ВХОД ДЛЯ ПАЦИЕНТОВ
вверх
поиск
админ
главная
исходное
|
Re: Костный и мягкотканый дефект голени
послал Pavel Ivanov 04 Апрель 2011, 00:15
|
Максим, здравствуйте.
Скажу сразу честно, что с аналогичными клиническими случаями я пока не сталкивался, поэтому не могу подкрепить свои рекомендации
рентгенограммами и фотографиями.
Но сначала пара моих реплик:
> укрыть латеральной головкой икроножной мышцы, на нее кожную пластику.
Нужно только учесть, что латеральная головка дотягивается до передней поверхности хуже, так как с этой стороны мешает малоберцовая кость.
Стоит это обязательно проверить во время тренировки в морге.
> Какую тактику лечения предпочесть? Планирую замещение костного дефекта цементом с а/б,
А какую проблему это решит? Разве имеется выраженное воспаление? Кроме того, даже если предположить что кожа над цементом заживет, то нога все равно никогда не станет опорной.
Мне кажется, есть довольно надежный вариант с большой вероятностью благополучного (насколько возможно в такой ситуации) исхода.
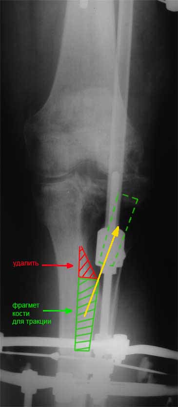
Я бы сделал пластику мягких тканей (торакодорзальный лоскут совместно с микрохирургами или пластику латеральной головкой икроножной мышцы) и выполнил бы краевой отщеп большеберцовой кости для его дистракции аппаратом в проксимальном направлении (рис. 1 – пример применения отщепа (авторство не мое), рис. 2 – схема предлагаемого варианта замещения дефекта кости).

Малоберцовую кость я бы пока не трогал. Она сослужит хорошую службу при начале нагрузки на ногу - будет служить дополнительным стабилизирующим и элементом.
> какие? Помогите с материалами по теме, книги, презентации, видео) Master technic b color
Не думаю, что где-либо в книгах подробно описан алгоритм лечения таких сложных и, к счастью, редких клинических случаев.
Признанными лидером в мире по лечению подобных тяжелых больных является Александр Лернер (Израиль). Он, я знаю, посещает, наш форум,
но, к сожалению, пишет не часто. Было бы очень полезным узнать его мнение.
Желаю удачи.
Павел Иванов
отделение множественной и сочетанной травмы
НИИСП им. Н.В. Склифосовского
г. Москва
|
| Послать ответ |
Обратите внимание: Поля с жирными названиями обязательны.
Старайтесь отвечать в рамках обсуждаемой темы, а не начинать новые обсуждения.
Указывайте адекватную тему сообщения, чтобы было ясно, о чем оно.
Не послайте сообщений не по теме (оффтопик), раздраженных, грубых или обидных комментариев. Здесь это неуместно.
|