AOTRAUMA.ORG Центр Илизарова  

Ортопедия и травматология Общие вопросы/General questions Help Информационные технологии в медицине
 вверх
 отправить
 поиск
 админ
 главная


ТПТС 12 лет назад
Ортопедия и травматология Отправлено Сергей Дукер 02 Март 2011, 20:30
12 лет назад пациентке по поводу ревматоидного полиартрита выполнено ТПТС. Проблем не было.
7 дней назад в покое без видимых причин возникла резкая боль в паховой области. Боль постепенно усиливалась и к вчерашнему вечеру стала нетерпимой. Обратилась к хирургами по месту жительства. Заподозрено ущемление бедренной грыжи. Взята в эстренном порядке в операционную. На операции выявлена напряженная гематома со сгустками идущая из области вертлужной впадины. источник кровотечения не выявлен. Гематома эвакуирована, задренирована.Вопрос. Причина? Тактика дальнейшего ведения?

<  |  >

 

  • Сообщения о Ортопедия и травматология
  • Также Сергей Дукер
  • Связаться с автором
  • Ответить

    Re: ТПТС 12 лет назад
    Валерий Шевченко 02 Март 2011, 21:08
    Уважаемый Сергей! Желательно увидеть рентгенограммы этого сустава, не исключен "конфликт" костной ткани и конструкции. Возможно,после рентгенографии многое поймете сами.
    [ Ответить ]

    Re: ТПТС 12 лет назад
    Батал Шушания 03 Март 2011, 00:24
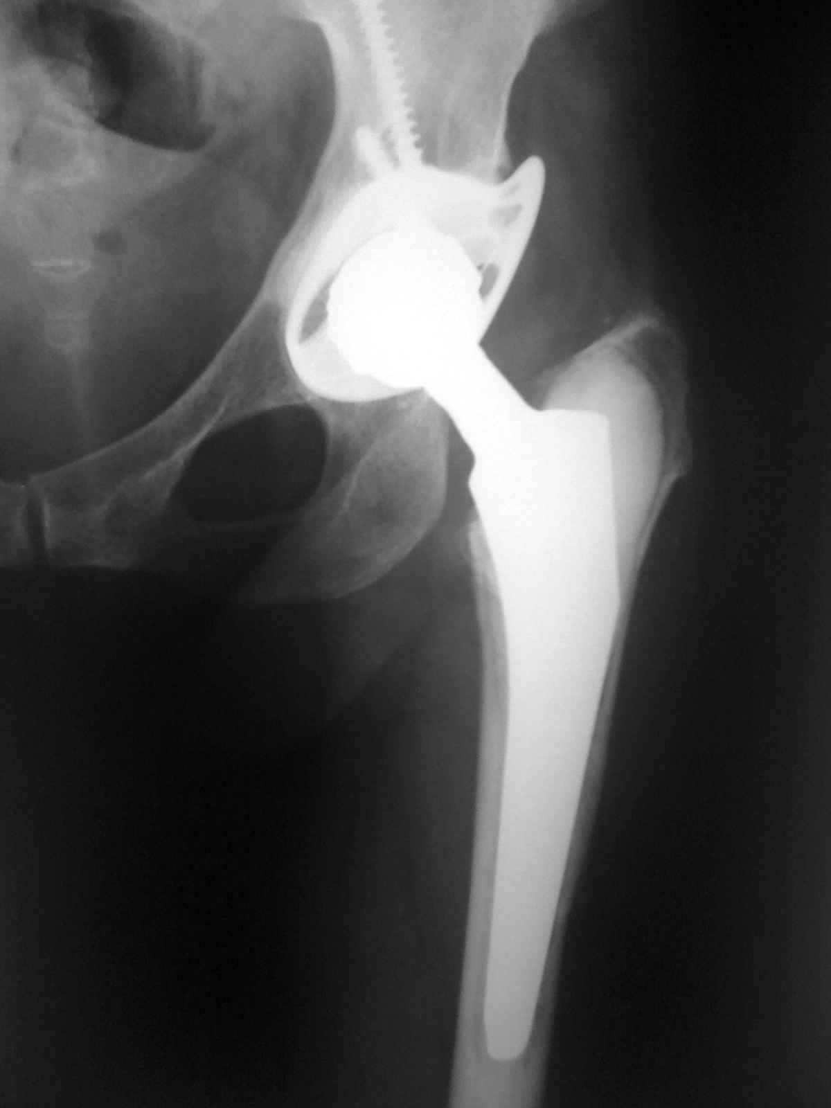
    текст на самом фото
    Кликните для загрузки файла Слайд1.jpg
    71KB (72710 bytes)

    [ Ответить ]

    • Re: ТПТС 12 лет назад
      Отправитель: Сергей Дукер 03 Март 2011, 02:38
      1. Прошло вметает 12 лет.
      2. Гематома была бы в полости малого таза. А не в области вертлуги.

      [ Ответить ]
    • Re: ТПТС 12 лет назад
      Отправитель: Сергей Дукер 03 Март 2011, 02:40
      1. Прошло вметает 12 лет.
      2. Гематома была бы в полости малого таза. А не в области вертлуги.

      [ Ответить ]
      • Re: ТПТС 12 лет назад
        Отправитель: Батал Шушания 04 Март 2011, 01:26
        А что мешает Вам выполнить КТ исследование? Показания для этого есть. А так вам можно только гадать и предполагать.

        [ Ответить ]
    Re: ТПТС 12 лет назад
    Юрий Алексеевич Булахтин 04 Март 2011, 18:33
    Уважаемые коллеги!

    Сообщите, пожалуйста, что беспокоит пациентку сегодня?
    Мне кажется, что через двенадцать лет после операции вероятность возникновения пролежня сосудов коррелирует с вероятностью появления крокодила из сети городской канализации через унитаз отделения эндопротезирования... Если гематома
    опорожнена Вы не найдете ее источника либо до нагноения, либо до повторного скопления крови.

    С уважением и наилучшими пожеланиями,
    Юрий Алексеевич Булахтин
    Камчатский Военно-морской госпиталь
    [ Ответить ]

    • Re: ТПТС 12 лет назад
      Отправитель: Maxim Agalakov 04 Март 2011, 22:50
      >коррелирует с вероятностью появления крокодила из сети городской канализации через унитаз отделения эндопротезирования.
      - В Мариуполе появился, практически как вы описываете. Но..., в первую очередь нужно исключить инфекцию: СРБ, сцинтиграфия могут помочь

      [ Ответить ]
      • Re: ТПТС 12 лет назад
        Отправитель: Юрий Алексеевич Булахтин 05 Март 2011, 02:37
        Здравствуйте Максим!
        Мариупольской рептилии, конечно, большой привет, а в отношении обследования я бы начал с УЗИ.

        С уважением и наилучшими пожеланиями,
        Юрий Алексеевич Булахтин
        Камчатский Военно-морской госпиталь

        [ Ответить ]
    • Re: ТПТС 12 лет назад
      Отправитель: Батал Шушания 06 Март 2011, 15:04
      Юрий Алексеевич, Вы слишком категоричны. В наше время, мы часто убеждаемся в том, что возможно все. И даже то, что Вы красиво так описали. Ведь никто не верил в начале 20 века, что человек полетит в космос. Потому, нельзя быть категоричным и исключать возможность появления "крокодила из сети городской канализации через унитаз отделения эндопротезирования"
      Потом6у КТ исследование будет, на мой взгляд, оптимальным. Данное исследование может не решить окончательно проблему, но может сузить диагностический поиск.

      [ Ответить ]
      • Re: ТПТС 12 лет назад
        Отправитель: травматолог 08 Март 2011, 14:28
        пациент может лукавить, скорее всего была травма.

        [ Ответить ]
    Re: ТПТС 12 лет назад
    Евгений 09 Март 2011, 16:29
    Не исключен и разрыв ложной аневризмы возможно ранее травмированного во время операции сосуда. По этому - КТ и УЗДГ. А при наличии условий - и возможно ангиография.
    [ Ответить ]

    Re: ТПТС 12 лет назад
    Rashid Tikhilov 12 Март 2011, 22:31
    Уважаемый Сергей, давно не просматривал почту, поэтому поздно увидел Ваше сообщение.
    Случай крайне интересный и наводит на мысль о следующих возможных причинах наличия гематомы.
    Думаю что патология со стороны сосудистого русла очень маловероятна - 12 лет после операции, имплантаты стабильны, проявилось бы значительно раньше.
    Прием антикоагулянтов по поводу другого заболевания может вызвать наличие гематомы при условии травматизации синовиальной оболочки.
    Наиболее вероятная причина - это псевдоопухоль (а там пара металл-металл) с появлением крови, либо - учитывая ревматоидную природу артроза - травматизация гипераплазированной синовиальной с образованием гематомы.
    Отсюда и лечение - на всякий случай - ангиография, при отсутствии признаков повреждения сосудов - ревизия с иссечением синовии и заменой вкладыша.
    Оставление дренажа крайне опасно нагноением.
    С уважением, Р.М.Тихилов
    [ Ответить ]


    ( Ответить )

    Powered by Zope  Squishdot Powered MedLink
    Посетитель: 0000040
      "По форме правильно, а по существу - издевательство" В.И.Ленин
    ©2001-2019Orthoforum Coordinator.
    [ Главная | Отправить сообщение | Поиск | Админ ]