ВХОД ДЛЯ ПАЦИЕНТОВ
вверх
поиск
админ
главная
|
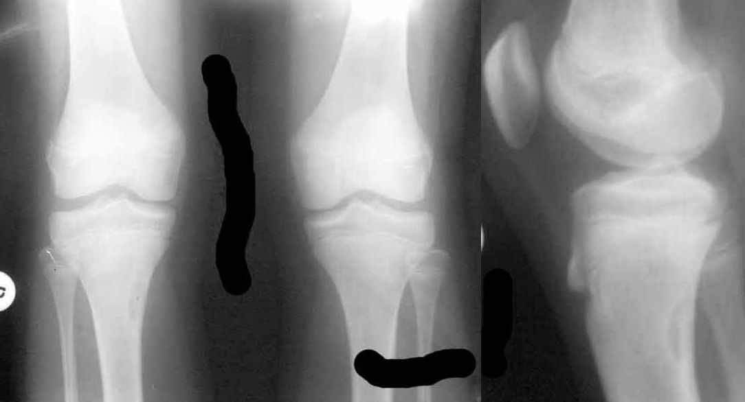
очаг фиброза в правой большеберцовой кости |
 |
 |
 |
Прислано Gleb Korobushkin 01 Февраль 2011, 01:50
из
Коллеги, обратились педиатры с вопросом:
"Девочке сейчас 12.5 лет. Летом этого года стартовал пубертат, начала вытягиваться.
В течение лета были активные физические нагрузки, в августе - длительные пешие походы в горах. С сентября стали появляться боли в коленных суставах, связанные с подъемом по лестнице и при приседании. Боли непостоянные, то в одной, то в другой ноге, иногда одновременно в обоих коленях. В покое и при обычной ходьбе боли не отмечаются.
18.01.2011 сделали снимки коленных суставов - выявлен очаг фиброза в правой большеберцовой кости?"
Что это?
С ув КГ
Обратите внимание: Поля с жирными названиями обязательны.
Старайтесь отвечать в рамках обсуждаемой темы, а не начинать новые обсуждения.
Указывайте адекватную тему сообщения, чтобы было ясно, о чем оно.
Не послайте сообщений не по теме (оффтопик), раздраженных, грубых или обидных комментариев. Здесь это неуместно.
|