AOTRAUMA.ORG Центр Илизарова  

Ортопедия и травматология Общие вопросы/General questions Help Информационные технологии в медицине
 ВХОД ДЛЯ ПАЦИЕНТОВ
 вверх
 поиск
 админ
 главная
 исходное


Re: Причина раскручивания?
послал Djoldas Kuldjanov 04 Декабрь 2010, 11:21
Раскручивание импланта было очень частым явлением у трехлопастного гвоздя Smith Petersen и диафизарной накладки. Его применяли раньше для лечения чрезвертельных переломов, и часто раскручивалась левосторонная гайка между гвоздем и пластиной. Обьясняли это трением фасции над имплантом, и, возможно, здесь тоже подобное явление за счет близости сухожилия или фасции?

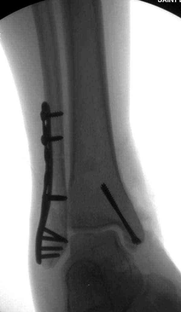
Описанная вами техника "Внутренняя лодыжка фиксирована по Веберу, наружная реконструктивной пластиной с наложением болта-стяжки" существует, но этот подход морально устарел, и применяется очень редко, только при отсутствии имплантов.

Реконструкционные пластины на лодыжке очень грубые, и из-за тонкого слоя кожи над дистальным концом малоберцовой могут осложниться пролежнями кожи изнутри.

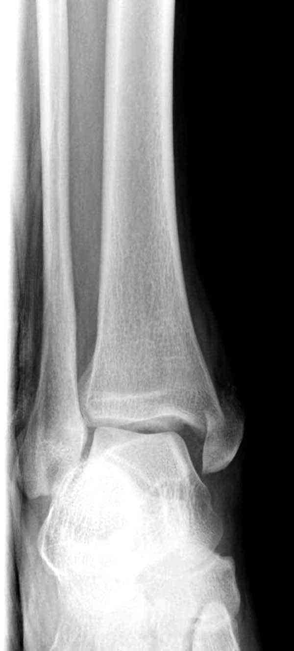
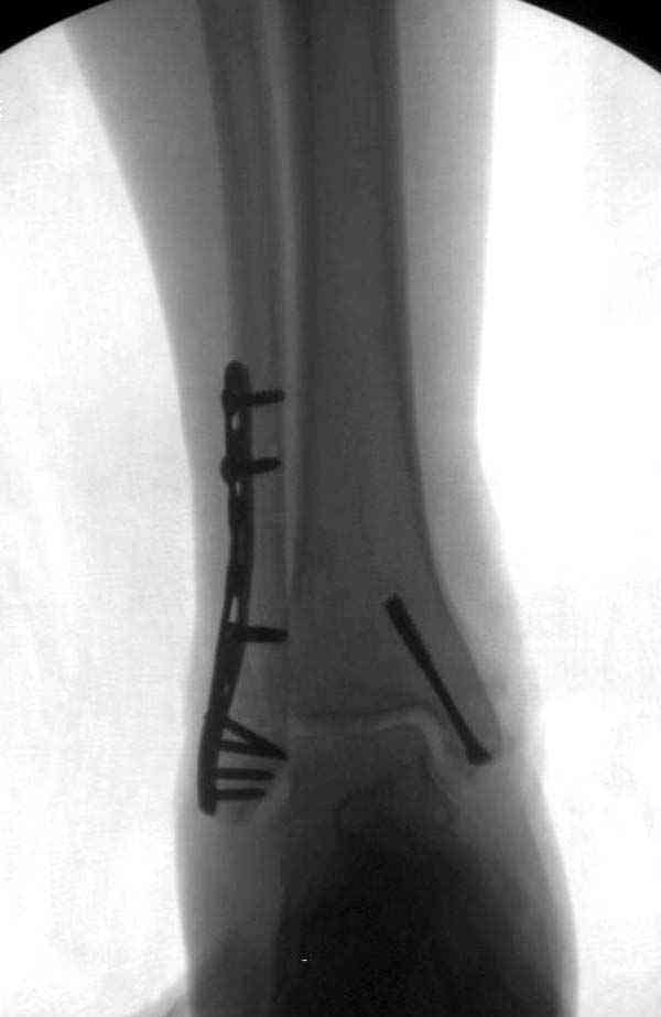
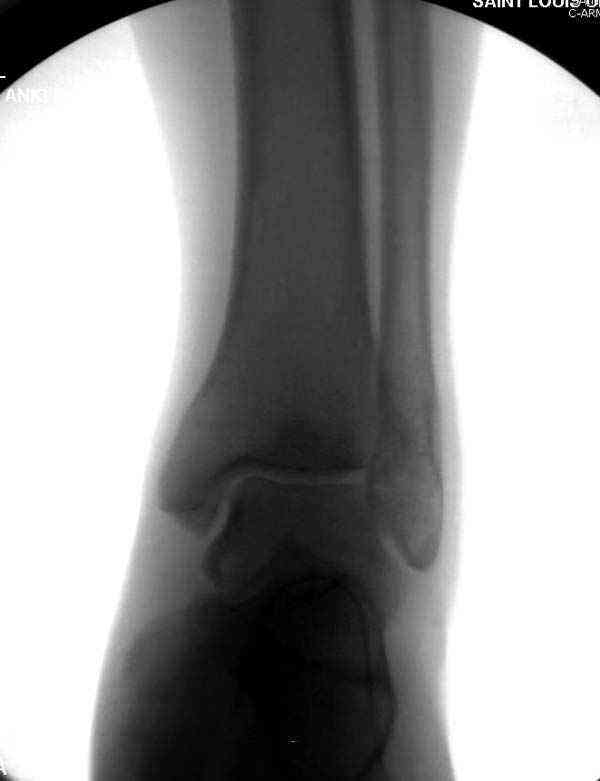
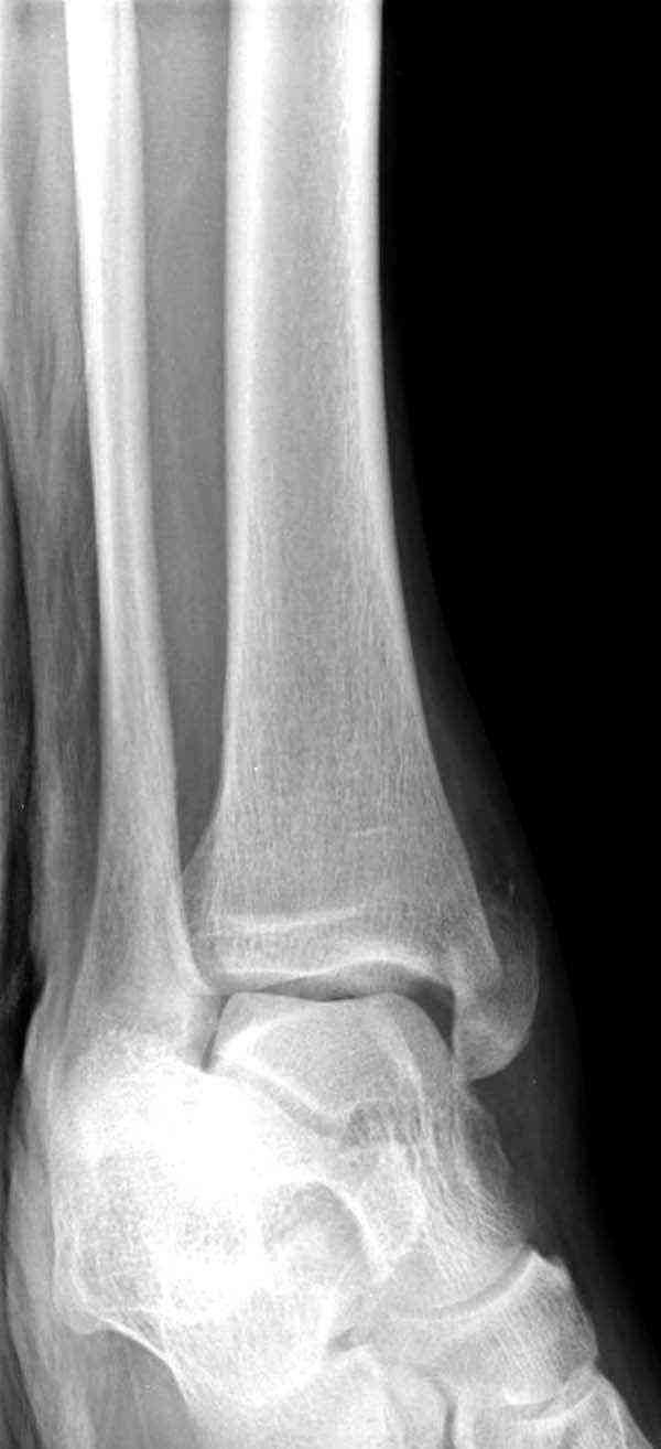
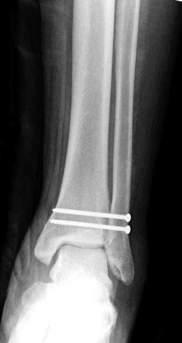
Нет первичных снимков, перелом очень низкий и под большим сомнением диагноз разрыва синдесмоза. Медиальная сторона отрепонирована на "хорошо" и, по-видимому, прорезание проволоки произошло во время операции. Без снимков трудно судить о высоте малоберцовой, а лодыжка находится в варусе. Лагирование получилось, но возле тонких шурупов передне-задний шуруп выглядит немного тяжеловато.


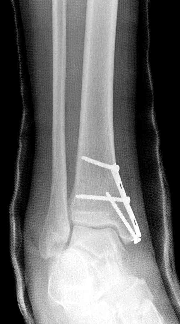
Во всех руководствах АО имеется описание техники применения низкопрофильных пластин 1/3 трубки, которые могут быть применены для фиксации наружной лодыжки. Фиксацию проводят кортикальными 3.5 мм шурупами, и если дистальная фиксация недостаточная, тогда усиливают конструкцию созданием hook plate. Сгибая конец пластины на последнем отверстии, внедряют его в дистальный отдел, и тем самым создается дополнительная фиксация.


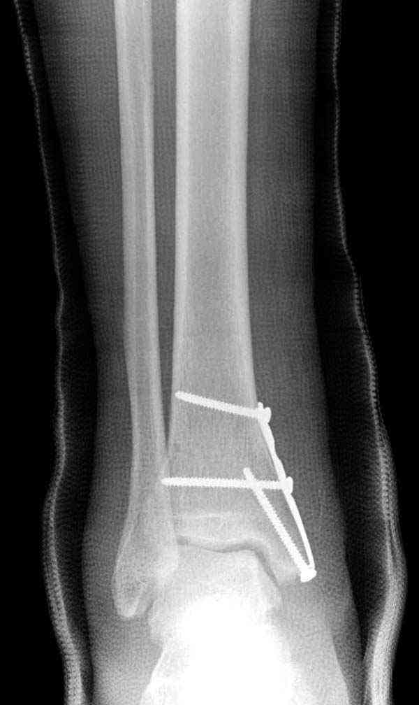
Современные преконтурированные пластины не имеют таких недостатков, и разделяются на правые и левые, а также на латеральные и задние. Множественные дистальные шурупы 2.7 мм уменьшают подкожное раздражение, и такой имплант можно оставить на долгий срок без удаления.


Для молодых достаточным бывает обычная лодыжечная пластина без блокировки, и только у пожилых с остеопорозом лучше взять полиаксиальные пластины с угловой стабильностью.

Медиальная лодыжка фиксируется каннюлированными лодыжечными шурупами перкутанно, а неточная репозиция (интерпозиция) является показанием к открытой технике. При больших вертикальных фрагментах нужны противоскользящие медиальные пластины.


Коллеги правы, что при рутинных переломах достаточным бывает обычные снимки с мортизом. А стрессовые рентгенограммы могут уточнить, есть ли разрыв синдесмоза.
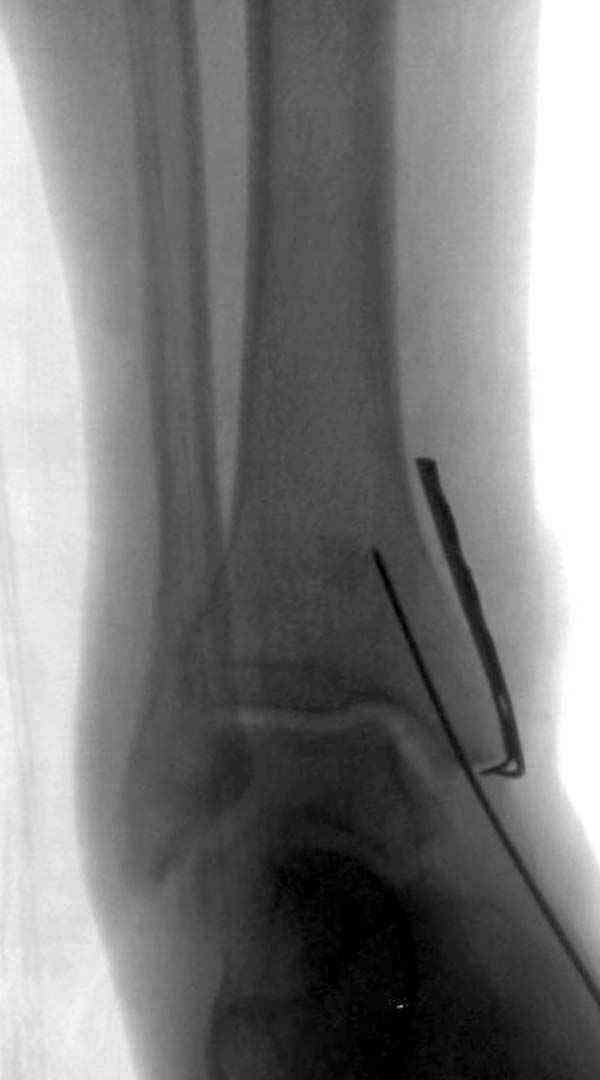
В лечении синдесмоза шурурпы легче установить, и, тем более, они намного дешевле, чем болт-стяжка. От болтов еще и часты осложнения - медиальные пролежни.

При лечении синдесмоза количество шурупов не имеет значения. Два через три кортекса или один через все кортикальные слои механически одинаковы.

Для удобства удаления сломанных шурупов с медиальной стороны можно оставить на несколько мм длиннее. Подкожно оставленные шурупы у худых вызывают неудобства, особенно у женщин при выбривании волос с нижней конечности.

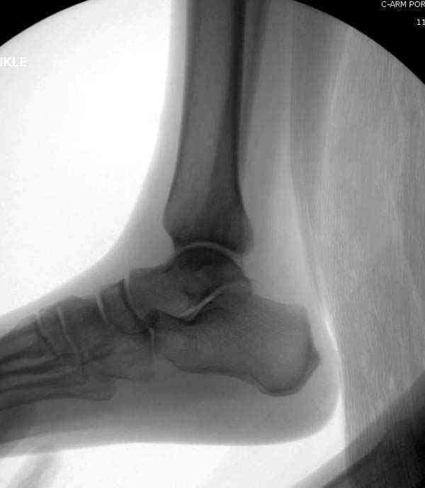
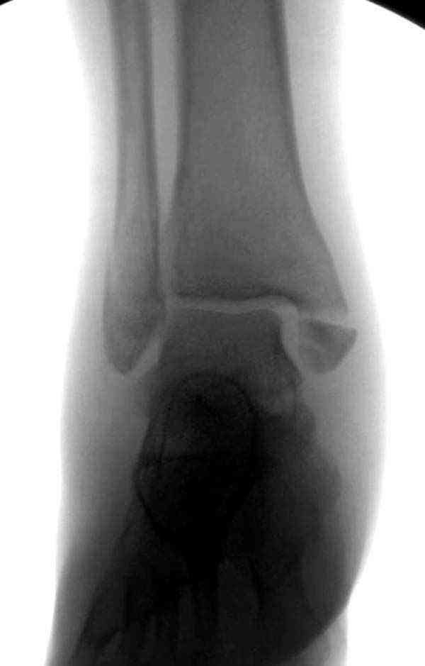
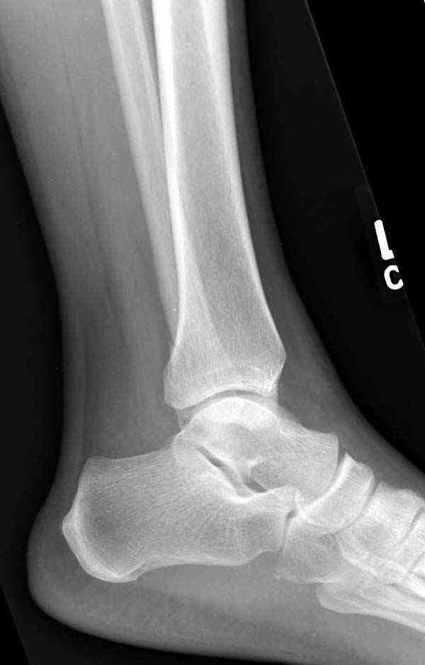
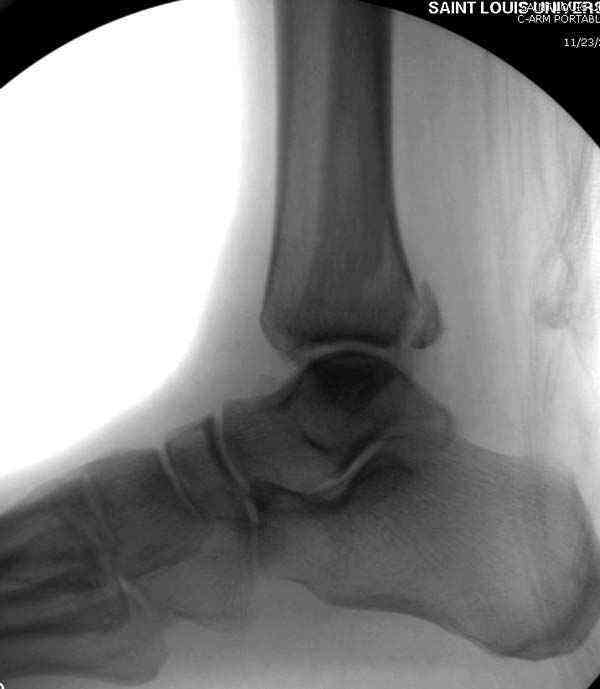
Здесь несколько частных случаев: перелом голеностопа со сравнительными снимками и разрыв синдесмоза, а также медиальная Hook пластина.












































































--
Djoldas Kuldjanov, M.D.
Associate Professor
Department of Orthopedic Surgery
St. Louis University



Послать ответ

Имя
Email
Уведомление Сообщить мне по e-mail об ответах на это сообщение
Название
Комментарий
(Проверьте URL! Не забудьте написать http://!)
Кодировка
Если не знаете, что выбрать, выберите "Просто текст"!
Приложение
Можно приложить к сообщению файл c изображением, который затем будет доступен увидевшим сообщение.
Подготовка иллюстраций:
  • Рентгенограммы: черно-белые полутоновые изображения в формате JPEG (8 bit, greyscale) с разрешением от 300х200 до 1024х768 пикселов;
  • Клинические фотографии: полноцветные изображения в формате JPEG (24 bit, truecolor) с разрешением от 300х200 до 1024х768 пикселов;
  • Схемы и рисунки: черно-белые (2 bit) штриховые (line-art) изображения в формате GIF или compressed TIFF
  • Подберите степень сжатия файла JPEG и размер изображения таким образом, чтобы необходимые детали были различимы, но размер файла не превышал 75 кб.
  • Учтите, что текущая версия программного обеспечения Форума позволяет приложить к одному сообщению лишь один файл-вложение. Поэтому, если необходимо отправить несколько изображений, можно либо послать каждое как отдельное сообщение, либо в графическом редакторе объединить изображения в одно (сделать коллаж).
  • Если при подготовке изображений встречаются трудности, не стесняйтесь обратиться к координатору Форума.

  • Введите видимые символы в обратном порядке. Enter the above characters in reverse order (*Обязательно)
    В тексте сообщения можно использовать теги HTML <B> <I> <P> <A> <LI> <OL> <UL> <EM> <BR> <TT> <HR> <STRONG> <BLOCKQUOTE> <DIV .*> <DIV> <P .*>
  • Обратите внимание: Поля с жирными названиями обязательны.
  • Старайтесь отвечать в рамках обсуждаемой темы, а не начинать новые обсуждения.
  • Указывайте адекватную тему сообщения, чтобы было ясно, о чем оно.
  • Не послайте сообщений не по теме (оффтопик), раздраженных, грубых или обидных комментариев. Здесь это неуместно.
  • Powered by Zope  Squishdot Powered MedLink
    Посетитель: 0222455
      "По форме правильно, а по существу - издевательство" В.И.Ленин
    ©2001-2019Orthoforum Coordinator.
    [ Главная | Отправить сообщение | Поиск | Админ ]