AOTRAUMA.ORG Центр Илизарова  

Ортопедия и травматология Общие вопросы/General questions Help Информационные технологии в медицине
 вверх
 отправить
 поиск
 админ
 главная


Врожденый ложный сустав
Ортопедия и травматология Отправлено Latif 31 Март 2011, 18:41
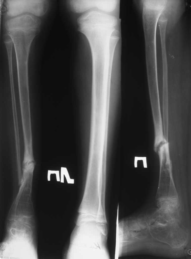
Больной 11 лет. Врожденный ложный сустав нижней трети правой большеберцовой кости.
Больной оперирован неоднократно в областных и республиканских центрах. Прошу о вашей тактике лечения данного больного. Моё мнение: резекция малоберцовой кости в области нижней трети, аккордионной метод компрессии. И дистракция, закрытая кортикотомия верхней трети большеберцовой кости апаратом Илизарова Латиф

<  |  >

 

  • Сообщения о Ортопедия и травматология
  • Также Latif
  • Связаться с автором
  • Ответить

    Re: Врожденый ложный сустав
    Gektor Kessidis 02 Апрель 2011, 16:28
    На основании литературных данных, наиболее эфективный метод лечения данной патологии является пересадка малоберцовой кости на сосудистой ножке и метод Илизарова.



    Хочу поделиться с вами опытом недавно пролеченного мною мальчика пяти лет с врожденным псевдартрозом. ‚ вначале ему была пересажена малоберцовая кость. Операцию проводили с пластическими хирургами. Шесть месяцев спустя малоберцовка приросла, и мальчик начал ходить в специальном бандаже. —через некоторое время вследствие неаккуратности родителей (кто-то сел на ногу ребенка) произошел перелом на уровне стыка. Попытка срастить, наложив аппарат, была неудачной. Поэтому было принято решение удалить пересаженную малоберцовую кость и заместить дефект за счет верхней кортикотомии. Срок лечения один год. Был достигнут положительный результат. Спустя полтора года повторного перелома не наблюдалось.

    [ Ответить ]


    ( Ответить )

    Powered by Zope  Squishdot Powered MedLink
    Посетитель: 0000017
      "По форме правильно, а по существу - издевательство" В.И.Ленин
    ©2001-2019Orthoforum Coordinator.
    [ Главная | Отправить сообщение | Поиск | Админ ]