Ответить
|
Re: Помогите подобрать фиксатор!!!
Alexander Chelnokov 18 Май 2011, 04:06
|
Подойдет интрамедуллярный стержень, любой доступный - с возможностью ввести 3-5 винтов в проксимальном отделе.
Можно и аппаратом фиксировать временно или окончательно.
Если стержнем решите - лучше предварительно вправить и удержать отломки упрощенным аппаратом. Если нужны подробности - выложу презентацию или методичку.
|
[
Ответить ]
|
Re: Помогите подобрать фиксатор!!!
Антон Жаглин 18 Май 2011, 20:54
|
Согласен, здесь можно и штифтом, но перед введением штифта я бы провел один-два спонгиозных "стягивающих" 6,5 мм винта с короткой 32мм резьбой.
|
[
Ответить ]
|
Re: Помогите подобрать фиксатор!!!
Леонид Пак 18 Май 2011, 21:04
|
Вариантов много: можно штифтом как предлагает Александр Николаевич, можно и мыщелковой пластиной- некрэктомия, остеосинтез, трансмиопластика с последующей дермопластикой, можно аппаратом внешней фиксации. Что хочет пациент? Чем располагаете?
С уважением Леонид Пак
|
[
Ответить ]
|
Re: Помогите подобрать фиксатор!!!
Maxim Agalakov 18 Май 2011, 22:08
|
в данной ситуации предпочел бы ExFix с предварительным проведением винтов/винта в плато.
P.S. Гвоздем. конечно, интересней, но... этой методикой нужно владеть очень хорошо, кроме того, в случае осложнений (не дай Бог) сложно будет объяснить пациенту и его родственникам, т.к технология не общепринятая
|
[
Ответить ]
|
Re: Помогите подобрать фиксатор!!!
Александр Н 19 Май 2011, 01:35
|
Уважаемые коллги! При БИОС, в данном случае "интересной интраоперационной находкой" может стать фрагментированная бугристость большеберцовой кости вместе с собственной связкой! К сожалению сталкивался.
|
[
Ответить ]
|
Re: Помогите подобрать фиксатор!!!
Дмитрий Бондарь 19 Май 2011, 17:12
|
Приветствую! IMHO АВФ в данной ситуации наиболее безопасный метод, учитывая некроз мягких тканей. Ну и конечно стоит выполнить КТ
С уважением Д.Б.
|
[
Ответить ]
|
Re: Помогите подобрать фиксатор!!!
Алексей Гринь 19 Май 2011, 20:25
|
Согласен с Максимом, интрамедкллярный фиксатор здесь подойдет отлично, но только если Вы уверены в своих силах. А так "всепрощающий" АНФ, спице стержневой, типа "дельта" с проведением через проксимальный отдел 4-5 спиц с упорами.И с мягкими тканями после удобно разбираться.
С уважением А.А.Гринь
|
[
Ответить ]
|
Re: Помогите подобрать фиксатор!!!
Лапидус Дмитрий 20 Май 2011, 02:19
|
Здравствуйте, Александр Николаевич! Очень интересны подробности.. Буду признателен, думаю, не я один, если выложите методичку. Спасибо!
|
[
Ответить ]
|
|
Re: Помогите подобрать фиксатор!!!
Djoldas Kuldjanov 20 Май 2011, 08:14
|
"участок некроза кожных покровов (см. фото), поэтому латеральная мыщелковая пластина не подойдет, а медиальных пластин у фирм-производителей нет. Пациент может приобрести современный имплант, но какой?"
Не знаю как у вас, вообще в государственном учреждении дискутировать с пациентами насчет цен и выбора имплантов считается неэтично. Другое дело в приватных клиниках, где больные заранее осведомлены о ценовых условиях и готовы оплатить. А так получается дискредитация, и среди больных создается неравенство, “комплекс неполноценности” может привести к конфронтации.
Не всегда “современнный” значит лучший, а иногда старый забытый метод окажется намного эффективнее, чем дорогой имплант.
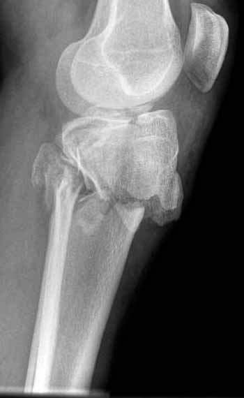
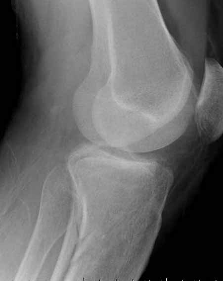
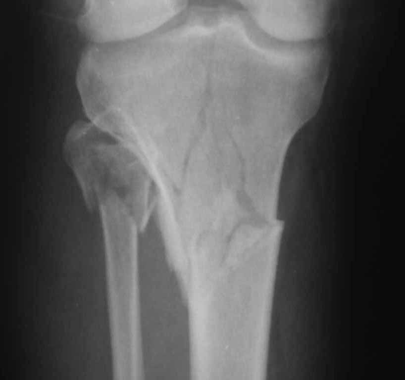
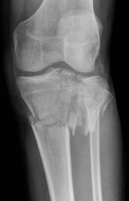
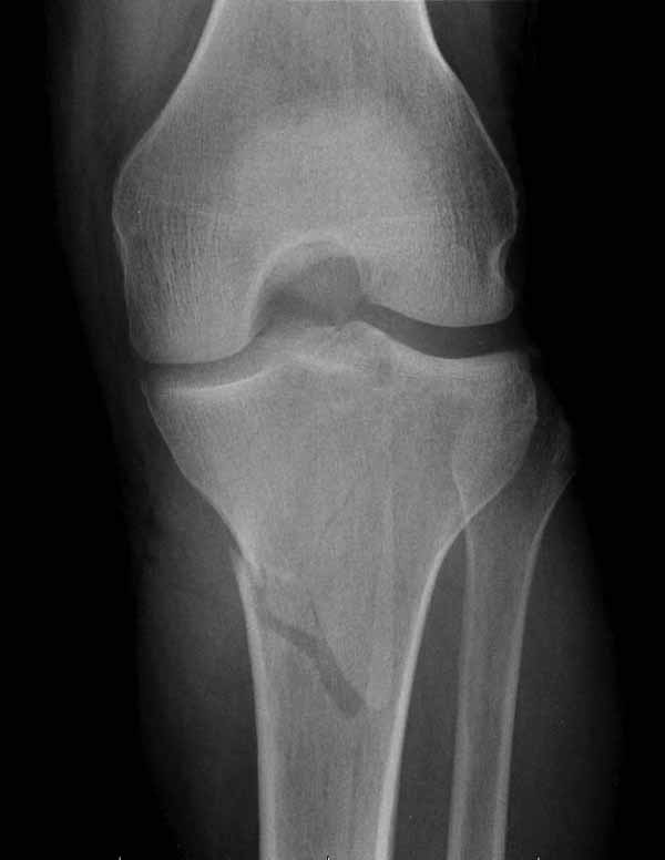
Двухколоннный перелом тибиал плато с вовлечением проксимального диафиза. Внутрисуставной компонент без смещения, и такой перелом можно лечить любым из описанных методов, о которых говорят наши коллеги.
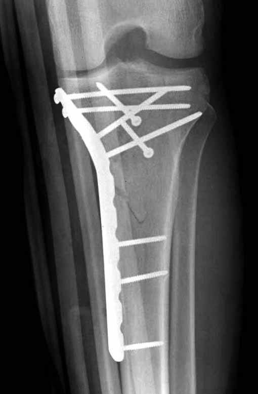
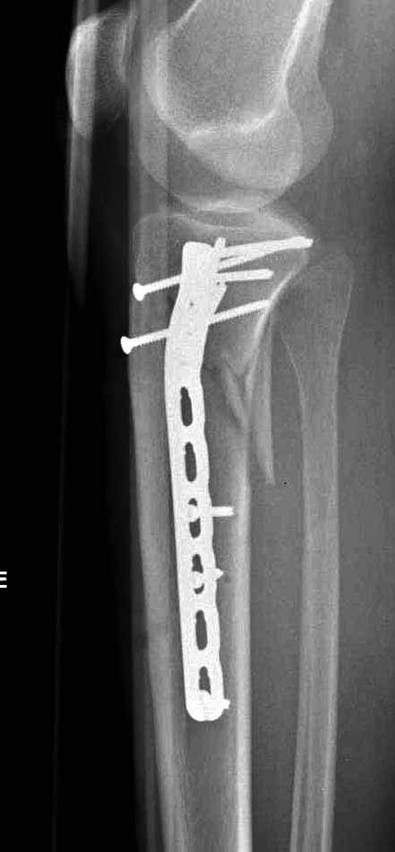
Удобно аппаратом Илизарова или интрамедуллярным гвоздем. Гвозди не так сложно, как пугают, тем более Александр готов помощь с методичкой. Сперва надо установить компрессирующие шурупы на мыщелки. Давно отказались в пользу 3.5-4.0 мм кортикальных вместо толстых спонгиозных, потому что не доказаны преимущества толстых шурупов. Тонкие шурупы в субхондральной зоне смотрятся намного элегантнее, чем толстые 6.5.
Это мероприятие превращает перелом в простой диафизарный, который легко можно фиксировать гвоздем. Шурупы надо установить сзади предполагаемого места введения гвоздя.
Как понял, аппарат Илизарова не рассматривается предпочтительным для фиксации методом, хотя на фоне отека было бы идеальным для данного перелома. Для пластины требуется идеальная кожа, иначе наличие “суперсовременных имплантов” не поможет, и могут развиться серьезные осложнения.
В основном пластины рассчитаны на латеральную поверхность, потому что с латеральной стороны больше мягкотканая подушка, а также через латеральную колонну проходит ось конечности, что немаловажно в удержании оси от деформации.
Для изолированных переломов медиального тибиал плато, фиксацию можно провести “медиальной пластиной”. Некоторые компании, например Smith & Nephew делают медиальные и медиально-задние пластины, но они мягкие, и легко можно создать нужный контур. Жесткость создается за счет фиксации жесткими пластинами, например экстра артикулярной пластиной для дистального плеча от Synthes. Медиальный доступ тоже не из легких, надо работать между pes and medial gastroc.
Частая ошибка, когда фиксацию двух колонного перелома проводят одиночной пластиной, т.е с одной стороны, и такая фиксация не удерживает, происходит вторичноое смещение. Необходимо нейтрализовать второй пластиной или дополнительным наружным фиксатором.
Если у вас, кроме пластины, нет другого альтернативного варианта, тогда, учитывая мягкотканые проблемы с наружной стороны, я бы рекомендовал операцию делать в два этапа. Преимущества, сперва репозиция и фиксация перелома с медиальной стороны, а затем, после улучшения состояния мягких тканей, зафиксировать с латеральной стороны. Современные пластины имеют латеральный Jig для перкутанных мини доступов.
Кстати, коллеги правы для уточнения характера перелома надо делать Компьютерную Томографию.


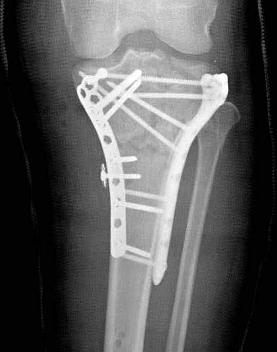
В приложении этапы фиксации Both Column Fx и пластиной Synthes для плеча при переломе медиального мыщелка.
Djoldas Kuldjanov, M.D.
Associate Professor
Department of Orthopedic Surgery
St. Louis University
|
[
Ответить ]
|
Re: Помогите подобрать фиксатор!!!
Евгений 21 Май 2011, 16:59
|
Был бы очень признателен Александру Челнокову за предоставление методички..... Коллеги, спасибо за советы... К сожалению томографа в больнице нет. Рассматривали вариант штифтования данного перелома, но большинство коллег против, да и опыта штифтования подобных переломов тоже нет. Если есть рентгенограммы заштифтованных подобных переломов, коллеги, выложите на обозрение, пожалуйста….Долго искали и все же остановили пока свой выбор на проксимальной медиальной большеберцовой пластине Numelock фирмы Страйкер.
|
[
Ответить ]
|
Re: Помогите подобрать фиксатор!!!
Отправитель: Alexander Chelnokov 22 Май 2011, 20:57
|
См. ссылку выше.
Медиальная пластина - действительно один из вариантов, но прочность будет невелика, и вполне может быть достаточно один раз оступиться, чтобы появилась несостоятельность.
Аппарат в этом отношении гораздо надежнее. Веером 5-6 спиц с упорами встречно в проксимальный отломок, из них 3-4 в плотную субхондральную кость, да 3-4 стержня в дистальный, и даже раннюю нагрузку можно одобрить. А если через 6-8 недель на метадиафизарном уровне не будет видно уверенного прогресса, то аппарат можно будет заменить на внутрикостный фиксатор. К этому времени несмещенные переломы суставной поверхности уже срастутся.
|
[
Ответить ]
|
|
Re: Помогите подобрать фиксатор!!!
Сергей 21 Май 2011, 19:02
|
Учитывая "простой" перелом мыщелков б/берцовоой кости (т.е без импрессии костной ткани), с учетом наличия очага некроза в зоне предполагаемого оперативного вмешательства в данном случае наиболее подходит спицевой вариант аппарата внешней фикцсации с наложением бедренного компонента аппарата с фиксацией коленного сустава(его можно снять ~ через 1-2 недели для начала разработки в коленном суставе). В облати метаэпифиза б/берцовой кости можно наложить спицы с напайками для устранения диастаза между мыщелками. Аппарат позволит устранить смещения отломоков и залечить некротическую рану.
Применение стержня в данном случае считаю нецелесообразным, так как при его введении диастаз между мыщелками можно увеличить. Кроме того, наличие раны может привести к распространению инфекции по каналу большеберцовой кости, а также коленного сустава через диастаз между мыщелками.
|
[
Ответить ]
|
Re: Помогите подобрать фиксатор!!!
Andrey 22 Май 2011, 00:18
|
Доброго времени суток! Я бы исходил из принципа "не навреди". Учитывая некроз ткани(неизвестно на каую глубину) наложил старый добрый спицевой АВФ. А вот после очищения, эрителизации некроза+сращения мыщелков заштивтовал... Срок ношения аппарата и заживления кожи + сращения мыщелков примерно один 1,5-2,0 мес. В свежем случае интерлокинг при открытых внутрисуставных переломах ошибочен: нет ранней нагрузки и нет абсолютной стабильности отломков-хоть 10 винтов...
Опыт лечения похожих больных небольшой, всего 2 человека, но результат отличный.
P.S.:На мой взгляд мода на интерлокинг или LSP любой ценой ошибочна...
|
[
Ответить ]
|
( Ответить )
|
|