Ответить
|
Re: Остеомиелит и дефект голени
Максим Королев 15 Февраль 2011, 16:14
|
-Локально на снимке явного гнойного выделения нет, незначительное сукровичное, не болит, нога неопорная.
Хотелось бы поподробнее узнать локальный статус.
|
[
Ответить ]
|
Re: Остеомиелит и дефект голени
Отправитель: Абдурашид 15 Февраль 2011, 22:51
|

Вчера отправил фото, почему-то не вышел.
Отправляю фото повторно.
|
[
Ответить ]
|
|
Re: Остеомиелит и дефект голени
Андрей Мелёшкин 16 Февраль 2011, 12:52
|
По этому поводу есть интересная методика: резекция задействованных в процессе концов б.б. кости. Укорочение с целью закрытия м.тк. дифекта. VAC Подмыщелковая остеотомия с постепенным низведением промежуточного сигмента в аппарате И. Если Вы очень хорошо владеете техникой аппаратного лечения то возможно это вариант?
При желании это хорошо прокоментировал бы П.А.Иванов!
|
[
Ответить ]
|
Re: Остеомиелит и дефект голени
Отправитель: Максим Королев 16 Февраль 2011, 13:48
|
Я бы удали фиксаторы, некрэктомия, постарался бы "не очень" резецировать концы б\берцовой и фиксация в АВФ, ну дополнил бы еще декортикацией.Нижняя треть всегда срасталась хорошо.
|
[
Ответить ]
|
|
Re: Остеомиелит и дефект голени
Александр Артемьев 17 Февраль 2011, 20:36
|
Здравствуйте, Абдурашид.
Название топика вводит в заблуждение.
Откуда взялся дефект?
Я бы рассмотрел два последовательных варианта:
1. Удаление пластины, дебридемент (как вы его называете).
Уверен, что перелом сросся, рана заживет сама (могу поспорить).
Если есть сомнения - гипсовую глубокую лонгету.
2. Если обнаружите откровенные признаки несращения - внешний остеосинтез. Чрескостные элементы - как можно дальше от этой зоны (вредняя треть голени, пяточная кость).
Внешний остеосинтез можно выполнить спустя несколько недель после удаления пластины.
С уважением Александр Артемьев
|
[
Ответить ]
|
Re: Остеомиелит и дефект голени
Отправитель: Абдурашид 18 Февраль 2011, 00:38
|
Спасибо уважаемые коллеги!
топик действительно в спешке вышло неправильно, естественно " дефект мягких тканей" , но он откуда взялся я тоже не знаю, возможно из-за некроза за счет сильного натяжения м/т над медиально? уложенной пластины.
После анализа Ваших предложений уважаемые коллеги, решили оперировать в субботу: удаление пластины, если сращение, то мазевая повязка и плотная гипсовая повязка только на голень, и ходьба с нагрузкой. А если нет сращение то дебридмент , декортикация и туннелизация, VAC, остеосинтез аппаратом Илизарова, без больших резекцией концов, но после остеотомии м/б кости.
Билокальный КДО -техникой владеем, опыт до 8-10см., но что-то подсказывает, что можеть обойдется.
Нижняя треть диафиза б/берцовой кости обычно срастается наоборот всегда плохо.
С уважением Абдурашид.
|
[
Ответить ]
|
Re: Остеомиелит и дефект голени
Отправитель: Абдурашид 18 Февраль 2011, 00:48
|
P.S. Конечно самый лучший вариант- это и/м блокируемый остеосинтез стержнем с антибактериальным покрытием!
|
[
Ответить ]
|
|
Re: Остеомиелит и дефект голени
Djoldas Kuldjanov 18 Февраль 2011, 05:49
|
есть интересная методика: резекция задействованных в процессе концов б.б. кости. Укорочение с целью закрытия м.тк. дифекта. VAC Подмыщелковая остеотомия с постепенным низведением промежуточного сигмента в аппарате
Если имеется возможность наладить систему вакуумирования на месте, тогда для закрытия кожного дефекта не обязательно применение агрессивной тактики. Резекция сегмента с удлинением долгий процесс, и в большинстве случаев приводит к осложнению остеопорозом или к потере функции голеностопного сустава.
Несмотря на отсутствие мозоли, Александр правильно подсказывает, что такие инфицированные переломы голени срастаются образованием костной мозоли по задней поверхности тибиа.
Главная задача вылечить дефект мягких тканей, и для этого необходимо удалить пластину и "home made" шурупы. Обработка поверхности раны кюреткой, включая места шурупов, и промывание поверхности не менее 5 л физраствора. Декортикация открытой части кости и вакуумирование раны.
Перекись водорода из-за поверхностного ожога и угнетения процесса заживления для обработки не годится. Декортикация ускорит грануляции и вакуумирование поможtт cблизить края раны. Derma Closure http://www.dermaclose.com облегчает сближение краев раны и при отсутствии vessel loop техники.
Для уточнения состояния сращения после удаления пластины можно провести стресс тест или Компьютерную Томограмму. Из фиксации - минимальный наружный фиксатор из двух колец, тогда легче манипулировать на ране, и предупреждается контрактура.
|
[
Ответить ]
|
Re: Остеомиелит и дефект голени
Zadneprovskiy Nikita 19 Февраль 2011, 00:22
|
Здравствуйте, Абдурашид.
Я тоже, больше склоняюсь тут к тактике "не буди лихо пока оно тихо". (Однажды я не посоветовал этому совету, о чем шибко пожалел).
Вся стратегия описана А.А. Артемьевым и Дж. Кульджановым. Можно лишь добавить, что три верхних винта уберутся через рану. Оставшиеся внизу вывернуть через 2 прокола, что даст преимущество в раннем заживлении. За винтом в медиальной лодыжке гоняться не нужно. Полагаю, проблем он не создает. На мой взгляд, основная проблема - мягкие ткани. Тут их катастрофическая нехватка. Железки убрать, края раны не иссекать, саму рану промыть, повязка с антибиотической мазью. Весь сегмент в наружный фиксатор из двух колец.
Рана заживет, тогда и решать вопрос с tibia. Скорее всего, сращение произойдет без дополнительных манипуляций за счет костной спайки по латеральной и задней стороне tibia которая уже есть.
С уважением, Никита Заднепровский
|
[
Ответить ]
|
Re: Остеомиелит и дефект голени
Отправитель: Sereda Andrey 20 Февраль 2011, 03:59
|
По моему задняя спайка - это малоберцовая кость смещенная. Готов поспорить с А.А.А.
|
[
Ответить ]
|
|
Re: Остеомиелит и дефект голени
Ерсин Жунусов 19 Февраль 2011, 16:41
|
Уважаемый Абдурашид! Пока наш друг Павел Анатольевич Иванов нам ответить хотим сообщить, что мы по его методике прооперировали порядка 50 пациентов. То есть у нас тоже нередко пациенты из других регионов поступают подобными случаями. Мы как делали:удаляли пластину, интраопреационный дебрижмент, выкраивали суральный лоскут с аутодермопластикой расщепленным лоскутом, затем голень фиксировали стрежневым аппаратом, после полного заживления лоскутов, обычно наступающего на 7-10 сутки переходили на закрытый биос со стержнем покрытого цементом с антибиотком. А вот ребята подсказывают, что у нас были случаи когда сразу после перемещения лоскутов переходили на биос, но при открытых переломах голени. С уважением коллеги с отдела политарвмы центра неотложной помощи РК.
|
[
Ответить ]
|
Re: Остеомиелит и дефект голени
Отправитель: Абдурашид 20 Февраль 2011, 21:39
|
Уважаемые коллеги!
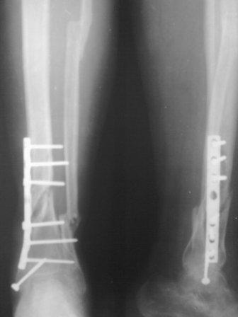
В субботу произведена операция, чтобы легче было манипулировать аппаратом, сначала произведена остеотомия м/б кости (часть откололась).Удаление шурупов, пластины и нога развалилась! видимо держался за счет сросщийся м/б кости и пластины. Передне-медиальная стенка дистального отломка на протяжение 3см нет, остальные три стенки сильно истончены как бумага( сильный остеопороз), канал проксимального отломка закрыт, замурован и между отломками находится косо-поперечно как бы изолируя оба отломка кортикальный осколок 3-4см, и еще две мелкие осколки, ну явно не живые, некротизированные, свободно лежащие. Но признаков остеомиелита, и воспаления не нашел. и на патологического перелома тоже не похож.
Я все это так оставит и выйти не смог, неживых осколков убрал,края стенков дистального отломка экономно резецировал ножницами, убрал всех интерпонированных м/тканей между отломками, конец проксимального резецировал пилой до появления "росы"(кость склерозирован) где-то до 1см, вскрыл канал. Обильно промыли антисеп.р-рами,вакуумировали,. Костных отломков сопоставили, образовался костная полость 4-3см в дистальном, и нет передней стенки на 4 см,. аутотрансплантат из подвздошной кости, сделали типа нескольких палочек, заполнили полость, циркулярно завязали кетгутом типа "вязанки хвороста", сопоставили , фиксация 3-я спицами ч-з пяточ.кость трансартикулярно, КДО аппаратом Илизарова из трех колец. на рану наложили редкие наводяшие швы, диастаз около 1см т.к. после мобилизации края сблизились без натяжения. длительность 4 часа. Антибиотики до операции в/в, во время в/костно, и в рану в конце операции.
Дорогие коллеги, честно признаться удовольствие никакой после такой операции, и очень надеюсь на Ваши советы.
С уважением и благодарностью Абдурашид.
P.S. Завтра сделаю рентген и фото.
|
[
Ответить ]
|
|
Re: Остеомиелит и дефект голени
Александр Артемьев 21 Февраль 2011, 02:42
|
Поспорить не успел. Да, видно, и проиграл бы... На ближайшей встрече - чашка кофе за мной:)
По поводу операции - не думаю, что вариант с костной пластикой лучший. Не хочу накликать, но вероятность нагноения - максимальная.
|
[
Ответить ]
|
Re: Остеомиелит и дефект голени
Pavel Ivanov 21 Февраль 2011, 14:35
|
Дорогие коллеги, здравствуйте.
Извиняюсь за запоздалое подключение к дискуссии.
Абдурашид, я не видел больного очно и могу лишь с неполной долей уверенности высказывать свое мнение и давать советы. Тем не менее.
> Но признаков остеомиелита, и воспаления не нашел.
Вы утверждаете, что остеомиелита у больного нет. Не могу согласиться.
> Я все это так оставит и выйти не смог, неживых осколков убрал, края стенков дистального отломка экономно резецировал ножницами, убрал всех интерпонированных м/тканей между > > отломками, конец проксимального резецировал пилой до появления "росы"(кость склерозирован) где-то до 1см,
> остальные три стенки сильно истончены как бумага( сильный остеопороз)
Приведенное Вами описание зоны перелома полностью соответствует классической картине остеомиелита – есть обширная инфицированная (что не вызывает никакого сомнения) рана, сообщающаяся с концами
некротизированных (Вы отметили, что они не кровоточили) костных отломков. Этого уже достаточно, что бы быть на 100% уверенным – это
тяжелый остеомиелит.
Вообще то, и до операции сомнений в этом не было. Я был уверен, что никакого сращения там нет. Выполненный остеосинтез подобной пластиной не мог обеспечить достаточной прочности. Значить была нестабильность и несращение. А когда я увидел фото конечности, сомнений уже не оставалось.
> Локально на снимке явного гнойного выделения нет
Так бывает часто. Фото больных с циркулярными некрозами кости без видимого гноетечения – рис. 1, 2, 3. У всех этих и многих подобных больных потребовались циркулярные резекции костей. Ожидать сращения некротизированных концов кости было у таких больных бы неправильным.
> костная полость 4-3см в дистальном, и нет передней стенки на 4 см,. аутотрансплантат из подвздошной кости, сделали типа нескольких палочек, заполнили полость, циркулярно > > > > завязали кетгутом типа "вязанки хвороста"
Я бы не стал здесь делать костную пластику. Рана обильно инфицирована, окружающие ткани очень плохо кровоснабжаются. Края раны надежно не сведены. Следовательно, очень высокий риск продолжения гнойного процесса и неудачи.
Я бы не стал сейчас использовать и штифт с антибактериальным покрытием. Ни в коем случае. Его стоит применять только, если есть уверенность что концы отломков живые, хорошо укрыты мягкими тканями и плотно контактируют между собой. В этой ситуации ни одно из этих условий не соблюдено. Если ставить такой штифт, что после элиминации антибиотика через 2-3 мес. мы получим отсутствие сращение и рецидив инфекции + канальный остеомиелит.
Я бы не стал здесь использовать и суральный лоскут. Это не очень надежный кожно-фасциальный лоскут, который питается за счет тонких сосудов сопровождающих сурральный нерв. Его стоит применять только с целью закрытия необширных дефектов мягких тканей с живой подлежащей костью. Здесь ситуация сложнее - лоскут должен обеспечивать кровью себя плюс снабжать кровью зону перелома. Это может обеспечить только большой мышечный лоскут. В этой зоне выбор их невелик. Это несвободный дистально прикрепленный лоскут камбаловидной мышцы или свободный мышечный лоскут, пересаженный с применением микрохирургической техники.

В этой ситуации, будь у меня подобный больной, в ходе одной операции я бы наложил аппарат, удалил пластину, сделал бы циркулярную резекцию концов костей, произвел бы остеотомию проксимального отломка для последующего низведения фрагмента кости и попросил бы микрохирургов в конце операции закрыть зону резекции свободным мышечным лоскутом. Этот вариант был бы очень привлекательным и надежным. Если бы не было
поблизости микрохирургов, то наложил бы вакуумную повязку (у нас доктора наловчились их делать и аппарат Илизарова не служит препятствием). После стыковки концов отломков через 2-3 мес можно продолжить лечить в аппарате, а можно поставить штифт с антибактериальным покрытием.
Абдурашид, надеюсь, что я не прав и у Вашего пациента все будет благополучно.
С уважением
Павел Иванов
отделение множественной и сочетанной травмы
НИИСП им. Н.В. Склифосовского
г. Москва
|
[
Ответить ]
|
|
Re: Остеомиелит и дефект голени
Maxim Agalakov 28 Февраль 2011, 23:07
|
Еще одно из решений

Reconstruction of Segmental Bone Defects Due to Chronic Osteomyelitis... (2007, PDF, 4820 Kb)
|
[
Ответить ]
|
Re: Остеомиелит и дефект голени
Maxim Agalakov 28 Февраль 2011, 23:19
|
>По поводу операции - не думаю, что вариант с >костной пластикой лучший. Не хочу накликать, но >вероятность нагноения - максимальная.
в таком виде возможно, но вопрос не совсем однозначный и требует исследования
"The release of antibiotics fromantibiotic-impregnated bone allograft is characterized
by a high early release and an exponential decay. The decay of the curve is antibiotic
specific. When antibiotic-impregnated cancellous bone has been employed in revi-
sion hip surgery, extremely high local antibiotic concentrations have been recorded.
Cancellous bone is an effective vehicle for local antibiotic delivery. However, the long
time effects of antibiotic impregnation on bone regeneration have not been studied."
из E. Meani Infection and Local Treatment in Orthopedic Surgery 2007
|
[
Ответить ]
|
Re: Остеомиелит и дефект голени
Djoldas Kuldjanov 01 Март 2011, 00:45
|
Абдурашид,
Описанная техника немного отличается от современной тактики лечения осложненного ложного сустава. Более радикальная, как описал Паша Иванов, это удаление инфицированного очага или сегмента с последующим удлинением классическим аппаратом Илизарова. Менее щадящая техника очистка до образования “paprika sign” и создание нейтрализации одним из наружных фиксаторов с дальнейшими мероприятиями по закрытию раны.
Каждый из методов имеет свои положительные, а также отрицательные стороны. Агрессия не всегда гарантирует результат и долгие ожидания в любой момент может осложнится. А щадящая техника из-за минимума возможностей не всегда дает хороший функциональный результат. Поэтому для избежания ошибок в выбора правильной тактики надо определиться с уровнем поражения кости.
Все современные методы исследования кости помогут определится со степенью поражения кости, например, МРТ поможет найти топографию поражения кости и наличие мягкотканних абцессов. На КТ можно увидеть скрытые места сращения, где на обычной рентгенограмме трудно уловить. По результату исследования будет видно, надо ли делать сегментарную остеотомию или оставить частичную при краевых сращениях.
Одномоментной обработкой трудно решить проблему инфицированной кости, тем более с мягкоканым дефектом. При наличии очага инфекции сильнодействующие антибиотики не помогут . Поэтому следующим этапом необходимо доказать об отсутствии инфекции в ране. Обычно делается проба с поверхности раны на аэробную или анаэробную инфекцию после первичной обработки раны. Такая процедура гарантирует профилактику осложнении, иначе уложенные без исследований материалы: аутокость или синтетические заменители поплывут и растворяится инфекцией при первой же возможности.
Современное понимание вакуума раны немного отличается от метода, который популяризовал в Узбекистане проф. Хамраев. Обработку отсосом поверхности раны во время операции понимали под “вакумированием”. Предложенный KCI вакуум метод после Irrigation&Debridment раны остается на несколько дней. За пару дней под отрицательным давлением в ране образуется обильная грануляция и уменьшение площади поверхности раны.
У курильщиков и особенно в н/3 голени закрытая рана с натяжением приводит к ухудшению тропики и может осложнится. Поэтому рекомендуется продолжение вакуумирования и только отрицательная культура из раневой поверхности является критерием для закрытия раны.
На уровне стыка достаточно контактной кости, возможно, обойдется без особых усилии. Краевые дефекты кости можно закрыт техникой Папинау. А так вместо трансартикулярных спиц можно усилить нижнее кольцо и давать нагрузку.
--
Djoldas Kuldjanov, M.D.
Associate Professor
Department of Orthopedic Surgery
St. Louis University
|
[
Ответить ]
|
Re: Остеомиелит и дефект голени
Отправитель: Abdurashid 06 Март 2011, 15:23
|
Спасибо уважаемые коллеги.
Из-за технических проблем несколько дней не смог выйти на интернет!
Состояние раны ч-з две недели, покрыт корочкой, подним идет хорошая грануляция, повязка только димексид с фурациллином, пока нагноения нет, выделения из раны нет, 5 дней уже антибиотиков не принимает. Фото и рентген прилагается.
Как Джолдас предлагал спицы удалены, в дистальном кольце три спицы, рекомедована дозированная нагрузка, и больной выпысан. приедит ч-з две нед.
Макс -" еще одно из решений "- почему-то не открывается?
Суважением Абдурашид.
Копия Фото0423.jpg
23KB (23798 bytes)
|
[
Ответить ]
|
Re: Остеомиелит и дефект голени
Отправитель: Abdurashid 06 Март 2011, 15:24
|
Спасибо уважаемые коллеги.
Из-за технических проблем несколько дней не смог выйти на интернет!
Состояние раны ч-з две недели, покрыт корочкой, подним идет хорошая грануляция, повязка только димексид с фурациллином, пока нагноения нет, выделения из раны нет, 5 дней уже антибиотиков не принимает. Фото и рентген прилагается.
Как Джолдас предлагал спицы удалены, в дистальном кольце три спицы, рекомедована дозированная нагрузка, и больной выпысан. приедит ч-з две нед.
Макс -" еще одно из решений "- почему-то не открывается?
Суважением Абдурашид.
Копия Фото0423.jpg
23KB (23798 bytes)
|
[
Ответить ]
|
|
( Ответить )
|
|