ВХОД ДЛЯ ПАЦИЕНТОВ
вверх
поиск
админ
главная
исходное
|
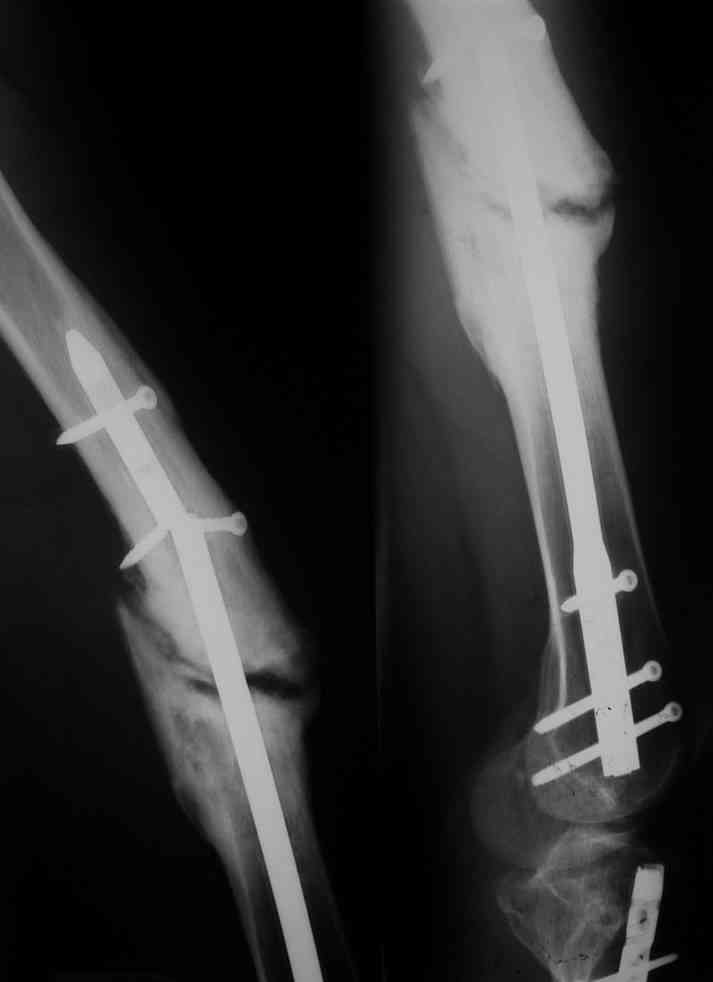
Re: Несостоятельность импланта
послал Бережной Сергей 10 Январь 2011, 19:07
|

Одной рентгенограммы недостаточно, чтобы планировать подобную операцию. Вот похожий случай, который пришлось оперировать 3 мес. назад. Тоже короткий гвоздь. Шляпки винтов проксимального фрагмента полностью погружены в костную ткань, чего уже достаточно для необходимости обнажения этой зоны. У этого же больного оказались полностью разрушены шлицы 2-х дистальных винтов, так что и там нужно было "открываться".
|
Послать ответ |
Обратите внимание: Поля с жирными названиями обязательны.
Старайтесь отвечать в рамках обсуждаемой темы, а не начинать новые обсуждения.
Указывайте адекватную тему сообщения, чтобы было ясно, о чем оно.
Не послайте сообщений не по теме (оффтопик), раздраженных, грубых или обидных комментариев. Здесь это неуместно.
|