AOTRAUMA.ORG Центр Илизарова  

Ортопедия и травматология Общие вопросы/General questions Help Информационные технологии в медицине
 вверх
 отправить
 поиск
 админ
 главная


Лодыжки
Ортопедия и травматология Отправлено oleg 24 Май 2011, 17:28
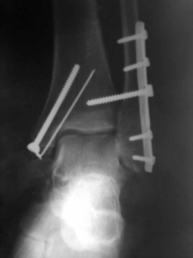
После операции высказали ряд замечаний. Не то что бы имею грандиозный опыт, но результат считаю достаточно удовлетворительным по крайней мере для того, что бы делать реМОС (так решило начальство.
Оцените обьективно ситуацию и проясните мне - это результат моей оплошности или предвзятое отношение

<  |  >

 

  • Сообщения о Ортопедия и травматология
  • Также oleg
  • Связаться с автором
  • Ответить

    Re: Лодыжки
    Дедок Михаил 24 Май 2011, 20:59
    Не идеально,но вполне допустимо.
    Переделывать глупо.

    Внутренняя лодыжка недорепонирована. Кортикальный винт в ней... а спонгиозника не было?
    Нижние винты в треть трубчатой пластине чуть бы подлиннее и позиционный винт то же.
    Наружная лодыжка репонирована хорошо, подвывиха нет.
    Необходима внешняя иммобилизация на 6 недель.

    А замечания, как писал святой Иоан Лествичник весьма полезны и если день прожит без них, то он прожит даром. В конце концов старшие коллеги нас дураков уму разуму учат.

    Удачи.
    [ Ответить ]

    • Re: Лодыжки
      Отправитель: олег 25 Май 2011, 23:06
      http://fotki.yandex.ru/users/olegshepeta/
      Предоставлю снимки, с Вашего позволения, на другом ресурсе, так как этот у меня почему-то очень глючит (тему создал раза с 20-го, а дополнительные фото до сих пор не мог загрузить).
      Значит 3 фотки, до травмы и после, прямая (какая есть) и боковая. Я действительно молодой специалисти, и возможно, частично по своей амбициозности, недооценил ситуацию, поэтому и прооперировал больного. Но результат оцениваю как удовлетворительный (все таки не 100-я и не 200-я а только 3-я самостоятельно сделанная), а не таковой, который подлежит реМОС. Конкретные замечания свелись к тому, что нужно перепровести винт на синдесмоз ВЫШЕ и дожать его. Кстати, интраоперационно синдесмоз цел, а поврежден фрагмент внешней лодыжки, который к нему прикреплен (фиксирован пластиной - прижимной механизм). С момента окончания операции прошло 10 дней, все это (и последующее) время он находится в гипсовой лонгете (перелом то 3-х лодыжечный - пусть маленький, но задний край). Замечания идут от руководства (зав. отделения и глав. врача (травматолога)). Остальные старшие коллеги особых нарушений не находят - откуда и вопрос о преднамеренной предвзятости к молодому неопытному специалисту

      [ Ответить ]
    Re: Лодыжки
    Андрей 24 Май 2011, 22:04
    Прошу Вас показать снимки до операции (2 проекции) и послеоперационные в 2-х проекциях. Желательно узнать анамнез.
    P.S. Для решения вопроса о реостеосинтезе надо 3 проекции: прямая, боковая и с внутренней ротацией 20гр, учитывая возможное повреждение (разрыв??) МС.
    Прорвемся:)
    [ Ответить ]

    Re: Лодыжки
    Alexey Semenisty 25 Май 2011, 15:05
    Для корректной оценки надо знать что-нибудь о больном, историю, видеть рентгенограммы до операции и после во всех стандартных принятых проекциях, а не только одну послеоперационную.
    Тем не менее, смущает отсутствие стягивающего винта, который должен был быть проведен перпендикулярно плоскости перелома наружной лодыжки в передне-заднем (или обратном) направлении. Тогда 1/3- трубки работает как нейтрализующая пластина. Без стягивающего винта она никакая - ни компрессирующая , ни нейтрализующая. Она просто слабая. Второе, мы ни чего не знаем о межберцовом винте. Нужен ли он был вообще? На каком этапе он был введен? Как подготавливались отверстия перед его введением? При пристальном рассмотрении имеющегося снимка создается впечатление, что этот винт работает как стягивающий, а не как позиционный, удерживающий, и имеется избыточное сдавление синдесмоза и из-за этого смещение тарана кнутри на 1-1,5 мм, что не позволило идеально отрепонировать медиальную лодыжку.. Хотя с последней проблем меньше всего.
    Не думаю, что это повод для реоперации. Не уверен и в пользе 6-ти недельной гипсовой иммобилизации. Но нагрузку, безусловно, надо отсрочить.
    Коллега, дайте больше информации, в том числе - чем сверлили, как сверлили, в каком порядке делали шаги, качество кости
    [ Ответить ]

    • Re: Лодыжки
      Отправитель: олег 25 Май 2011, 23:58
      Операция осуществлялась через 2 часа после травмы. начиная с латеральной лодыжки при достижении репозиции 2-х больших отломков и кусочка с прикрепленным синдесмозом произведен МОС пластиной с прижиманием кусочка под пластиной. МОС медиальной лодыжки, позиционный винт (сильно не стягивал, закручено при сгибании голеностопа 90 градусов до ощущения малейшего сопротивления). Винт в медиальной лодыжке - маллеолярный, а не спонгиозный, по моему последний тут менее нужный.

      [ Ответить ]
    • Re: Лодыжки
      Отправитель: олег 25 Май 2011, 23:59
      Больному 29 лет. Операция осуществлялась через 2 часа после травмы. начиная с латеральной лодыжки при достижении репозиции 2-х больших отломков и кусочка с прикрепленным синдесмозом произведен МОС пластиной с прижиманием кусочка под пластиной. МОС медиальной лодыжки, позиционный винт (сильно не стягивал, закручено при сгибании голеностопа 90 градусов до ощущения малейшего сопротивления). Винт в медиальной лодыжке - маллеолярный, а не спонгиозный, по моему последний тут менее нужный.

      [ Ответить ]
      • Re: Лодыжки
        Отправитель: Андрей 26 Май 2011, 03:49
        Ну недостатки в остеосинтезе можно найти. Их тут хорошо представили коллеги (см. пост Семенистого, Кульджанова). Каждый случай нужно анализировать и делать выводы на будущее. Пересинтезировать - бред сивой кобылы.
        Оперировали через два часа - это по дежурству? Если так, плюс в больнице не практикуется ургентный остеосинтез, или практикуется но "не для всех", то я думаю Вы сами понимаете реакцию начальства. Их не поставили в известность, не попросили совета и не поделились ... тактикой лечения.

        [ Ответить ]
        • Re: Лодыжки
          Отправитель: Oleg 26 Май 2011, 12:00
          Ургентный синтез практикуется, но только "избранными", в когорту которых я не вхожу. Скорее всего Ваша версия самая правильная. Что ж, СПАСИБО за все ответы. Закройте, пожалуйста, тему

          [ Ответить ]
    Re: Лодыжки
    Djoldas Kuldjanov 25 Май 2011, 15:07
    У меня тоже ряд замечании. Желательно рассказать полный анамнез: возраст, активность, а также всю историю, чем вызвано такое предвзятое отношение вашего руководства..

    Необходимо выставить все снимки, включая дооперационные: прямую, боковую и мортиз. Без этих снимков определить качество операции будет трудно. При переломах лодыжек имеется несколько важных критериев, что нельзя игнорировать, например, высоту малоберцовой.

    На прямой проекции нельзя оценить качество суставной поверхности, особенно сбоку, где можно упустить перелом заднего компонента. Без мортиза трудно доказать, что удалось восстановить высоту малоберцовой.

    Операции на лодыжках не являются ургентными, можно было не спеша подобрать импланты и сделать работу. Отличная работа это гарантия успеха и профилактика от критики.

    Djoldas Kuldjanov, M.D.
    Associate Professor
    Department of Orthopedic Surgery
    St. Louis University
    [ Ответить ]

    Re: Лодыжки
    Евгений 25 Май 2011, 15:12
    Олег,

    Для оценки типа перелома и предоп. планирования принято выполнять прямую, боковую и косую проекции, соответственно, и оценка качества репозиции проводится по постоп снимкам голеностопа в 3х проекциям - по одной проекции
    однозначно судить о качестве репозиции невозможно.
    Похоже, что у вашего пациента повреждение голеностопа типа Б т.е.линия перелома наружной лодыжки проходит на уровне синдесмоза: репозиция перелома и его фиксация( компрессионный винт или антиглайдин пластина) - вполне достаточно для стабилизации перелома и нет необходимости в проведении винта для фиксации дистального межберцового синдесмоза.
    Евгений
    [ Ответить ]


    ( Ответить )

    Powered by Zope  Squishdot Powered MedLink
    Посетитель: 0000046
      "По форме правильно, а по существу - издевательство" В.И.Ленин
    ©2001-2019Orthoforum Coordinator.
    [ Главная | Отправить сообщение | Поиск | Админ ]