AOTRAUMA.ORG Центр Илизарова  

Ортопедия и травматология Общие вопросы/General questions Help Информационные технологии в медицине
 вверх
 отправить
 поиск
 админ
 главная


Застарелый вывих головки плечевой кости
Ортопедия и травматология Отправлено Молодцов Максим 28 Июнь 2011, 23:22
Доброго времени суток уважаемые коллеги.Представляю вашему вниманию пациентку 54 лет.Из анамнеза: травма в сентябре 2010 года в результате падения. В ЦРБ по м/ж выполнена открытая репозиция, синтез штифтом Кюнчера и проволочным серкляжами.
Рана заживала первично.Такая исходная длина штифта разъяснена пациентке как "непринципиальный" момент в общем процессе лечения. Гипсовая иммобилизация 2 месяца. По снятию гипсовой повязки пациентка отметила резкое снижение объема движений в плечевом суставе. Активное длительное ЛФК без эффекта.
Спустя 6 месяцев после операции пациентка госпитализирована к нам в клинику. После выполнения контрольных рентгенограмм помимо атрофичного ложного сустава н\3 плечевой кости был диагностирован нижний вывих головки плечевой кости.
Первым этапом выполнено удаление металлоконструкции и БИОС плечевой кости с костной аутопластикой плечевой кости. Послеоперационный период без особенностей. Пациентка получила полный курс электромиостимуляции.
Сегодня пациентка поступила на этапное лечение. Жалобы на ограничение объема движений в плечевом суставе. Болевой синдром умеренный. Прошу совета в дальнейшей тактике лечения застарелого вывиха плечевой кости.

Есть мысль выполнить первым этапом артроскопический артролиз плечевого сустава и дня через 3-4 по купированию отека мягких тканей выполнить подвеску головки плечевой кости к акромиону аутотканями ( сухожилием, лентой из широкой фасции бедра и т.д.)
Буду признателен за советы и мнения.

<  |  >

 

  • Сообщения о Ортопедия и травматология
  • Также Молодцов Максим
  • Связаться с автором
  • Ответить

    Re: Застарелый вывих головки плечевой кости
    Андрей 29 Июнь 2011, 16:28
    Хотелось бы увидеть рентгенограммы всего плеча и после БИОС
    [ Ответить ]

    Re: Застарелый вывих головки плечевой кости
    Алибек 29 Июнь 2011, 20:50
    Максим,уточните пожалуйста характер гипсовой иммобилизации /в отведении или приведении,торакобрахиальная или нет/?
    [ Ответить ]

    • Re: Застарелый вывих головки плечевой кости
      Отправитель: Молодцов Максим 29 Июнь 2011, 21:16









      Прошу прощения за отсутствие всех рентгенограмм.
      Выбрасываю. По поводу гипсовой повязки: пациентка находилась в повязки типа Дезо. Плечо в приведении.




      [ Ответить ]
    • Re: Застарелый вывих головки плечевой кости
      Отправитель: Молодцов Максим 29 Июнь 2011, 21:23









      После БИОС


      [ Ответить ]
    • Re: Застарелый вывих головки плечевой кости
      Отправитель: Молодцов Максим 29 Июнь 2011, 21:25









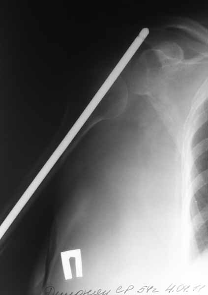
      Плечевой сустав на сегодняший день спустя 10 мес. после травмы.




      [ Ответить ]
    Re: Застарелый вывих головки плечевой кости
    Anton Bekhterev 01 Июль 2011, 18:41
    Такое впечатление, что здесь не вывих, но сублюксация головки из-за длительного вынужденного положения, обусловленного особенностью первичного остеосинтеза.

    Отправлено с моего коммуникатора HTC
    [ Ответить ]

    Re: Застарелый вывих головки плечевой кости
    Савранский Александр 01 Июль 2011, 23:38
    Согласен с Антоном Бехтеревым- здесь скорее всего имеет место выраженная атрофия дельт и как следствие подвывих головки плеча.
    Возможно съемная торакобрахиальная повязка с отведением плеча, активная ЛФК,электромиостимуляция и нейротропная терапия.
    В любом случае процесс восстановления будет длительным.
    [ Ответить ]

    Re: Застарелый вывих головки плечевой кости
    Олег 02 Июль 2011, 19:23
    Уважаемый коллега на мой взгляд исходя из представленных рентгенограмм и не имея данных клинического осмотра пациентки имеет смысл дифференцировать у пациентки 2 состояния; псевдопаралич (обусловленый массивным поражением ротаторного аппарата выступающим после первичного остеосинтеза фрагментом металлоконструкции) и паралич обусловленный повреждением n axillaris.Возможен также и третий вариант когда имеют место оба повреждения. Уточнив диагноз и нужно будет формировать дальнейшую тактику лечения. С уважением и сожалением Даниленко Олег.
    [ Ответить ]

    Re: Застарелый вывих головки плечевой кости
    Олег 02 Июль 2011, 19:23
    Уважаемый коллега на мой взгляд исходя из представленных рентгенограмм и не имея данных клинического осмотра пациентки имеет смысл дифференцировать у пациентки 2 состояния; псевдопаралич (обусловленный массивным поражением ротаторного аппарата выступающим после первичного остеосинтеза фрагментом металлоконструкции) и паралич обусловленный повреждением n axillaris.Возможен также и третий вариант когда имеют место оба повреждения. Уточнив диагноз и нужно будет формировать дальнейшую тактику лечения. С уважением и сожалением Даниленко Олег.
    [ Ответить ]

    Re: Застарелый вывих головки плечевой кости
    Афанасьев Станислав 06 Июль 2011, 19:12
    Согласен с коллегой в предположениях, однако склоняюсь к мысли, что имеем дело с нейропатией n. axillaris. Дело в том, что в случае обширного повреждения ВМП нижняя дислокация, как правило, не такая выраженная, т.к. нивелируется за счет тонуса дельтовидной мышцы. Ее вектор тяги направлен в сторону акромиона. Картина очень характерна для паралитической сублюксации. Работает ли дельта? Вы пишете, что пациентка активно зацималась ЛФК. Насколько активно можно заниматься при таком положении штифта? Вероятнее всего он выстоял кпереди от акромиона - это больно, а если под (на снимках не видно)то наличие каких-либо движений вообще сомнительно. Если дельтовидная мышца функционирует, напряжение ее волокон контурируется у худых и ощущается у полных даже при длительном бездействии. Кроме того наличие гипо- или анестезии в дельтовидной области поможет определиться. ЭНМГ прояснит ситуацию.
    Что касается артроскопии, да, поможет выявить повреждение ВМП, через нее вводились оба штифта, но это на мой взгляд чисто академический интерес. Шить ее сейчас не нужно, потребуется иммобилизация, а это в настоящее время не кстати. На счет "артролиза" не вполне понятно, что там лизировать при столь растянутой капсуле, а тем более при обширном разрыве (таковой хорошо виден на УЗИ). Я бы очень и очень не торопился с пластикой. При условии, что выполненный остеосинтез стабилен, на данном этапе сделано впролне достаточно. Предлагаю следующие мероприятия: 1)ЭНМГ. 2)Нейротропная терапия. 3)ЛФК по выраженности болевого сидрома, вначале пассивно, затем активная гимнастика. Все это на фоне электростимуляции. Пациентка должна знать, что каких-либо пдвижек следует ожидать не ранее чем через 3-4 мес. действительно активных занятий.
    Т.е. точкой приложения основных усилий должна быть консолидация перелома и восстановление работоспособности дельтовидной мышцы.

    С уважением. Удачи! Душевно благодарен, если будете держать в курсе динамики. Случай очень интересный.
    [ Ответить ]

    Re: Застарелый вывих головки плечевой кости
    Чирков Николай 25 Июль 2011, 20:50
    Полностью согласен с предъидущим высказыванием. Прежде всего надо всеми силами попытаться сохранить и укрепить дельтовидную мыщцу (неврологическое лечение + постоянная ЛФК на отведение, лучше в бандаже на плечевом суставе, который хоть как-то поможет стабилизировать сустав). В настоящеее время, считаю, оперировать плечевой сустав нецелесообразно. После сращения в н/3 и сохранения функции дельты есть 2 пути:1 Артротомия, мобилизация и восстановление ротаторной манжеты (сомнительный результат, так как большой срок и Вы увидите необратимое повреждение ВМП) поэтому 2 - это удаление стержня и эндопротезирование реверсивным протезом, функциональный результат которого полностью будет зависеть от состояния дельтовидной мышцы.
    [ Ответить ]


    ( Ответить )

    Powered by Zope  Squishdot Powered MedLink
    Посетитель: 0171330
      "По форме правильно, а по существу - издевательство" В.И.Ленин
    ©2001-2019Orthoforum Coordinator.
    [ Главная | Отправить сообщение | Поиск | Админ ]