вверх
отправить
поиск
админ
главная
Предыдущее
|
Re: Диспластический коксоартроз
Djoldas Kuldjanov 17 Декабрь 2010, 01:33
|
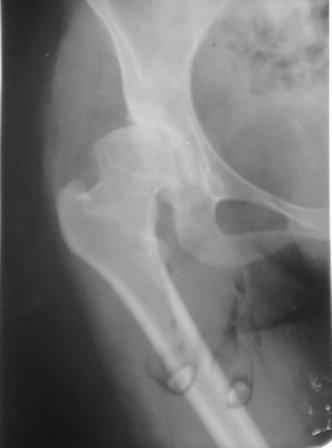
Типичная концовка проигнорированного диспластического состояния сустава. Дисплазия тазобедренного сустава часто встречающаяся патология у жителей Центральной Азии вследствие тугого пеленания в детстве. Традиционно ребенок находится в течение дня в так называемой кроватке "бешик", удобной в быту, но она впоследствии приводит к недоразвитию тазобедренного сустава.
У женщин болезнь клинически проявляется после беременности болями в суставе. Но во время беременности из-за невозможности рентген обследования проблема игнорируется, и упускается время. После беременности симптомы исчезают, и проявляются во время следующей беременности или после увеличения веса.
К сожалению игнорирование патологического состояния происходит не только на уровне общих врачей, а также нашими коллегами ортопедами, которые не признают опасности разрушения сустава. Если признают диспластическое состояние, то операцию, особенно ПАО, считают чем-то экспериментальным.
Рекомендации по поводу "вялотекущего артрозо-артрита тазобедренного сустава" и следующих обследовании КТ и МРТ это больше чем демонстрация отсутствия знания в данной патологии.
Это первые признаки начала деструкции сустава, и возможно, аналгетики помогут для купирования болей, но в течение очень короткого времени от сустава ничего не останется, и в дальнейшем останется только артропластика.
Коллеги правильно подсказывают, что варизация ухудшит биомеханику сустава.
При более сохранном суставе от дальнейшего разрушения можно было бы сохранить только периориентацией нагрузки на сустав - Периацетабулярной Остеотомией .

Данный сустав в начальной стадии разрушения, но все-таки я бы сделал обзорный таз и отдельные снимки сустава в 30 градусной абдукции и аддукции. Также снимки с внутренней и наружной ротацией для оценки состояния головки бедра.
После участия в последней конференции "Вреденовские Чтения" в Ст. Петербурге, по представленным докладам, я убедился, что в территории СНГ очень мало специалистов энтузиастов, кто серьезно занимается патологией дисплазии. В большинстве те, кто занимается данной патологией, делают давно забытую тройную остеотомию таза, и доложенные результаты находятся далеко от идеала...
Только коллеги из Вреденовского Института начали работу по тематике сохранения тазобедренного сустава, остеотомия как альтернатива замене сустава. Надеюсь, что скоро в России многие последуют примеру Ст. Петербурга, и тогда уменьшатся цифры по протезированию у молодых.
В наших краях сохранная операция на тазобедренном суставе является высшим пилотажем, и оплата соответственно за ПАО намного выше, чем за артропластику.
--
Djoldas Kuldjanov, M.D.
Associate Professor
Department of Orthopedic Surgery
St. Louis University
|
|
|
|
|