вверх
отправить
поиск
админ
главная
|
Перелом бедра на фоне гематогенного остеомиелита |
 |
 |
 |
Отправлено Игорь Кучерявый 18 Апрель 2011, 15:38 Сергиево-Посадская РБ
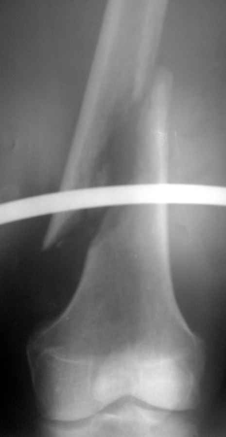
Доброго времени суток. 12.04.2011г. поступил пациент 64 лет, с косым переломом правой бедренной кости в нижней трети со смещением отломков. Из анамнеза: начали беспокоить боли в правом бедре, в течение месяца лечился амбулаторно (НПВП, физиолечение) - без эффекта, боли нарастали. 12.04.2011г. при ходьбе наступил патологический перелом бедра, "Скорой" доставлен в стационар. Rg-снимки в приложении. Клинически имеется припухлость в нижней трети, болезненная при пальпации. Опухоль? Обследуем. Больше ничего по онкопатологии нигде не нашли. Сегодня - подъем температуры до 39гр, бедро в области перелома на ощупь горячее, флюктуация по наружной поверхности. При пункции получен зловонный гной. Взяты посевы, анализ на цитологию, начато консервативное лечение острого гематогенного остеомиелита. Вопрос: а не может ли это быть опухолью?
По поводу оперативного лечения. У нас есть небольшой опыт консервативного лечения патологических переломов бедра при гематогенных остеомиелитах, с хорошими результатами. Видимо в этом случае пока продолжим консервативную тактику, но... Если оперировать... Какова может быть компоновка АВФв данном случае? Или интрамедуллярный спейсер с антибиотиком? И как его вводить? Через колено? Не хотелось бы. Да и промыванию канала бедра будет мешать. С ув. Кучерявый И.В.
<
|
>
|
|
Ответить
|
Re: Перелом бедра на фоне гематогенного остеомиелита
Андрей Волна 18 Апрель 2011, 19:38
|
Скорее всего, к сожалению, речь идёт о патологическом переломе на фоне метастаза опухоли, да ещё и почему-то инфицировавшемся, вдобавок. Дообследовать быстро нужно. Как? - зависит от возможностей клиники. С уважением, Андрей
|
[
Ответить ]
|
Re: Перелом бедра на фоне гематогенного остеомиелита
Evgueny 19 Апрель 2011, 18:12
|
Игорь,
Консервативное*лечение* острого гематогенного остеомиелита - потеря времени.
Подъем температуры, получение гноя при пункции - показания к экстренной обработке и стабилизации перелома, в данном случае выбрал бы внешнюю
фиксацию. В плане компановки аппарата - самая простая унилатеральная рамка на стержнях: 2 в проксимальный и 2 стержня в дистальный отдел,позиции проведения стержней в соответствии с принципами, описанными проф. Л.Н.Соломиным, открытое ведение раны с кождодневными перевязками в условиях оперционной. Об окончательной фиксации перелома и закрытии раны можно будет думать после того как прекратится выделение гноя и появятся грануляции.
Успехов,
Е.И.Чекашкин
|
[
Ответить ]
|
Re: Перелом бедра на фоне гематогенного остеомиелита
Отправитель: Игорь Кучерявый 20 Апрель 2011, 15:46
|
А каков риск нагноения стержней? В данном случае идет острый процесс с образованием большого количества гноя (выделилось одномоментно больше 500 мл на операции, гной в канале). У нас нет опыта использования АВФ в такой ситуации. Мы обычно таких ставляли на вытяжении, т.к. боялись распространения инфекции. Но если это возможно, хотелось бы облегчить пациенту жизнь после купирования острой стадии.
С уважением,
Кучерявый Игорь,
г. Сергиев Посад.
|
[
Ответить ]
|
Re: Перелом бедра на фоне гематогенного остеомиелита
Отправитель: Evgueny 21 Апрель 2011, 20:30
|
А каков риск нагноения стержней?
-*знал бы прикуп - жил бы в Сочи*:-))
статистика по разным авторам ( google. com search * incidence of pin tract infection*) от 7.9% до 98.8%
- зависит от качества дебрайдмента : 1 этап хирургическая обработка с иссечением бак. капсулы, инфицированных тканей, кюретаж. рассверливание канала, промывание раны не менее 10 л раствора, оставление в ране и канале АБ бус.- доведение гнойного очага до *чистого* состояния.
Второй этап начинается с обработки операционного поля, смены белья, инcтрументария, стабилизация перелома внешним фиксатором.
Риск развития инфекции вокруг стержней зависит от техники их введения, стабильности аппарата, качества кости (остеопороз), послеоперационного ухода, пока не попадалось материала о преимуществах селфдриллинг стержней перед обычными шанц - хотя с практической точки зрения, самозасверливаемые гораздо удобнее - не надо терять время на поиск просверленного канала для введения стержня , а главное - более щадящие для тканей - стержень вводится в один прием, а не в два этапа: сверление, поиск канала и введение стержня.
В данном случае идет острый процесс с образованием большого количества гноя (выделилось одномоментно больше 500 мл на операции, гной в канале). У нас нет опыта использования АВФ в такой ситуации. Мы обычно таких оставляли на вытяжении, т.к. боялись распространения инфекции. Но если это возможно, хотелось бы облегчить пациенту жизнь после купирования острой стадии
.
- Преимущества внешнего фиксатора перед скелетным вытяжением очевидны:
Стабилизация перелома с сохранением длины сегмента- больной мобилен, облегчается уход за ним и п/о раной
Успехов,
Евгений Чекашкин
|
[
Ответить ]
|
|
Re: Перелом бедра на фоне гематогенного остеомиелита
В.Машталов 19 Апрель 2011, 18:14
|
Да, это скорее опухоль ( МТС) чем гематогенный остеомиелит. Нагноение - почему пункция ? Вскрытие гнойника с биопсией больше поможет в диагностике и
лечение нагноениея более адекватное чем пункция. Будет результат ГА, проще определиться с тактикой и поиском первичного очага.
С ув . Машаталов
|
[
Ответить ]
|
( Ответить )
|
|