ноябрь 2010, 02:06
|
замечательное описание.
фиксация двумя спицами - это смело, я бы не решился :)
|
[
Ответить ]
|
Re: перелом пяточной кости
Отправитель: VlaD 06 Ноябрь 2010, 03:10
|
С моей точки зрения, в данном конкретном случае перелом пяточной кости весьма схож с импрессионными переломами латерального мыщелка большеберцовой кости, когда проваливается только часть суставной поверхности большеберцовой кости, а форма и размеры мыщелка остаются прежними. Поэтому после репозиции нет необходимости в применении массивных имплантантов, большую пользу принесёт костная пластика. В представленном случае длина пяточной кости сохранена, нет типичной варусной деформации отломков на КТ, а спицы нужны лишь для фиксации фрагмента пяточной кости с суставной поверхностью в репонированном положении на суставной поверхности таранной кости. При сращении перелома в таком положении функция подтаранного сустава будет обеспечена, а при сохранённых форме и размерах пяточной кости следует ожидать безболезненной нагрузки.
VlaD.
|
[
Ответить ]
|
|
Re: перелом пяточной кости
Адонин 06 Ноябрь 2010, 02:36
|

ORIF -единственный способ, позволяющий восстановить конгруэнтность подтаранного сустава, и «при всем богатстве выбора другой альтернативы нет (с)». Вопрос совершенно не в низведении бугра пяточной кости и восстановлении угла Белера – это элементарно делается и аппаратом, и даже еще более простым способом – в бугор в направлении ссади вперед вводится толстая спица, используя ее, как джойстик, бугор низводится, спица проталкивается еще глубже ( картинка из Кэмпбелла). Вот только «проваленную» заднюю суставную поверхность пяточной кости без ORIF and bone grafting не восстановить
|
[
Ответить ]
|
Re: перелом пяточной кости
Ostanin 06 Ноябрь 2010, 09:57
|
А вот некий Тим Шепперс из Роттердама вообще предлагает перкутанную фиксацию канюлированными винтами после репозиции с помощью дистракторов, наложеных за бугор, таран и кубовидную.

Цитата во вложении.
|
[
Ответить ]
|
Re: перелом пяточной кости
Александр Кутков 06 Ноябрь 2010, 13:42
|

Из личного опыта, кстати после снятия кортикальной створки, репозицию удобно делать роторасширителем.
|
[
Ответить ]
|
Re: перелом пяточной кости
Виктор. Караганда 06 Ноябрь 2010, 15:04
|
Разница между информацией полученной Р-графески и КТ - огромная.
Пример.
 PDF, 134 Kb
Б-ной прооперирован по АО, применялась аутопластика из крыла подвздошной кости. На фото больной через 1 мес. Через 4 мес. - физический труд, осмотр через год - жалоб и претензий нет. До нас обращался в два лечебных учреждения, перелом не диагностирован. Был суд. Пациент процесс выиграл.
Больной гражданин РФ. Травма в Казахстане, здесь же и оперирован.
Виктор.
|
[
Ответить ]
|
Re: перелом пяточной кости
Отправитель: Alexander Chelnokov 07 Ноябрь 2010, 19:06
|
А если бы этого пациента не оперировали, а просто сняли бы гипс недель через 6, да постепенно вернули к ходьбе с нагрузкой, полагаете, результат бы сильно отличался?
|
[
Ответить ]
|
Re: перелом пяточной кости
Отправитель: VlaD 08 Ноябрь 2010, 01:06
|
Абсолютно c вами согласен. Никаких медицинских показаний для оперативного вмешательства не было. За исключением того, что послеоперационная рентгенограмма долго висела на негатоскопе, радовала глаз оператора и поднимала настроение.
|
[
Ответить ]
|
Re: перелом пяточной кости
Отправитель: Виктор. 08 Ноябрь 2010, 06:24
|
Во время операции была восстановлена суставная поверхность пяточной кости, после чего появилась надежда на восстановление нормальной функции подтаранного сустава. Кроме того, заполнена аутотрансплантатом критическая полость тела пяточной кости, которая хорошо вида на КТ.
В чем был смысл демонстрации? Диссонанс данных Р-граммы и данными КТ, операции.
Уверен, что без операции функционально результат был бы хуже (внутрисуставной перелом со смещением отломков), рентгенологически - без пластины пяточная кость смотрелась бы симпатичнее.
Извините, что для своей демонстрации использую фрагменты фильмов АО.
Виктор.
1.pdf
161KB (165487 bytes)
|
[
Ответить ]
|
Re: перелом пяточной кости
Отправитель: Maxim Agalakov 10 Ноябрь 2010, 21:25
|
> Был суд. Пациент процесс выиграл.
- удивительно, показаний для операции не было
>Травма в Казахстане, здесь же и оперирован.
сожалею
|
[
Ответить ]
|
|
Re: перелом пяточной кости
Евгений 06 Ноябрь 2010, 19:56
|
http://www.megaupload.com/?d=XJEDL3PP
Никитин П.В.Диагностика и лечение повреждений костей стопы
глава посвящена переломам пяточной кости
|
[
Ответить ]
|
Re: перелом пяточной кости
Отправитель: Евгений 07 Ноябрь 2010, 00:08
|
Извините, предыдущая ссылка не работает, загрузил повторно
http://www.filefactory.com/file/b427549/n/_._._.doc
|
[
Ответить ]
|
|
Re: перелом пяточной кости
Maxim Agalakov 07 Ноябрь 2010, 12:11
|
В данном случае из-за вдавленного фрагмента задней фасетки, любые операции, кроме ORIF будт неэффективны, а углы можно восстанавливать можно чем угодно: от вытяжения, Essex-Lopresti до аппарата.
|
[
Ответить ]
|
Re: перелом пяточной кости
Антон Жаглин 10 Ноябрь 2010, 02:29
|
И чем вам не нравится ORIF?... Не нашел первоначальный снимок, но очень похож на представленный. Есть только после операции. Через 6 нед. встал и пошел без боли!
IMG_0221.JPG
151KB (155096 bytes)
|
[
Ответить ]
|
Re: перелом пяточной кости
Отправитель: VlaD 10 Ноябрь 2010, 04:17
|
Уважаемый коллега!
Точность репозиции суставной поверхности задней фасетки суставной поверхности пяточной кости на представленной вами рентгенограмме вызывает глубокие сомнения, так же как и конечный результат лечения в долгосрочной перспективе. По всей вероятности, у больного был перелом пяточной кости по классификации Sanders типа II A. Часть суставной поверхности задней фасетки, оставшаяся с sustentaculum пяточной кости (короткая линия на вложении, соответствующая субхондральному слоя репонированного фрагмента) находится на месте. А вот большая часть суставной поверхности так и осталась компримирована (длинная линия на вложении, соответствующая субхондральному слою компримированного фрагмента). При репозиции эти две линии должны совпадать. После репозиции, компримированный фрагмент следовало фиксировать к sustentaculum отдельным винтом (не всегда просто точно попасть). Пяточная пластина смещена к пяточному бугру, что не позволило фиксировать к ней самый проблемный участок пяточной кости – суставную поверхность. Не лишней здесь после репозиции была бы и костная пластика.
С уважением, VlaD.
calcaneus 3.jpg
33KB (34118 bytes)
|
[
Ответить ]
|
Re: перелом пяточной кости
Отправитель: Alexander Chelnokov 11 Ноябрь 2010, 18:50
|
V> пяточной кости – суставную поверхность. Не лишней здесь после
V> репозиции была бы и костная пластика.
Был как-то на лекции R.Sanders по переломам пятки, запомнилось, что он отдельным слайдом показал, что на 1200 с лишним остеосинтезов пятки ни разу не делал костной пластики.
|
[
Ответить ]
|
Re: перелом пяточной кости
Отправитель: Maxim Agalakov 11 Ноябрь 2010, 20:20
|
>Был как-то на лекции R.Sanders по переломам пятки, >запомнилось, что он отдельным слайдом показал, что >на 1200 с лишним остеосинтезов пятки ни разу не >делал костной пластики.
-а чем он замещал дефекты, или не замещал или их не было?
|
[
Ответить ]
|
Re: перелом пяточной кости
Отправитель: Djoldas Kuldjanov 12 Ноябрь 2010, 20:39
|
Среди специалистов, кто занимается переломами пяточной кости, имя Roy Sanders стоит отдельной главой. К нему, как к ведущему авторитету по данной паталогии, прислушиваются не только в США, но и во всем мире. Недавно он был приглашен к нам на наш традиционный Visiting Professorship Lectures и презентовал свою лекцию по лечению пяточной кости.
По поводу замещения костных дефектов - он был одним из первых, кто отрицал необходимость замещения костного дефекта при переломах пяточной кости. Он считает, что медиальная сторона пятки имеет достаточное количество кости и после восстановления подтаранного сустава с латеральной стороны, пластина удерживает от коллапса.
Многие, кто оперирует на пятке, пытались замещать дефект OsteoSet или другими синтетическими заменителями, но постепенно отказываются от замещения костных дефектов.
К вопросу "Надо ли делать операцию?", в 2002 году произвел фурор работа Richard Buckley из Канады в статье "Operative Compared with Nonoperative Treatment of Displaced Intra-Articular Calcaneal Fractures". Был представлен результат лечения 424 внутрисуставных переломов пяточной кости, со случайно выбранными оперативным и консервативным методами. Данные из 4 центров и проперированы различными хирургами. Анализ по SF-36 показал небольшую разницу (satisfaction) между оперированными и леченными консервативным методом.
"Conclusions: Without stratification of the groups, the functional results after nonoperative care of displaced intra-articular calcaneal fractures were equivalent to those after operative care. However, after unmasking the data by removal of the patients who were receiving Workers' Compensation, the outcomes were significantly better in some groups of surgically treated patients."
Но следующий докладчик Roy Sanders показал результат операции более 700 случаев, все были проперированны одним хирургом и с высоким % satisfaction.
|
[
Ответить ]
|
Re: перелом пяточной кости
Отправитель: Maxim Agalakov 12 Ноябрь 2010, 23:09
|
революционная вещь, не могли бы вы, если есть такая возможность переслать его полнотекстовые статьи или презентации или что-то в этом роде?
С уважением, Максим Агалаков, Е-бург.
|
[
Ответить ]
|
Re: перелом пяточной кости
Отправитель: Gleb Korobushkin 13 Ноябрь 2010, 01:08
|
Коллеги!
Несколько дополнений.
> К вопросу "Надо ли делать операцию?", в 2002 году произвела фурор работа
> Richard Buckley из Канады в статье "Operative Compared with Nonoperative
> Treatment of Displaced Intra-Articular Calcaneal Fractures". Был
> представлен результат лечения 424 внутрисуставных переломов пяточной
> кости, со случайно выбранными оперативным и консервативным методами.
> Данные из 4 центров и проперированы различными хирургами. Анализ по SF-36
> показал небольшую разницу (satisfaction) между оперированными и леченными
> консервативным методом.
В группе неоперативного лечения значительно больше пациентов, которым в последующем было выполнена операция артродез подтаранного сустава 37 и 7 пациентов (5,5 раз).
Которые были исключены из группы сравнения в обоих группах (page 1735) И не совсем понятно какие операции выполнялись, чем выполняли фиксацию
С ув Коробушкин Глеб
|
[
Ответить ]
|
|
Re: перелом пяточной кости
А.В.Владзимирский 11 Ноябрь 2010, 11:25
|
Добрый день!
Уважаемые коллеги, всем огромное спасибо за рекомендации, советы и, главное, доказательную базу в рекомендациях!
Пациент вторично представлен на разбор и уже прооперирован. Follow-up представлю в ближайшие дни.
Еще раз всем огромное спасибо!
|
[
Ответить ]
|
Re: перелом пяточной кости
А.В.Владзимирский 11 Ноябрь 2010, 18:45
|
Операция проведена на 14е сутки после травмы. Фиксация блокируемой пластиной. Трудности - сложность репозиции; необходимость костной пластики (уложен измельченный трансплантат из гребня подвздошной кости 4,5х1,5х1см); множество мелких отломков; большой фрагмент наружной кортикальной пластинки, закрывающий картину в суставе.
followup1.jpg
43KB (44924 bytes)
|
[
Ответить ]
|
Re: перелом пяточной кости
Отправитель: Maxim Agalakov 11 Ноябрь 2010, 20:17
|
По-моему, репозиция достигнута
|
[
Ответить ]
|
|
Re: перелом пяточной кости
Андрей Волна 13 Ноябрь 2010, 11:20
|
Уважаемые коллеги! Мне бы хотелось сказать несколько слов о хирургической сдержанности. И именно в разделе, где обсуждаются переломы пяточной кости. Это не перелом проксимального бедра у пожилого человека, в конце концов, где оперировать приходится всегда. И именно при переломах пятки развитие любого местного осложнения - даже банального краевого некроза, может привести к обнажению пластины и остеомиелиту со всеми, как говорится, вытекающими. Мне помнится, сколько было разочарований в середине 90х, когда мы реально у нас в стране начинали оперировать внутрисуставные переломы пяточной кости методом открытой репозиции и внутренней фиксации. Ошибки были связаны с отсутствием опыта, не персонального только, а, если позволите и коллективного так же. Просто не к кому было обратиться. И бОльшая часть неудач на этапе внедрения была связана с неправильным определением показаний и противопоказаний к тому или иному методу, отсутствием селекции пациентов, порочным таймированием, недооценкой факторов риска и так далее. И хочется надеяться, что новое поколение хирургов, приступающих к хирургии пятки в наши дни, сможет не повторять наших заблуждений, а значит, не испытывать и разочарования вследствие того, что не все надежды и хирургические ожидания сбываются. Да, за редким исключением (коих всего два - открытые переломы или утиный клюв со смещением - когда отломок давит изнутри на кожу и это неизбежно приведёт к некрозу, что-то подобное недавно обсуждалось здесь), внутрисуставные переломы пятки - это ситуации, когда нельзя делать погружную фиксацию в первые часы и дни после травмы, нужно подождать, вылечить мягкие ткани, и лишь потом, при появлении на коже морщин - оперировать. Так что есть время подумать. Посмотреть литературу. Сделать КТ или, если это невозможно, дополнительные проекции. Тот же Броден всегда доступен. Если нет большого опыта - не повредит, и я очень это рекомендую - рентгенография здоровой пятки. Сравнение и обдумывание увиденного - важный этап планирования. Здесь хочу быть правильно понятым - я не ретроград, я люблю оперировать внутрисуставные переломы, и переломы пяточной кости - мой *конёк*, одна из любимейших локализаций. Но, *семь раз отмерь - один отрежь* - это именно о пятке и, пожалуй, о пилоне.
Итак, внутрисуставные переломы пятки.
1. Можно ли прооперировать закрыто винтами или АВФ? Тогда, когда можно закрыто восстановить суставную поверхность - тогда же можно прооперировать аппаратом или винтами. А сделать это можно при языкоподобном типе перелом по Essex-Lopresti. То есть тогда, когда суставная поверхность задней фасетки остаётся связанной с пяточным бугром. И, манипулируя пяточным бугром, можно восстановить конгруэнтность сустава. Вот здесь пойдут и винты, и аппарат (на любителя). Всё остальное - от лукавого.
2. Следующий этап. Смещённый и импрегнированный фрагмент сустава не связан с пяточным бугром. То есть, анатомично восстановить сустав можно только открыто. Вот здесь и стоит задуматься. Что говорит литература? Ibrahim T., Rowsell M., Rennie W., Brown A. R., Taylor G. J., Gregg P. J. Displaced intra-articular calcaneal fractures: 15-year follow-up of a randomised controlled trial of conservative versus operative treatment. Injury, 2007:(38):848-55. Через 15 лет проведено изучение результатов лечения 26 пациентов, часть из них лечились консервативно, часть - хирургически. Оценка проводилась по шкалам AOFAS, FFI, данным о высоте пятки и угле Бёлера, частоте и выраженности остеоартроза. Авторский вывод: Результаты консервативного и хирургического лечения смещённых внутрисуставных переломов пятки одинаковы. Дальше. Buckley R, Tough S, McCormack R, Pate G, Leighton R, Petrie D, Galpin R. Operative compared with nonoperative treatment of displaced intra-articular calcaneal fractures: a prospective, randomized, controlled multicenter trial. J Bone Joint Surg Am, 2002:(84-A):1733-44. Через 2 года проведено изучение результатов лечения 471 перелома у 424 пациентов со смещёнными внутрисуставными переломами пятки. Оценка проводилась по специально разработанному опрос-листу, визуальной оценке стопы, удовлетворённости пациента лечением. Авторский вывод: Частичное ремоделирование сустава при консервативном лечении, подтверждённое КТ, возможно. Результаты консервативного и хирургического лечения одинаковы. Однако, в группе пациентов, не получавших денежной компенсации по больничному листу, восстановление после хирургического лечения проходило значительно быстрее, чем при консервативной терапии. Ещё. Brauer CA, Manns BJ, Ko M, Donaldson C, Buckley R. An economic evaluation of operative compared with nonoperative management of displaced intra-articular calcaneal fractures. J Bone Joint Surg Am, 2005:(87):2741-9. Оперативное лечение сокращает время от момента травмы до выхода на работу. Оперативное лечение сокращает частоту выполнения подтаранного артродеза в будущем (по данным Buckley R из пролеченных консервативно 1 из 6 пациентов в последующем нуждается в этой операции, из оперированных - 1 из 30). При исключении непрямых расходов хирургическое лечение существенно дороже. Авторский вывод: С учётом всех расходов, как прямых, так и непрямых, хирургическое лечение предпочтительнее. И ещё одно исследование, которое, с моей точки зрения, многое объясняет: Poeze M., Verbruggen J. P., Brink P. R. The relationship between the outcome of operatively treated calcaneal fractures and institutional fracture load. A systematic review of the literature. J Bone Joint Surg Am, 2008:(90):1013-21. Изучили результаты хирургического лечения 1656 внутрисуставных переломов пяточной кости (21исследование). Авторское заключение: частота возникновения подтаранного артроза и развития инфекции достоверно зависят от количества выполняемых на пяточной кости операций в клинике. И ещё одна цитата, с которой трудно не согласиться: "Literature for a trauma surgeon is like a streetlight for a drunkard. It's more to support than to illuminate". Roger Atkins, Bristol UK. То есть что-то типа того - Литература для травматолога словно фонарный столб для пьяницы. Больше поддерживает, чем указывает путь (освещает дорогу). Не вдаваясь в дальнейшую детализацию, суммирую, что у 45летнего и старше курящего пациента рабочей профессии с атеросклерозом и диабетом в случае раздробления сустава при наличии геморрагических фликтен и оперированного начинающим в хирургии пятки травматологом вероятность плохого хирургического результата заведомо выше, чем у 20летнего здорового студента. Вот и балансируем между этими крайностями в поисках оптимально решения для нашего конкретного пациента. И ещё раз важно помнить - консервативное лечение внутрисуставных смещённых переломов пятки возможно и, при наличии рисков у конкретного пациента может быть гораздо более эффективным, нежели хирургия!
3. Ну, вот решили лечить консервативно. Это как? - Возвышенное положение конечности (на уровне сердца или чуть выше), холод в раннем периоде и ранние движения. Гипсовая иммобилизация у пациентов до 45 нежелательна, а после 45 так и просто противопоказана. Только может быть типа гипсового ложа, кроватки в особо тяжёлых случаях. И всё равно - ранние движения. По купированию отёка - точечный контакт с полом при ходьбе, ЛФК продолжаем, переход к полной нагрузке определяется архитектоникой конкретного перелома.
4. Решили оперировать? Это отдельная тема, нюансов и деталей полно. Если позволите, только два момента, которые здесь уже обсуждались. Доступ - именно L - образный, не надо стремиться перенести собственно разрез выше к подтаранному суставу. Это чревато некрозом лоскута. В приложенном файле - анатомическая реконструкция, объясняющая причину.

О костной (или любой другой) пластике. Необходимость (или отсутствие таковой) пластики во многом обусловлено и тем, как хирург понимает перелом, и тем, какой имплантат используется. Если перелом фиксируется после открытой репозиции вдавленного фрагмента только спицами, как здесь предлагалось, или только винтами, или только простой реконструктивной пластиной то, очевидно, что пластика нужна. Так как пластический материал держит пространство, то есть фактически и удерживает достигнутую репозицию. Если мы используем современную блокированную пластину, которая вследствие хорошей якорности сама по себе держит пространство, пластика не нужна. Ну, может быть только в случаях совсем уже мелких фрагментов суставной, когда и винтами их нормально зафиксировать нельзя. Из личного опыта: 15 лет назад я любую реконструкцию суставной поверхности пятки сопровождал пластикой. Сейчас делаю это всё реже и реже:
С уважением, Андрей Волна
|
[
Ответить ]
|
( Ответить )
|
|