ВХОД ДЛЯ ПАЦИЕНТОВ
вверх
поиск
админ
главная
исходное
последующие
|
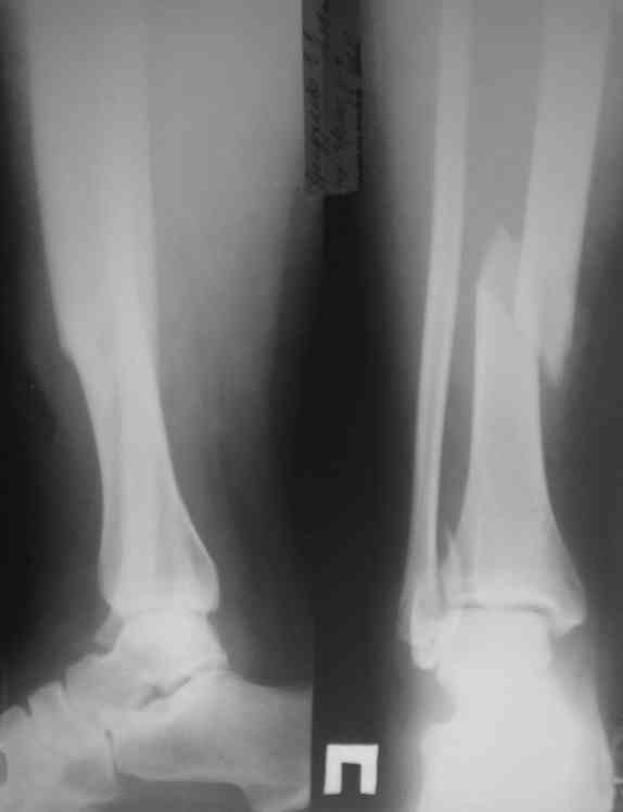
Re: Необходим ли МОС обеих костей голени?
послал Юрий 18 Январь 2011, 21:21
|
Уважаемый Андрей.

Представляю рентгенограмму перелома обеих костей голени, где определяется разрыв дистального межберцового синдесмоза.
С уважением, Юрий
|
| Послать ответ |
Обратите внимание: Поля с жирными названиями обязательны.
Старайтесь отвечать в рамках обсуждаемой темы, а не начинать новые обсуждения.
Указывайте адекватную тему сообщения, чтобы было ясно, о чем оно.
Не послайте сообщений не по теме (оффтопик), раздраженных, грубых или обидных комментариев. Здесь это неуместно.
|