вверх
отправить
поиск
админ
главная
|
Подвертельный перелом после МОС шейки винтами |
 |
 |
 |
Отправлено Машталов М.В. 07 Май 2011, 14:48 МЛПУ ГБСМП№2 1-е травм отд. г.Ростов-на-Дону
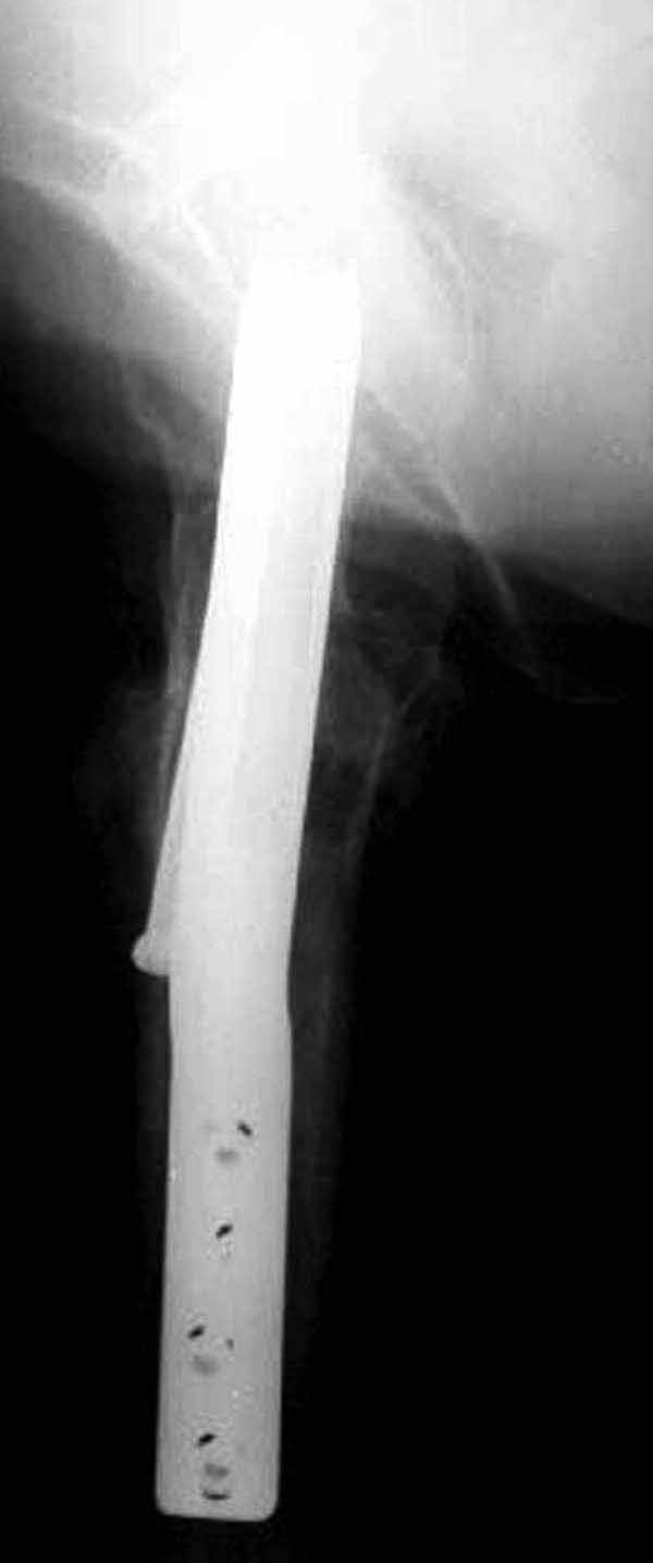
Пациентка Ш. 76 лет, 11 дней назад прооперирована по поводу вколоченного субкапитального перелома шейки левой бедренной кости, 3-мя канюлированными винтами. Вчера пациентка упала в палате. И вот результат- подимплантатный подвертельный перелом левой бедренной кости. Уважаемые коллеги, пожалуйста посоветуйте какой метод дальнейшего лечения предпринять дальше.Соматически пациента повышенного питания, страдает варикозной болезнью нижних конечностей.Из предложенных вариантов коллег - целллокастовая укороченная кокситная повязка, скелетное вытяжение сроком на 40-45 суток - отпали сразу, так как необходимо активизация пациентки.На данный момент рассматриваем следующие варианта реостеосинтеза:(наличие технических возможностей) 1. Длинная Gamma 3 Stryker (с предварительной интраоперационной фиксацией головки спицами).2. Трохантерный штифт DePuy с 2-мя метафизарными винтами в проксимальном отделе, (также с интраоперационной фиксацией головки спицами. Очень настораживает стабильность фиксации с проксимальном отделе с связи с выборкой костной ткани ранее находящимися там канюлированными винтами. Сейчас пациентка находится на скелетном вытяжении, с дисциплинирующим грузом. Операция планируется после праздников. Заранее извиняемся за качество и неполное соответствие проекций на R-ммах (R-служба отдельная песня). При интраоперационном ЭОП-контроле винты в аксиальной проекции разнесены по шейке.
P.S.Ещё один неблагоприятный прогностический признак - пациентка является родственницей наших коллег.
<
|
>
|
|
Ответить
|
Re: Подвертельный перелом после МОС шейки винтами
Юрий Алексеевич Булахтин 08 Май 2011, 02:30
|
Перелом, как мне кажется, "чрезимплантный." Мы бы убрали два нижних винта, верхний не трогали (для ротационной стабильности в последующем)+ поставили-бы DHS. Направляющую спицу для шеечного винта вводите до удаления нижних и тогда потеря головкой девственности не будет иметь такого значения.
С уважением и наилучшими пожеланиями,
Юрий Алексеевич Булахтин
Камчатский Военно-морской госпиталь
|
[
Ответить ]
|
Re: Подвертельный перелом после МОС шейки винтами
Игорь Кучерявый 08 Май 2011, 19:39
|
Пластину поверх или мимо канюлированных винтов.
Как вариант (если не будет места) - оставить один винт в шейке, приладить пластину, второй винт ввести на старое место через пластину, о третьем винте забыть - хватит ей и двух при таком раскладе.
P.S. А субкапитальный перелом в 76 лет прооперировали видимо по сильной просьбе коллеги?)))
С уважением,
Кучерявый Игорь,
г. Сергиев Посад.
|
[
Ответить ]
|
Re: Подвертельный перелом после МОС шейки винтами
Nik Wolfson 08 Май 2011, 21:08
|
Коллега,
Интересный случай. Тут много чего есть. Не просто перелом.
Давайте сначала о первоначальной операции:
Редукция отличная, а вот с фиксацией есть проблемы:
1. винты расположены не в лучшем положении:
два в нижней части шейки. Более стабильная структура как раз обратная: два шурупа в проксимальной части шейки , и не дальше центральной части головки, иначе есть риск пенетрации. дистальный винт мог бы быть выше уровня малого вертела. Его дистальное расположение описано с увеличенным риском послеоперационного перелома.
2. Не думал, что праздники влияют на сроки опереции срочного порядка, тем более известно, что операция в первые 48 часов после перелома несет лучший прогноз.
3. Чем фиксировать: я бы выбрал второй вариант
Удачи Вам и с днем победы
Nikolaj Wolfson, MD, FRCSC, FACS
San Francisco
|
[
Ответить ]
|
Re: Подвертельный перелом после МОС шейки винтами
Отправитель: Alexander Chelnokov 08 Май 2011, 21:11
|
Согласен с Николаем, винты распоожены так, чтобы эту "мину" заложить. И два внизу, и не должны, даже если один он там, они входить ниже уровня малого вертела, это резко повышает риск подвертельного перелома. Что до остеосинтеза - учитывая 76 лет, более подходящей представляется большего диаметра винт в шейке, то есть гамма.
|
[
Ответить ]
|
|
Re: Подвертельный перелом после МОС шейки винтами
Ostanin 08 Май 2011, 21:22
|
Интересный гвоздь есть у Zimmer - Sirus Intramedullary Femoral Nail. при этом 2 винта в головку пойдут через гвоздь, а один - мимо спереди.
|
[
Ответить ]
|
Re: Подвертельный перелом после МОС шейки винтами
Djoldas Kuldjanov 09 Май 2011, 14:23
|
Приходилось наблюдать расколачивание вколоченного субкапитального перелома, и для предупреждения осложнений считаем правильным решением экстренную оперативную фиксацию.
Как отметили коллеги, необходимо обратить внимание на последовательность введения каннюлированных шурупов. Рекомендуется введение в форме “V”, т.е основанием вниз, потому что в другой последовательности за счет увеличения стресса латерального кортекса имеется риск перелома. За редким исключением удается установить Guide wire с первой попытки и многоразовые пробы спицей увеличивают стресс. Небольшая травма может привести к перелому.
Работа Burstein AH and Wright TM: Fundamentals of Orthopaedic Biomechanics. Williams & Wilkins, Baltimore, pp. 160-169, 1994 доказывает, что шурупы, введенные на уровне малого вертела или ниже, приводят к осложнению. Введенные шурупы под 135 и больше градусов в 20% осложнились подвертельными переломами бедра.
У больных с ожирением и соматическими заболеваниями нежелательно открывать место перелома. Гвозди от DePuy с двумя шурупами рассчитаны для переломов бедра, и приходилось их применить для фиксации подвертельных переломов, но более адекватную фиксацию создает Gamma 3.

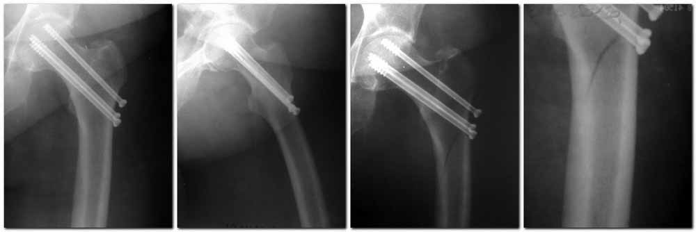
Здесь подобный случай, где стрессовый перелом обнаружен через 2 недели после фиксации. Применен Blade Plate с дополнительными шурупами.
Djoldas Kuldjanov, M.D.
Associate Professor
Department of Orthopedic Surgery
St. Louis University
|
[
Ответить ]
|
Re: Подвертельный перелом после МОС шейки винтами
Иван 09 Май 2011, 21:57
|
76 лет это еще не приговор! учитывая нестабильный характер перелома, то здесь наиболее приемлем гамма. А вот гвоздь Zimmer не плохой вариант.
С уважение, Иван.
|
[
Ответить ]
|
Re: Подвертельный перелом после МОС шейки винтами
Сергей 15 Май 2011, 22:25
|
stryker gamma 3, но перед введением винта в шейку, фиксировать головку спицами или шилом, иначе, ее легко провернуть именно этим имплантом.
|
[
Ответить ]
|
( Ответить )
|
|