AOTRAUMA.ORG Центр Илизарова  

Ортопедия и травматология Общие вопросы/General questions Help Информационные технологии в медицине
 вверх
 отправить
 поиск
 админ
 главная


Перелом бедра
Ортопедия и травматология Отправлено Миронов Андрей 19 Февраль 2011, 12:40
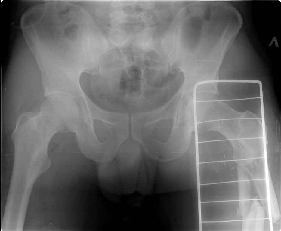
Добрый день уважаемые коллеги. Неделю назад поступил пациент после ДТП. В тяжелом состоянии.
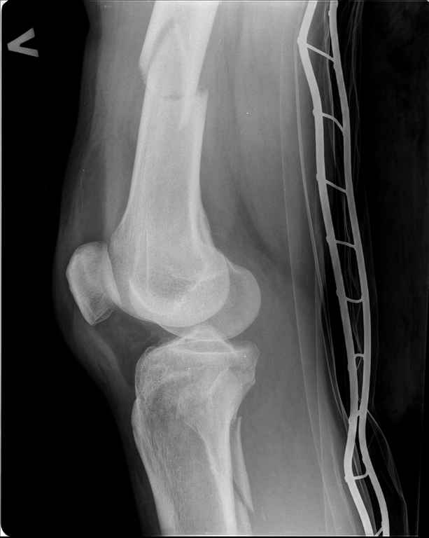
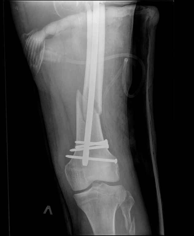
Ds: ТСТ. ЗЧМТ. СГМ. ЗТГК. О/фрагментарный перелом левого бедра. З/оскольчатый перелом с\3 левого плеча. Перелом левого локтевого отростка. З/перелом наружного мыщелка б/берцовой кости в/3 м/берцовой кости левой голени. при поступлении, ПХО раны левого бедра( рана 1х1см по наружной поверхности бедра в с/3) налажено скелетное вытяжение , и гипсовая лонгета на левую в/конечность. Находился в реанимации. 17.02.11 был прооперирован: БИОС левого плеча, о/синтез левого локтевого отростка по Веберу, БИОС левого бедра (длинная версия Fi-Can Sanatmetal диаметр 10мм), мыщелок голени трогать не стали.при остеосинтезе бедра возникли трудности при закрытй репозиции перелома в н/3, в связи с чем решили открыться внизу , отрепонировали без особого труда и выполнили блокирование во фронтальной плоскости 3-мя винтами + 1 винт спереди гвоздя (промазал). Убрал костодержатель, все нормально, контроль ЭОПом стояние отломков нормальное, зашились. На контрольной R-мме на утро выявлено вторичное смещение дистального отломка. Левая нога по сравнению со здоровой удлиннена до 2,5см( это за счет вальгусной установки гвоздя в проксимальном отделе, боялся свалиться на варус). Теперь думаем как поправить положение отломков в н/3, и зафиксировать так чтобы не съехало. Наше предложение расшиться в н/3 бедра, разблокироваться, перелом отрепонировать вновь и установить 1или 2отклоняющих винта в сагитальной плоскости, затем заблокироваться во фронтальной плоскости снова. Помогите советом, как выйти достойно из сложившейся ситуации. Заранее спасибо.

<  |  >

 

  • Сообщения о Ортопедия и травматология
  • Также Миронов Андрей
  • Связаться с автором
  • Ответить

    Re: Перелом бедра
    Alexander Chelnokov 20 Февраль 2011, 07:30
    Наше предложение расшиться в н/3 бедра, разблокироваться, перелом
    отрепонировать вновь и установить 1или 2отклоняющих винта в



    Если так зашиваться-расшиваться, и до беды недалеко...

    Можно закрыто попытаться - ввести в мыщелки спицы и закрепить в дуге, с помощью которой и потянуть по длине, и на варус. Или тракционный стол и во фронтальной плоскости джойстик 5-6 мм или два.

    Но будьте готовы к полному варианту - убрать все винты, вывести гвоздь выше этой линии перелома, ввести отклоняющие внты или спицы, и ввести гвоздь уже куда надо, и запереть во все отверстия, и отклоняющие винты остав
    [ Ответить ]

    Re: Перелом бедра
    VlaD 20 Февраль 2011, 14:37
    Здравствуйте коллеги!

    > - Левая нога по сравнению со здоровой удлинена до 2,5см (это за счет вальгусной установки гвоздя в проксимальном отделе)

    С моей точки зрения удлинение (если таковое имеется) произошло не за счёт вальгусной установки стержня. На контрольной рентгенограмме блокирующие винты точно расположены в шейке бедренной кости и в центре ротации головки. И даже если выбран стержень с максимальным из выпускаемых углом в 135 градусов, он не обеспечит столь значительного удлинения конечности. Увеличенный шеечно-диафизарный угол на контрольной рентгенограмме со стержнем объясняется наружной ротацией конечности при рентгенографии и возникающем при этом проекционном искажении ШДУ. Скорее всего, удлинение конечности объясняется наличием диастаза между отломками в вертельной области.

    > - Убрал костодержатель, все нормально, контроль ЭОПом стояние отломков нормальное, зашились. На контрольной R-мме на утро выявлено вторичное смещение дистального отломка.

    Важно установить из-за чего произошла вальгусная деформация дистального отломка (при условии, что на операционном столе после дистального блокирования её не было). Если взять в руки стержень и ввести в дистальное круглое отверстие блокирующий винт, то из-за разности в диаметрах блокирующего винта и диаметра блокирующего отверстия в стержне, возможно отклонение стержня во фронтальной плоскости до 13 градусов в каждую из сторон. Если второе отверстие для блокирования на дистальном конце стержня круглое, проблема «качания» дистального отломка во фронтальной плоскости на одном блокирующем винте при инфраистмальных переломах решается введением второго блокирующего винта во фронтальной плоскости. Если второе блокирующее отверстие овальное, введение второго блокирующего винта во фронтальной плоскости эту проблему не решит (кажется, это ваш случай). В таком случае лучшим решением является введение блокирующего винта в сагитальной плоскости через соответствующее отверстие стержня (это всегда лучший вариант). Однако в выбранном стержне такого отверстия нет. Поэтому мы бы поступили следующим образом. Удалили бы все дистальные блокирующие винты. Выполнили бы открытую репозицию дистального перелома на стержне с ликвидацией вальгусной деформации. Мне представляется, что это технически выполнимо, поскольку стержень не погружен в мыщелки глубоко и уже произошло вторичное смещение. Перелом предварительно фиксировали бы костодержателем. В качестве противоупора в заглушку стержня необходимо вставить отвёртку. Ударами по костодержателю в проксимальном направлении постарались бы ликвидировать диастаз в вертельной области. Выполнили бы дистальное блокирование двумя винтами во фронтальной плоскости, причём винт в овальном отверстии провели бы по его проксимальному краю. На проксимальном конце дистального отломка максимально близко к месту перелома в сагитальной плоскости провели бы два винта poler по обеим сторонам стержня.
    С уваженим, VlaD.

    [ Ответить ]

    Re: Перелом бедра
    Volchenko Denis 20 Февраль 2011, 23:59
    Если возникло вторичное смещение, то - наверняка получится закрытая повторная репозиция дистального фрагмента,затем отклоняющие винты (ввиду отсутствия отверстий в сагиттальной плоскости).
    Удлинение (укорочение) до 3см зачастую клинически не сказывается.
    А еще может в латеральный мыщелок 2 канюлированных винта и - "ранняя функция, поздняя нагрузка". Случай непростой, удачи.
    [ Ответить ]

    Re: Перелом бедра
    Anton Kovalenko 27 Февраль 2011, 18:03
    Уважаемый Андрей!
    Высказывались предложения разблокировать, растянуть, попытаться исправить угол, не вынимая гвоздя и не раскрываясь. Не важно чем будете (если будете) это осуществлять, дистрактром или на орт.столе. Думается, что на столе удобнее - сроки позволят. Если дистрактором - спицу(стержень) дистальной опоры проводить учетом коррекции того самого вальгуса до начала дистракции. На счет возникшего смещения можно сказать что оно могло случиться и после блокирования - оси винтов как раз назодятся в плоскости смещения. Доселе Вы читали доклад на симпозуиме АО про дистальное плечо, про то как не подходят БИОС конструкции для тех переломов, так вот при широком канале адекватно гвоздь будет удерживать отломки от варусно- вальгусного смещения, если блокирующий винт пройдет в сагитальной плоскости. Не важно дистальное ли это плечо голень или бедро, как в Вашем случае. Т.е. если удастся исправить деформацию в дистальном бедре сагитальное запирание будет не лишним.
    Удачи.

    --
    С уважением, Коваленко А.Н.
    [ Ответить ]

    • Re: Перелом бедра
      Отправитель: Alexey Semenisty 27 Февраль 2011, 18:09
      На недавнем АО-симпозиуме про дистальное плечо читал доклад сосвсем другой Андрей Миронов. А автор этой темы - Миронов Андрей , - не слышал доклад Андрея Миронова из Томска, ранее работавшего в Новокузнецке.)


      [ Ответить ]
      • Re: Перелом бедра
        Отправитель: Anton Kovalenko 27 Февраль 2011, 18:11
        Прошу прощения за ошибку, но сути сообщения это не меняет.
        Не ожидал, что среди узких специалистов в пределах одной специальности так легко найти полного тезку по имени и фамилии)

        С уважением, Коваленко А.Н.

        [ Ответить ]

     

    ( Ответить )

    Powered by Zope  Squishdot Powered MedLink
    Посетитель: 0000095
      "По форме правильно, а по существу - издевательство" В.И.Ленин
    ©2001-2019Orthoforum Coordinator.
    [ Главная | Отправить сообщение | Поиск | Админ ]