AOTRAUMA.ORG Центр Илизарова  

Ортопедия и травматология Общие вопросы/General questions Help Информационные технологии в медицине
 ВХОД ДЛЯ ПАЦИЕНТОВ
 вверх
 поиск
 админ
 главная
 исходное


Re: Боль после эндопротезирования
послал Батал Шушания 04 Май 2011, 00:27
Хочу доложить, недавний случай.
Пациент 60 лет, мужчина. Оперирован в 2007 году, поочередно оперированы два тазобедренных сустава с интервалом в 4 месяца. В 2008 году оперирован на сердце(аорто-коронарное шунтирование).Операция осложнилась инфицированием операционной раны в области грудины, лечился в гнойном отделении.
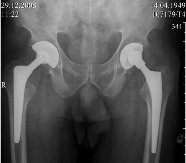
В конце 2008 года отметил боли в правой паховой области при опоре на правую ногу. На рентген снимках таза с тазобедренными суставами явных признаков нестабильности вертлужного компонента не обнаружено. В 2009 году нейрохирурги его "успешно" прооперировали на L\3-\4 связывая болевой синдром в правой паховой области с наличием грыжи указанного межпозвонкового диска. Состояние только ухудшилось, больной уже не мог долго сидеть, боль прогрессировала . Его в 2009 и 2010 годах смотрел ортопед, делались рентгенснимки, но почему то приходили к выводу что эндопротез справа стабилен. В марте 2011 года я впервые увидел его, через одну неделю после этого был прооперирован. На операции вертлужный компонент при упоре на него инструментом прокручивался во впадине и без труда был извлечен.
Эндопротез Ножка Cerafit компании Ceraver- чашка той же компании.
Расшорошили вертлужную впадину (дебридмент) Заменили чашку,учитывая невозможность полностью исключить инфекционный генез нестабильности, установили вертлужный компонент цементной фиксации (цемент с ванкомицином), поменяли головку из-за изменившихся взаимоотношении между бедренным компонентом и новой чашкой. Рану зашили наглухо. Провели антибактериальную терапию Кубицином. Выписали на 10 сутки после операции. Болевой синдром купирован, пациент радостный, уехал к себе в Калугу. Приедет на контрольный осмотр через месяц.
ниже снимок в 2008 году
далее снимок в 2009 году
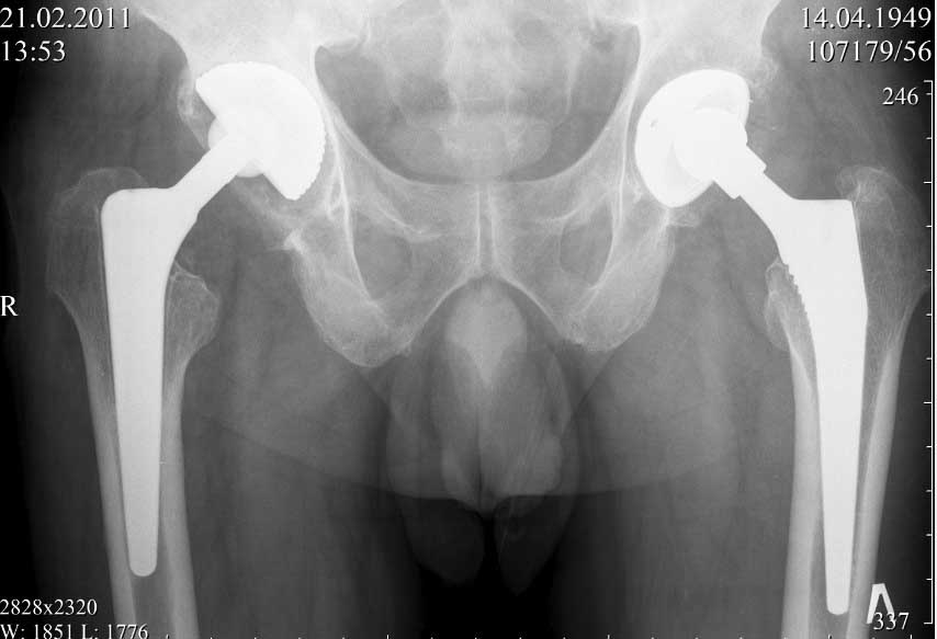
далее снимок у меня на приеме



при этом, у этого пациента была СОЭ 20 мм в час, лейкоциты и формула лейкоцитарная в норме. Можно было пунктировать сустав, но мы этого не сделали и оказались правы: при вскрытии сустава на операции, сустав был сухой и жидкость для посева мы бы не получили.
Но все же, мы провели его лечение как инфицированного, учитывая анамнез: нагноение операционной раны грудины, после операции на сердце. К тому, боли в правом тазобедренном суставе он отметил после осложненной операции на сердце.



Послать ответ

Имя
Email
Уведомление Сообщить мне по e-mail об ответах на это сообщение
Название
Комментарий
(Проверьте URL! Не забудьте написать http://!)
Кодировка
Если не знаете, что выбрать, выберите "Просто текст"!
Приложение
Можно приложить к сообщению файл c изображением, который затем будет доступен увидевшим сообщение.
Подготовка иллюстраций:
  • Рентгенограммы: черно-белые полутоновые изображения в формате JPEG (8 bit, greyscale) с разрешением от 300х200 до 1024х768 пикселов;
  • Клинические фотографии: полноцветные изображения в формате JPEG (24 bit, truecolor) с разрешением от 300х200 до 1024х768 пикселов;
  • Схемы и рисунки: черно-белые (2 bit) штриховые (line-art) изображения в формате GIF или compressed TIFF
  • Подберите степень сжатия файла JPEG и размер изображения таким образом, чтобы необходимые детали были различимы, но размер файла не превышал 75 кб.
  • Учтите, что текущая версия программного обеспечения Форума позволяет приложить к одному сообщению лишь один файл-вложение. Поэтому, если необходимо отправить несколько изображений, можно либо послать каждое как отдельное сообщение, либо в графическом редакторе объединить изображения в одно (сделать коллаж).
  • Если при подготовке изображений встречаются трудности, не стесняйтесь обратиться к координатору Форума.

  • Введите видимые символы в обратном порядке. Enter the above characters in reverse order (*Обязательно)
    В тексте сообщения можно использовать теги HTML <B> <I> <P> <A> <LI> <OL> <UL> <EM> <BR> <TT> <HR> <STRONG> <BLOCKQUOTE> <DIV .*> <DIV> <P .*>
  • Обратите внимание: Поля с жирными названиями обязательны.
  • Старайтесь отвечать в рамках обсуждаемой темы, а не начинать новые обсуждения.
  • Указывайте адекватную тему сообщения, чтобы было ясно, о чем оно.
  • Не послайте сообщений не по теме (оффтопик), раздраженных, грубых или обидных комментариев. Здесь это неуместно.
  • Powered by Zope  Squishdot Powered MedLink
    Посетитель: 0168381
      "По форме правильно, а по существу - издевательство" В.И.Ленин
    ©2001-2019Orthoforum Coordinator.
    [ Главная | Отправить сообщение | Поиск | Админ ]