вверх
отправить
поиск
админ
главная
Предыдущее
|
Re: Чрезвертельный перелом бедра
Alexander Chelnokov 12 Март 2011, 17:12
|
а головка как бы припаяна к вертлуге.
Вот этот момент непонятен. Без движений в тазобедренном суставе коррекция формы проксимального отдела бедра бессмысленна, нормализация шеечно-диафизарного угла приведет к фиксированному отведению.
Если все-таки подвижность в суставе есть (можно подвигать под рентгеном в условиях анестезии), то мы бы постарались закрыто мобилизовать отломки (ротационной остеоклазией), затем наложили спицевой дистрактор таз-бедро (в свежем случае в крыло достаточно одной спицы, тут лучше 2-3). Если подвижность хорошую не получили, то сначала дистрактор, и уже в нем чрескожная межвертельная остеотомия.
Дистракция позволит улучшить шеечно-диафизарный угол. Фиксировать технически проще пластиной, оптимально 130-градусной. Можно и с другим углом, только спланируйте тщательно, как должен быть направлен шеечный элемент, чтобы не оставить варус.
Гвоздем тоже можно, но технически труднее, надо вводить джойстики в шейку...

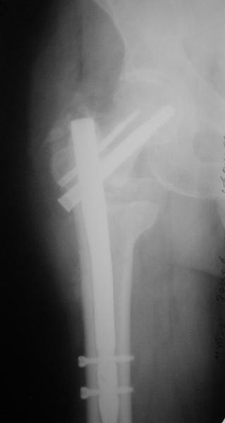
В приложении пример с гвоздем.
|
|
|
Ответить
|
Re: Чрезвертельный перелом бедра
Абдурашид 16 Март 2011, 22:30
|
Как предлагали уважаемые коллеги, сегодня наложили спице-стержневой дистрактор таз-бедро, перед этим попробовали закрытую остеоклазию под в/в анестезией, движение в т/б суставе ( или в ложном суставе! ) восстановлен.
Р-снимки сразу п/о, следующий после дистракции, аксиальная - прощу извинения за плохое качество снимков.
Мне кажется надо еще продолжать постепенную дистракцию. И еще которая наверху шейки по моему это осколок от шейки, и она фиксирована оссификатом надвертлужной обл. Поэтому при повторной операции видимо придется открыто мобилизовать т/б сустав.
С уважением Абдурашид.
Копия Фото0441.jpg
9KB (10088 bytes)
|
[
Ответить ]
|
Re: Чрезвертельный перелом бедра
Абдурашид 16 Март 2011, 22:33
|
Как предлагали уважаемые коллеги, сегодня наложили спице-стержневой дистрактор таз-бедро, перед этим попробовали закрытую остеоклазию под в/в анестезией, движение в т/б суставе ( или в ложном суставе! ) восстановлен.
Р-снимки сразу п/о, следующий после дистракции, аксиальная - прощу извинения за плохое качество снимков.
Мне кажется надо еще продолжать постепенную дистракцию. И еще которая наверху шейки по моему это осколок от шейки, и она фиксирована оссификатом надвертлужной обл. Поэтому при повторной операции видимо придется открыто мобилизовать т/б сустав.
С уважением Абдурашид.
Копия Фото0438.jpg
8KB (9208 bytes)
|
[
Ответить ]
|
Re: Чрезвертельный перелом бедра
Абдурашид 16 Март 2011, 22:34
|
Как предлагали уважаемые коллеги, сегодня наложили спице-стержневой дистрактор таз-бедро, перед этим попробовали закрытую остеоклазию под в/в анестезией, движение в т/б суставе ( или в ложном суставе! ) восстановлен.
Р-снимки сразу п/о, следующий после дистракции, аксиальная - прощу извинения за плохое качество снимков.
Мне кажется надо еще продолжать постепенную дистракцию. И еще которая наверху шейки по моему это осколок от шейки, и она фиксирована оссификатом надвертлужной обл. Поэтому при повторной операции видимо придется открыто мобилизовать т/б сустав.
С уважением Абдурашид.
Копия Фото0443.jpg
9KB (9489 bytes)
|
[
Ответить ]
|
Re: Чрезвертельный перелом бедра
Абдурашид 16 Март 2011, 22:35
|
Как предлагали уважаемые коллеги, сегодня наложили спице-стержневой дистрактор таз-бедро, перед этим попробовали закрытую остеоклазию под в/в анестезией, движение в т/б суставе ( или в ложном суставе! ) восстановлен.
Р-снимки сразу п/о, следующий после дистракции, аксиальная - прощу извинения за плохое качество снимков.
Мне кажется надо еще продолжать постепенную дистракцию. И еще которая наверху шейки по моему это осколок от шейки, и она фиксирована оссификатом надвертлужной обл. Поэтому при повторной операции видимо придется открыто мобилизовать т/б сустав.
С уважением Абдурашид.
Копия Фото0436.jpg
23KB (23804 bytes)
|
[
Ответить ]
|
( Ответить )
|
|