ВХОД ДЛЯ ПАЦИЕНТОВ
вверх
поиск
админ
главная
исходное
последующие
|
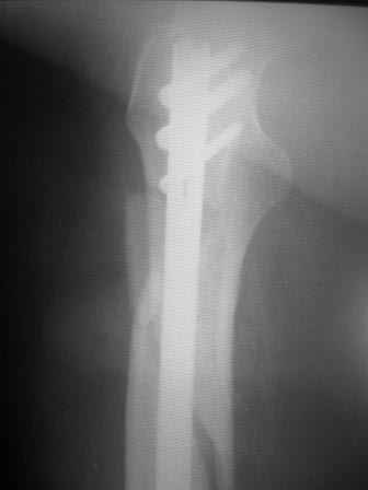
Re: проксимальный отдел бедра
послал Александр Кутков 06 Ноябрь 2010, 14:50
|

Уважаемый Максим, поддерживаю Вашу тактику на сто процентов. Более того скажу, что было в моей практике: установка блокированного бедренного стержня под местной анестезией (инфильтрационной), больная инвалид первой группы-анестезиологи отказались от больной. Выписана из отделения через 10-ть суток с объёмом движений до перелома (обслужи себя сам). Автору поста, чем меньше продержите до операции, тем лучше эфект от лечения (но без фанатизма).
Спасибо.
|
| Послать ответ |
Обратите внимание: Поля с жирными названиями обязательны.
Старайтесь отвечать в рамках обсуждаемой темы, а не начинать новые обсуждения.
Указывайте адекватную тему сообщения, чтобы было ясно, о чем оно.
Не послайте сообщений не по теме (оффтопик), раздраженных, грубых или обидных комментариев. Здесь это неуместно.
|