Ответить
|
Re: Несращение шейки бедра
Бережной Сергей 06 Июль 2011, 01:37
|
А почему ходит с тростью? Нарушена опороспособность или просто рекомендация такая? И действительно ли не срослось? КТ не нужно сделать? Качество кости хорошее, в случае несращения за 9 месяцев должна была бы быть другая картина. Да и остеосинтез хорошо выполнен.
|
[
Ответить ]
|
Re: Несращение шейки бедра
Владимир 06 Июль 2011, 02:52
|
Учитывая возраст больного и качество кости, я однозначно за остеосинтез. Можно обойтись и без остеотомии, линия излома не вертикальная. Возможно с костной аутопластикой для стимуляции. Только отрепонировать хорошо, на представленных снимках, перелом недорепонирован, есть ротационное смещение. Плюс винт биомеханически введен не совсем удачно.
|
[
Ответить ]
|
Re: Несращение шейки бедра
Олег 06 Июль 2011, 13:05
|
Уважаемый коллега.
на представленных рентгенограммах прослеживается линия резорбции вокруг введенного винта, что свидетел ствует о нестабильности произведенного остеосинтеза ии отсутствии консолидации перелома. На мой взгляд нужно произвести ркт исследование и выполнить при отсутствии консолидации реостеосинтез с костной аутопластикой. При отсутствии сращения после данной операции остается ввариант с эндопротезированием. Выполнить репозицию несросшегося перелома закрытым способом на мой взгляд не совсем реально, открытая репозиция чревата аваскулярным некрозом. Выполнение вальгизирующей остеотомии считаю нецелесообразным так как это приведет к увеличению давления на головку (за счет натяжения мышц бедра )6 лишенную нормального кровотока приведет к ее коллабированию. С уважением Даниленко Олег.
|
[
Ответить ]
|
Re: Несращение шейки бедра
Paul 06 Июль 2011, 20:49
|
Александр Николаевич. 3 года назад на форум представлялся случай с псевдоартрозом шейки бедра после фиксации DHS. Обсуждение было великолепным, но ввиду ограниченности гос обеспечения, был выбран проверенный, надежный способ: удаление кострукций, аутокостное штифтование (заполнение) образовавшегося канала и .... кокситная гипсовая повязка на 3 мес. Результат - отличный полное восстановление и пригодность к службе с высокими требованиями физической готовности. Вывод: не надо забывать проверенные десятилетиями способы лечения переломов шейки бедра, не вредить больному.
|
[
Ответить ]
|
Re: Несращение шейки бедра
Maxim Agalakov 06 Июль 2011, 23:50
|
мне кажется, что вальгизировать особо нечего проблема скорее в ротационном смещении. Действительно может имеет смысл попробовать аутопластику (структурную или импакционную), может быть без коксита, но с проведением доп винтов.
Все это можно обсуждать после КТ
С уважением Максим Агалаков
|
[
Ответить ]
|
Re: Несращение шейки бедра
Alexey Semenisty 07 Июль 2011, 19:46
|
Я бы ограничился вальгизацией без вмешательства в зону перелома шейки. Биология здесь, надо полагать, хорошая, необходимо только улучшить механическую составляющую.
|
[
Ответить ]
|
Re: Несращение шейки бедра
Jgin 07 Июль 2011, 20:33
|
Учитывая, что при первичном синтезе DHS репозиция, по всей видимости, была неадекватная, то открывая область перелома для репозии, можно получить аваскулярный некроз головки.
Согласен с Paul, что возможно удаление гвоздя DHS, аутокостное штифтование по ходу гвоздя, и дополнительная фиксация 3 мя компремирующими винтами, что позволит активизировать больного без внешней иммобилизации.
|
[
Ответить ]
|
Re: Несращение шейки бедра
Vladimir B. Abduev 08 Июль 2011, 02:25
|
Уважаемый Александр! Что имеем? Судя по представленной Вами информации (Р-граммы и клиника), несмотря на крайне неудовлетворительное стояние отломков имеет место неполное сращение перелома. В противном случае никак не возможна ходьба с тростью, практически полное отсутствие болей, нет и асептического некроза. Отсюда и должны рассматриваться варианты дальнейшей тактики.Эндопротезирование, открытые репозиции, остеотомии вряд ли адекватны имеющейся ситуации.
Возможы на наш взгляд 2 варианта:
1.Ничего не трогать, продолжить ходьбу с тростью месяцев на 6 и т.д. Выздоровление скорее всего постепенно наступит.
2.Операции направленные на стимуляцию и укрепление имеющегося неполного сращения(без разъединения отломков) приведённые коллегами.
С уважением В.Абдуев
|
[
Ответить ]
|
Re: Несращение шейки бедра
eidelman mark 10 Июль 2011, 01:39
|
Na snimke net AVN,eto raduet idaet nadeghdu na to chto valgus osteotomy will work.
U menya bylo 2 takih sluchaya, sdelal with 90 derees blade plate: udobno, stabilno, nadeghno.Oba sroslis bez AVN
|
[
Ответить ]
|
Re: Несращение шейки бедра
Батал Шушания 10 Июль 2011, 13:35
|
Всем коллегам доброго времени суток! Я в данном примере за вальгизирующую остеотомию! Почему? Потому что, данная остеотомия улучшит механическую составляющую данного перелома, что положительно скажется в процессе и сроке сращения. Фиксация перелома "клиновидной" пластиной. Конечно я не сильный специалист в этом вопросе, признаюсь в этом.
Но, я бы предпочел бы этот метод, чем остальные выше указанные коллегами. интересно было бы услышать мнение Джолдаса Кулджанова, специалиста (можно сказать:знатока) в по остеотомиям проксимального отдела бедренной кости. Я думаю он скажет свое мнение, как всегда красочно иллюстрируя примерами!
С уважением к сообществу Шушания Батал.
|
[
Ответить ]
|
Re: Несращение шейки бедра
Александр Н 14 Июль 2011, 13:29
|
Уважаемые коллеги! мне кажется, что можно ввести в шейку дополнительно 1-2 спонгиозных компрессирующих винта параллельно опорному винту ДНС - его по видимому заклинило в втулке опорной пластины, что и послужило причиной несращения. Винты дадут дополнительную компрессию, стабилизацию и динамизацию. А протез всегда успеете.
или квота горит и надо протезировать по любому, а пациенту все равно, "как врачи скажут?".
С уважением Александр Н.
|
[
Ответить ]
|
Re: Несращение шейки бедра
Владимир 15 Июль 2011, 20:58
|
Очень интересно, какое же все-таки решение выбрал доктор Челноков в этой непростой ситуации...
|
[
Ответить ]
|
Re: Несращение шейки бедра
Djoldas Kuldjanov 16 Июль 2011, 12:24
|
До решения вопроса восстановления необходимо ответить на следующие вопросы:
-имеется ли ложный сустав шейки бедра?
-имеется ли инфицирование?
-имеется ли остеонекроз головки?
-какой из методов лучше?
Основным критерием ложного сустава является жалоба на внезапную боль на фоне благополучного течения заболевания после операции. Неожиданная боль в суставе после двух или трех месяцев безболезненной нагрузки является серьезным основанием для подозрения и тщатедьного мониторинга больного. Исследования на рентгене, где в первую очередь необходимо обратить внимание на качество репозиции и позицию имплантов. Изменение от первоначальной репозиции на 5 градусов или миграция импланта более 15 мм за кортикальный слой является настораживающим фактором.
Когда говорят о ложном суставе шейки бедра, многие автоматически называют 6 месяцев, но при проявлении ранних клинических симптомов можно смело ставить диагноз несращение, потому что обычно не наступает сращение. После появления этих признаков, надежд на сращение мало, и “ждать до конца” не решает проблему, а наоборот, теряется драгоценное время для восстановления. Чем ожидать, лучше найти время для мотивированной дискуссии с пациентом по поводу осложнения и совместного решения проблемы.
Тем более “независимо от метода фиксации переломов шейки бедра, осложняются ложным суставом” по данным некоторых авторов, при фиксации винтами до 14%, а при фиксации DHS до 50%. А Компьютерная Томография точно укажет уровень несращения и подтвердит правоту вашего предположения.
Внутрикапсулярные переломы могут осложнится ложным суставом в результате инфицирования. Сепсис очень быстро приводит к облитерации сустава. Для подтвержения диагноза применяется несколько методов исследований.
Так называемый “золотой стандарт”, пункционная биопсия через тонкую иглу не всегда является точным, т.е. остутствие инфекции на игле не является окончательным подтверждением отсутствия инфекции. Perry CR, Pearson RL, Miller GA; Accuracy of cultures of material from swabbing of the superficial aspect of the wound and needle biopsy in the preoperative assessment of osteomyelitis; J Bone Joint Surg [Am] 1991 Jun;73(5):745-9
Повышенная ESR (СОЭ) всегда будет при инфекции в организме, но повышение ESR в норме наблюдается до одного года после артропластики. Повышение ESR после одного года при отсутствии другого очага инфекции в организме является подозрением на инфекцию в суставе. Ritter MA, Esterhai JL; Prevention, diagnosis, and treatment of postoperative wound infections in adult hip and knee reconstruction In Orthopaedic Knowledge Update Hip and Knee Reconstruction; (ed) Callaghan JJ, Dennis DA, Paprosky WG, Rosenberg AG; Chapt 3 pp17-26; AAOS 1995
Некоторые рентгенологи очень негативно относится к проведению МРТ исследования больным с имплантами, но многие современные импланты сделаны из немагнитных материалов, и можно смело проводить любые исследования, включая МРТ.
Обнаруженный частичный АВН на МРТ (обычно в центре головки бедра) не является противопоказанием к реконструктивным операциям на проксимальном отделе бедра!
“In spite of what seems to be contrary to the containment approach of Perthes disease, valgus intertrochanteric osteotomy for un-united femoral neck fractures in the presence of femoral head osteonecrosis has a respectable success rate”
Marti RK, Schuller HM, Raaymakers EL; Intertrochanteric osteotomy for non-union of the femoral neck; J Bone Joint Surg [Br] 1989 Nov;71(5):782-7
“valgus intertrochanteric osteotomy has been effectively applied as a primary treatment for osteonecrosis of the femoral head in young patients” Maistrelli G, Fusco U, Avai A, Bombelli R; Osteonecrosis of the hip treated by intertrochanteric osteotomy. A four- to 15-year follow-up.; J Bone Joint Surg [Br] 1988 Nov;70(5):761-6
По поводу чем и как фиксировать, я давал подробный анализ в предыдущих дискуссиях.
Все разговоры по дополнению фиксации винтами или продолжения ходьбы на костылях как и все остальные методы: fibular osteosynthesis, quadratus femoris muscle-pedicle graft, anterior trochanteric muscle-pedicle graft, vascularized fibular graft, vascularized iliac bone graft, по нашему опыту и тому, что нам известно, в сравнении с вальгусной остеотомией приводили к ограниченному успеху..
Валгусная остеотомия - целая ортопедическая наука, т.е. “jewel of reconstruction” и, к сожалению, становится редко выполняниной операцией. Операция, кроме создания механического преимущества, также является малоинвазивной. Главная задача - расположение линии перелома на 25 градусов к оси бедра, а анатомическая ось к вертикали имеет разницу 9 градусов.
Чрезмерный вальгус ухудшает кровеснабжение головки, но здесь нет необходимости чрезмерной вальгизации. “Also, extreme valgus positioning of the femoral head causes obstruction of the vessels of the ligamentum teres” Smith FB; Effects of rotatory and valgus malpositions on blood supply to the femoral head; J. Bone Joint Surg. 41A:800, 1959
Но, “as the intertrochanteric osteotomy diminishes Pauwels angle (the fracture obliquity), the entire joint reaction force becomes normal or perpendicular to the fracture surface - shedding its entire shear component”, т.е. как раз увеличения давления на головку (Joint reaction) приведет к компрессии в зоне ложного сустава.
Преоперационная планирование на тригонометрическом калькуляторе поможет избежать ошибок. Harper MC, Canale ST, Cobb RM; Proximal femoral osteotomy: a trigonometric analysis of effect on leg length; J Pediatr Orthop 1983 Sep;3(4):431-4
Во избежании вальгизации конечности, во время операции надо латерализо вать диафиз. Выработанная тактика лечения обоснована на материале более 800 вылеченных переломов шейки бедра.

Djoldas Kuldjanov, M.D.
Associate Professor
Department of Orthopedic Surgery
St. Louis University
|
[
Ответить ]
|
Re: Несращение шейки бедра
Женя 21 Июль 2011, 17:05
|
Никто не обратил внимания, что конструкция-то вся "развинчена" - вывернулся винт из шеечного винта, пластина не прилегает к диафизу. Резорбция кости вокруг шеечного винта не позволит как-нибудь надежно синтезировать вальгизирующую остеотомию, а в случае неудачи сама остотомия осложнит последующее эндопротезирование. Поэтому, думаю, что лучшим вариантом будет синтез аутокостью + канюлированные винты (дабы избежать кокситной повязки).
|
[
Ответить ]
|
Re: Несращение шейки бедра
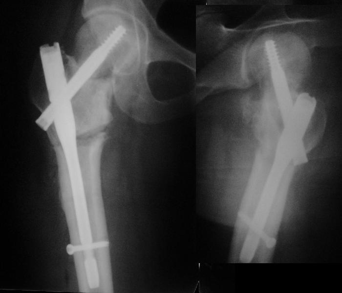
Alexander Chelnokov 03 Август 2011, 01:01
|
Я бы ограничился вальгизацией без вмешательства в зону перелома шейки. Биология здесь, надо полагать, хорошая, необходимо только улучшить механическую составляющую.

В итоге что-то такое и сделали. Убрали DHS, остеотомия, синтезировали Affixus с небольшой вальгизацией. Снимки в приложении.
|
[
Ответить ]
|
Re: Несращение шейки бедра
Отправитель: Alexey Semenisty 05 Август 2011, 00:14
|
Ну, чтож, теперь будем посмотреть).
Интересен результат через 6-12-24-и т.д. месяцев
|
[
Ответить ]
|
|
Re: Несращение шейки бедра
Женя 05 Август 2011, 23:41
|
Похоже удалось провести шеечный винт мимо старого канала, и вальгус, вроде, удался. Только хороший-ли контакт фрагментов в зоне остеотомии? Действительно - жизнь покажет.
|
[
Ответить ]
|
( Ответить )
|
|