вверх
отправить
поиск
админ
главная
|
Переломовывих головки локтевой кости |
 |
 |
 |
Отправлено Евгений 11 Январь 2011, 00:12
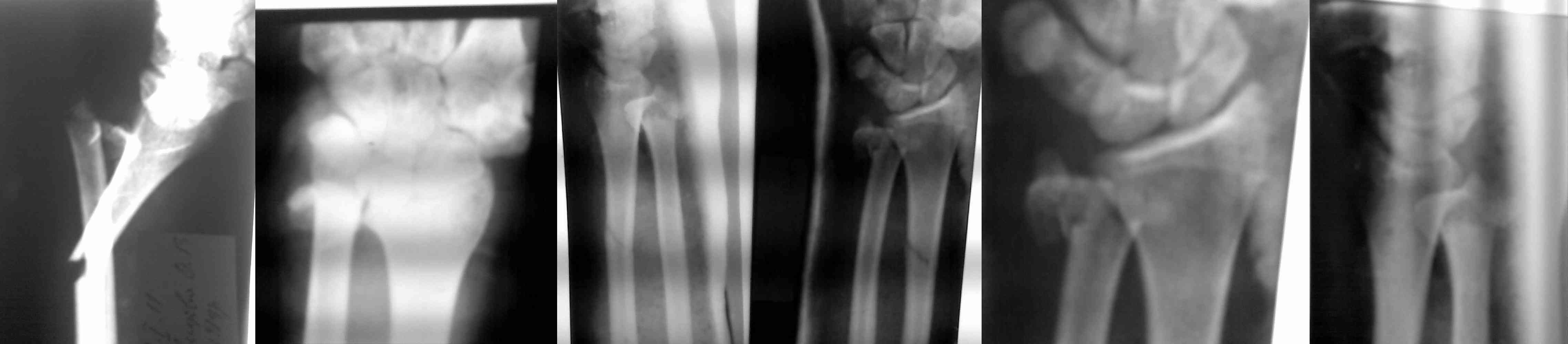
Здравствуйте, уважаемые коллеги. Обратилась женщина 21 год, офисный работник с диагнозом закрытый перелом н/3 правой лучевой кости со смещением, закрытый многооскольчатый переломо-вывих головки правой локтевой кости со смещением. Травма 8 января, упала на правую руку. В ургентном порядке выполнена закрытая репозиция, гипсовая иммобилизация. Неврологической симптоматики нет. Соотношение фрагментов лучевой кости удовлетворительное, но перелом шейки и головки лучевой кости не репонирован, смещение по ширине, укорочение, подвывих головки. На рентгенограммах первые 2 снимка в момент травмы, последующие после репозиции Уважаемые коллеги, поделитесь опытом лечения подобных переломов, есть ли показания к оперативному лечению? Наш план такой: 1. Открытая репозиция (если будет необходимость) лучевой кости МОС пластиной 2. Открытая репозиция фрагментов головки локтевой кости, с восстановлением длины и устранением подвывиха, МОС пластиной или спицами
<
|
>
|
|
Ответить
|
Re: Переломовывих головки локтевой кости
Евгений 11 Январь 2011, 11:31
|
Good afternoon, colleagues. Patient 21 yers female with distal radius shaft fracture, distal ulna metaphysis fracture-dislocation of right hand. 2 days after trauma. During first hours close reduction and plaster fixation was made, ulna metaphysis reduction is insufficient, and we need your advice about treatment.
In our opinion, we decide to make ORIF DCP plate of radius and OR of ulna metaphysis and internal fixation by plate or K-wires.
Tell us, please, your tactics in such cases
|
[
Ответить ]
|
Re: Переломовывих головки локтевой кости
Евгений 11 Январь 2011, 21:17
|
Был у меня похожий случай, девушка неудачно покаталась на снегоходе. Луч зафиксировал пластиной, головку локтевой собрал и зафиксировал спицами, в том числе к лучу, иначе не держалось, оставил спицы чрескожно, чтобы потом можно было быстро и просто амбулаторно убрать. Всё благополучно срослось, недавно удалил пластину.
|
[
Ответить ]
|
Re: Переломовывих головки локтевой кости
Дмитрий Бондарь 13 Январь 2011, 00:48
|
Приветствую, коллеги! Вот что сказано у Шацкера и Тайля в их "The Rationale of Operative Fracture Care"
Fractures of the Radius with Distal Radioulnar
Subluxation (Galeazzi)
Displaced fractures of the radius associated with some disruption of the distal radioulnar joint should be treated by open anatomical reduction and stable fixation. This will restore the length of the radius, which in turn ensures the accurate reduction of the distal radioulnar joint, provided proper rotation has been restored. In most cases, no specific treatment is required for this distal injury. If a fracture has occurred through the distal ulna, either through its styloid or distal portion, open reduction and screw fixation in that area will serve to stabilize the distal injury. In most cases, however, the injury occurs through soft tissue, and if the anatomy of the radius is restored by proper open reduction and stable internal fixation, the soft tissues of the distal radioulnar joint will usually heal without major functional impairment. It is essential that the distal ulna is in anatomical position at the end of the fixation
procedure for the radius, as it can remain dislocated. If it is irreducible and the surgeon is certain that the radius is anatomical, then the distal radial-ulna joint must be operated upon, as the likely cause is soft tissue interposition (tendon or capsule) (Fig. 9.23).
The approach, techniques, and implants are as previouslydescribed for radial fractures. Primary wound closure for a solitary radial
fracture is usually easy to accomplish, and open
wound care is rarely required, except for an open
fracture. If stability has been achieved in the radius, the postoperative
program consists of a large bulky dressing
on the forearm with elevation for the first 48 h and immediate encouragement of elbow, wrist, and hand motion. Patients may be moderately uncomfortable with a wrist injury, but we have not found the use of postoperative splinting to be necessary in most cases.
However, if the distal radioulnar joint is unstable following fixation of the radial fracture, the forearm should be immobilized in supination for 6 weeks." Доступ ладонный, Генри.
Успехов.
С уважением Д.Б.
|
[
Ответить ]
|
( Ответить )
|
|