ВХОД ДЛЯ ПАЦИЕНТОВ
вверх
поиск
админ
главная
исходное
|
Re: Необходим ли МОС обеих костей голени?
послал Djoldas Kuldjanov 13 Январь 2011, 01:18
|
Разбор тактики лечения низких переломов костей голени становится популярной темой. Споры не только по тактике "по данным некоторых зарубежных авторов, при переломе обеих костей голени на одном уровне рекомендуется фиксация обеих", а также по импланту (гвоздь или пластина) и по локализациям имплантов "укладывать на заднюю поверхность при низких переломах"
Во всех описанных случаях единственное, что объединяет, это локализация перелома, а так это различные по механизму травмы. Различные импланты, и хирургическая техника отличается друг от друга. Разные по возрасту и по активности больные. Поэтому из-за невозможности создать единый алгоритм "до сих пор идет дискуссия".
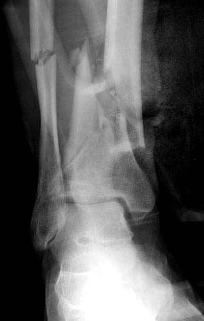
Возвращаясь к разбору "БИОС у пожилого пациента", тогда многие из наших коллег проголосовали за то, чтобы оставить на одном интрамедуллярном гвозде. На рентгене плохое качество кости (остеопороз), костные фрагменты в середине канала, и на малоберцовой имеются фрагменты по линии перелома. В таких случаях гвоздь идеальный фиксатор, потому что создается равномерная компрессия на обе кости. А латеральная фиксация на малоберцовой, как распорка, повела бы в варус.
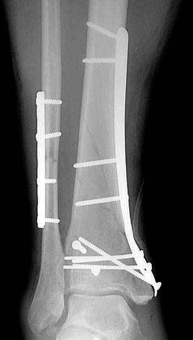
Данная фиксация пластинами сделана классическим АО методом описанным еще в 1989 году в книге J. Mast и R. Ganz “Planning and Reduction Technique in Fracture Surgery”. В то время antiglade method DCP пластиной в 4.5 мм c повторением натурального изгиба голени в н/3 считался одним из оригинальных. Повторение оригинальной концепции и фиксация спонгиозными шурупами в дистальном отделе доказывает, что коллеги хорошо освоили метод АО. Но для уменьшения раздражения пластиной изнутри в нижнем отделе, авторы применяли технику погружения пластины в кортекс. Профилактические меры не всегда помогали, и в неумелых руках "передне-медиальный АО доступ" часто осложнялся кожными осложнениями.
В то время метод Илизарова был на пике славы, и многие, как альтернативу пластинам, при внутри- и околосуставных переломах стали применять аппараты. Закрытая репозиция и возможности манипуляции мульти-направленными спицами в коротком отломке создавали преимущества перед другими методами.
Приход анатомических преконтурированных тонких пластин с угловой стабильностью изменил методику лечения низких переломов. Современные пластины устанавливаются из минидоступов и разделяются на правые и левые. Можно установить латерально, медиально или спереди в полиаксиальных направлениях.
Без современных материалов создать хорошую фиксацию становится трудной задачей, и этот случай характерен тем, что достигнутую идеальную репозицию испортили старомодной техникой. Исследования показали, что спонгиозные шурупы в метафизарных частях не создают механические преимущества как считали раньше. Кортикальные винты менее агрессивны и не оставляют дефекта кости после их удаления.
Низкопрофильные преконтурированные пластины с угловой стабильностью создают меньше проблем с медиальным покрытием, а толстая пластина становится раздражителем после спадения отека.
Выбор метода фиксации зависит от того, что имеется под рукой, хотя, например, для Челнокова и для других коллег, без сомнения, был бы интрамедуллярный гвоздь. А другие коллеги предпочли бы аппаратное лечение, как говорят Курганские коллеги, дешево и без риска.
Насчет установки пластин сзади "когда начал у себя делать в середине 90х, в отделении стоял свист и визг" не стал бы пропагандировать при изолированных переломах. Задние пластины надо укладывать при переломах пилона, когда топография перелома позволяет установку пластины только сзади, а так - низкие изолированные переломы можно лечить обычным методом.
Без клинических снимков трудно уяснить характер повреждения мягких тканей во время операции, а так, получилась хорошая репозиция. Если удалось без осложнения вылечить больного, тогда поздравляю с успехом. Перед выбором метода и при наличии менее рискованных методов надо еще раз подумать о возможном риске осложнения.

Здесь представлены несколько примеров снимков с осложнением, медиальная пластина, медиальная в комбинации с латеральной, метод Илизарова, а также сравнительные данные толщины медиальных пластин Synthes 4.4 mm, DePuy 3.2 mm.
Djoldas Kuldjanov, M.D.
Associate Professor
Department of Orthopedic Surgery
St. Louis University
|
| Послать ответ |
Обратите внимание: Поля с жирными названиями обязательны.
Старайтесь отвечать в рамках обсуждаемой темы, а не начинать новые обсуждения.
Указывайте адекватную тему сообщения, чтобы было ясно, о чем оно.
Не послайте сообщений не по теме (оффтопик), раздраженных, грубых или обидных комментариев. Здесь это неуместно.
|