AOTRAUMA.ORG Центр Илизарова  

Ортопедия и травматология Общие вопросы/General questions Help Информационные технологии в медицине
 вверх
 отправить
 поиск
 админ
 главная


Лучевая косорукость
Ортопедия и травматология Отправлено Васюков Вячеслав 10 Февраль 2011, 22:37 Краевая детская клиническая больница
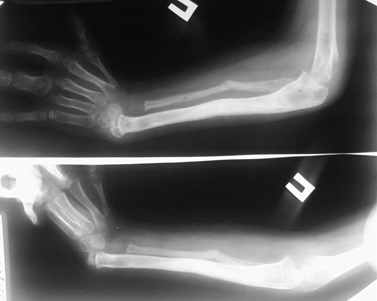
Ребёнок Д.9 лет, клинический диагноз врожденная правосторонняя лучевая косорукость первой степени.
В мае 2009 года проведено удлинение обеих костей правого предплечья в аппарате Илизарова на 4 см, в процессе дистракции был разрыв регенерата, произведена компрессия в аппарате структура кости восстановлена. Сохраняется порочное положение кисти
В настоящее время наложен аппарат внешней фиксации на правую локтевую кость и третью пястную кость, с целью устранения порочного положения правого кистевого сустава.Уважаемые коллеги, помогите определиться с дальнейшей тактикой лечения данного ребенка.С уважением коллектив ТОО КДКБ г. Ставрополя.

<  |  >

 

  • Сообщения о Ортопедия и травматология
  • Также Васюков Вячеслав
  • Связаться с автором
  • Ответить

    Re: Лучевая косорукость
    Шведовченко Игорь Владимирович 12 Февраль 2011, 12:03
    Уважаемый господин Васюков. Возможны несколько вариантов действий, которые определяются возможностями клиники.
    1. Выведение кисти в положение гиперкоррекции до получения рентгенологически подтвержденного диастаза между костями запястья и предплечья и последующая центрация кисти на локтевую кость. Плюсы-несложно в техническом выполнении. Минусы-потеря ротационных движений (правда в этом случае они обычно и так минимальны), при неаккуратных манипуляциях повреждение зоны роста локтевой кости со всеми вытекающими отсюда последствиями.
    2. Изолированное удлинение лучевой кости. Плюсы-не так сложно в техническом исполнении. Минусы-эту процедуру придется повторять несколько раз до окончания периода роста; гипопластичная лучевая кость обладает пониженными возможностями образования регенерата (что уже отмечено вами при первичной операции).
    3. Микрохирургическая аутотрансплантация костного аутотрансплантата с зоной роста либо на торец дистального конца лучевой кости, либо в область дистального метафиза, в качестве трансплантата нами используется 2 плюсневая кость, идентичная технология пропагандируется Simo Vilkki. Плюсы-при удачном исходе формируется вилка лучезапястного сустава, если и потребуется удлинение в процессе роста, то лишь однократно. Минусы-необходимо соответствующее техническое оснащение клиники и опыт микрохирургических аутотрансплантаций.
    [ Ответить ]

    • Re: Лучевая косорукость
      Отправитель: Васюков В.А. 15 Февраль 2011, 21:41
      Уважаемый , Игорь Владимирович! Большое спасибо за совет. Очень логично и убедительно.Этого ребёнка мы отправим к вам.Мой доктор с вами созванивалась.

      [ Ответить ]

     

    ( Ответить )

    Powered by Zope  Squishdot Powered MedLink
    Посетитель: 0163439
      "По форме правильно, а по существу - издевательство" В.И.Ленин
    ©2001-2019Orthoforum Coordinator.
    [ Главная | Отправить сообщение | Поиск | Админ ]