AOTRAUMA.ORG Центр Илизарова  

Ортопедия и травматология Общие вопросы/General questions Help Информационные технологии в медицине
 вверх
 отправить
 поиск
 админ
 главная


перелом бедра
Ортопедия и травматология Отправлено Роман Д. 17 Ноябрь 2010, 22:57
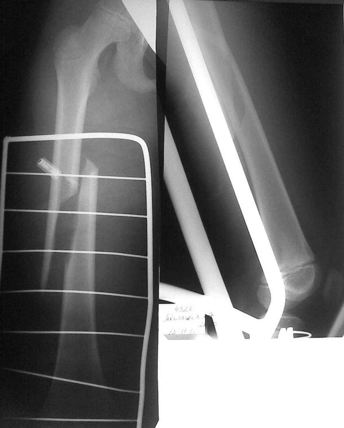
Уважаемые коллеги! В связи с малым опытом лечения переломов трубчатых костей у детей. хотелось бы узнать Ваше мнение о методах остеосинтеза данного пациента.
Ребенок 10 лет, травма спортивная. есть проблемы с "железом". думаем о интрамедулярном остеосинтезе + толстый кетгут.

<  |  >

 

  • Сообщения о Ортопедия и травматология
  • Также Роман Д.
  • Связаться с автором
  • Ответить

    Re: перелом бедра
    Шведовченко Игорь Владимирович 18 Ноябрь 2010, 01:22
    Уважаемый Роман. Ребенку 10 лет, бедренная кость имеет проксимальную и дистальную зоны роста, а также зоны роста апофизов! Не дай боже повредить их. В данном случае квалифицированно проводимое скелетное вытяжение, репозиция в течение суток, через 4 недели гарантированная консолидация и возможность дозированной нагрузки.

    [ Ответить ]

    Re: перелом бедра
    Андрей 18 Ноябрь 2010, 01:56
    1. вытяжение с грузом до 7. 5 кг 3 дня, затем контрольная рентгенография. при не устранении смещения по длине накостный остеосинтез пластиной (в данном случае я против серкляжей, как методов постоянной фиксации)
    [ Ответить ]

    Re: перелом бедра
    eidelman mark 18 Ноябрь 2010, 03:06
    Esli net TEN(titanium elastic nails), to luchshe vsego poderghat na traction, cherez 3 nedeli-budet early callus,pologhite spica.Ne nado open reduction, i tem bolee cetgut(!?)

    [ Ответить ]

    Re: перелом бедра
    Адонин 18 Ноябрь 2010, 06:15
    строго говоря, вариантов масса.
    Если есть проблемы с железом и не уверены, что делать, то лучшее лечение - скелетное вытяжение

    Если ОБЯЗАТЕЛЬНО нужно прооперировать, то наложите пластину или (идеальный вариант) простенький стержневой АВФ

    PS был бы это мой ребенок - я бы наложил аппарат, если нужно в школу ходить, или продержал бы на вытяжении, если такое случилось бы во время школьных каникул
    [ Ответить ]

    • Re: перелом бедра
      Отправитель: Цуканов Владимир Евгеньевич 18 Ноябрь 2010, 11:47
      Оптимальным у детей такого возраста является закрытый интромедулярный остеосинтез гибкими гвоздями. Либо гвозди Эндера либо ТЕН. При отсутствие ЭОП можно выполнить минимально открытый остеосинтез этимиже конструкциями. Репозиция на скелетном вытяжение с учетом винтообразного перелома и его локализации возможна но крайне сложна и усчетом интерозиции как правило не эфективна.

      [ Ответить ]
    Re: перелом бедра
    Sergi 18 Ноябрь 2010, 14:44
    "В связи с малым опытом лечения переломов трубчатых костей у детей. хотелось бы узнать Ваше мнение о методах остеосинтеза данного пациента"

    Может стоит передать больного более опытному травматологу, если опыта мало. Дабы избежать последствий, это всё же ребенок.
    Закрытый чрескостный остеосинтез, и вопрсов не будет)
    [ Ответить ]

    Re: перелом бедра
    А. Шахин 18 Ноябрь 2010, 18:09
    Оставьте ребенка вытяжении и будет Вам счастие!
    [ Ответить ]

    Re: перелом бедра
    Алексей 18 Ноябрь 2010, 22:50
    Роман идеально при данном переломе подойдёт закрытый интрамедулярный остеосинтез TEN (или PIN ). Если проблемы с железом и оборудованием как вариант выбора открытый остеосинтез стержнем ЦИТО или Богданова. Вытяжением можно , но очень длительно..., а серкляж нельзя!!!
    [ Ответить ]

    Re: перелом бедра
    Шведовченко Игорь Владимирович 21 Ноябрь 2010, 01:34
    Уважаемый Роман. Расскажите все таки, что вы сделали с этим больным?
    [ Ответить ]

    Re: перелом бедра
    Роман Д. 21 Ноябрь 2010, 16:16
    Огромное спасибо коллеги за уделенное время. Судя по Вашим ответам, как впрочем и по данным различной литературы, единого мнения нет в тактике лечения и в выборе метода остеосинтеза данного типа переломов у детей. Ребенок был направлен в детскую окружную больницу, уверен проблем не будет.
    С ув. Роман Д.
    [ Ответить ]


    ( Ответить )

    Powered by Zope  Squishdot Powered MedLink
    Посетитель: 0171335
      "По форме правильно, а по существу - издевательство" В.И.Ленин
    ©2001-2019Orthoforum Coordinator.
    [ Главная | Отправить сообщение | Поиск | Админ ]