AOTRAUMA.ORG Центр Илизарова  

Ортопедия и травматология Общие вопросы/General questions Help Информационные технологии в медицине
 вверх
 отправить
 поиск
 админ
 главная


неприятный случай
Ортопедия и травматология Отправлено Paul 31 Июль 2011, 09:57
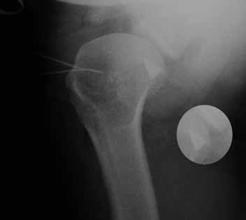
Больная В. 41 год. Во время выполнения операции Розенштейна – пересечение сухожилия двуглавой мышцы плеча
(транспозиции сухожилия двуглавой мышцы плеча, с проведением ёё под ротаторами плеча, к клювовидному отростку) произошел перелом конца съёмного лезвия скальпеля (Фирма: TRO-Microcut. №21; Lot 21/889-01 Exp: 2013-02).
После нескольких безуспешных попыток поиска операция закончена, рана зашита. Послеоперационный период гладкий.
Предыдущий опыт использования лезвий «Paragon» давало шанс врачу: лезвия не кололись, а вначале деформировались, либо частично ломались. В данном случае очень хрупкое лезвие, во время работы в ограниченном пространстве, обломилось с «отстреливанием» отломка.
Уважаемые коллеги прошу помочь в тактике ведения данного случая.

<  |  >

 

  • Сообщения о Ортопедия и травматология
  • Также Paul
  • Связаться с автором
  • Ответить

    Re: неприятный случай
    Бережной Сергей 31 Июль 2011, 21:46
    А есть ли у Вас ЭОП? Если есть - проблем не должно быть. Если нет - можно попробовать достать под рентгеноскопическим контролем в рентгеновском кабинете. Только основательно подготовиться к этому: наркоз, асептика и т.д. Без рентгеноскопического контроля лучше не пытаться.
    [ Ответить ]

    Re: неприятный случай
    Paul 31 Июль 2011, 23:28
    К сожалению ни ЭОПа ни артроскопа в настоящий момент - нет.
    [ Ответить ]

    Re: неприятный случай
    Дедок Михаил 01 Август 2011, 02:08
    Если если есть рентгенологический кабинет, обязательно должна быть рентгеноскопия (желудки рентгенологи наверняка смотрят и ирригоскопию делают. Лежа, дать внутривенный (хотя бы тиопенталовый) наркоз и под контролем рентгеноскопии сделать небольшой разрез кожи и зажимом поймать обломок. (естественно обложится) На самый худой конец разметить инъекционными (люмбальными иглами) и продолжить в оперблоке. Я как то так удалял обломок иглы.

    Удалять надо, это не сверло, будет мигрировать при мышечных сокращениях.


    P.S. Мы то же используем эти лезвия. Не ломались ни разу и не гнулись то же, но тупятся ..... Поэтому режу ими только кожу. Далее коагулятор или ножницы.
    [ Ответить ]

    Re: неприятный случай
    Олег 01 Август 2011, 23:58
    Уважаемый коллега.
    На мой взгляд наиболее оптимальным вариантом является удаление под контролем РЭОП. Если в вашем учреждении его нет, то на мой взгляд не стоит направить в учреждение где он есть. Кстати снимок выполнен после операции или во время оперативного вмешательства. Если снимок сделан во время операции возможно фрагмент вне раны (на простынях и т.д.). и вопрос несколько не по теме как вы сами оцениваете результаты от применения такой операции как Розенштайна? C уважением Даниленко Олег
    [ Ответить ]

    Re: неприятный случай
    Зубач Остап 02 Август 2011, 03:32
    Если снимок post-op и штуковина внутри, подготовиться нужно к длительной мороке во время операции. Может имеет смысл поставить метки из 4-5 спиц Киршнера в разных направлениях и на разной глубине. Ну и не грех было бы наверное проехаться с пациентом туда где есть ЭОП или хотя бы скопия. Удачи и успеха Вам!
    [ Ответить ]

    Re: неприятный случай
    Женя 02 Август 2011, 16:02
    Да, случай действительно неприятный, но не более. Думаю, что сейчас надо успокоиться самим и пациенту - пусть все заживает. Сама операция, видимо, предполагает иммобилизацию конечности на срок не менее 3-х недель (а если больше - еще лучше). Так вот, за это время обломок Ваш как-то инкапсулируется, т.е. будет относительно неподвижен - тогда и приступайте к поискам с помощью обычного рентгена и рентгенконтрастных меток (коль нет ЭОПа). Правда в данной ситуации важнее всего наличие позитивного контакта с пациентом, чтобы не было реальных непрятностей.
    [ Ответить ]

    Re: неприятный случай
    Paul 02 Август 2011, 19:16
    Большое спасибо за поддержку и обсуждение!
    В данном случае, почему-то, в ходе этой операции применили пробную партию обозначенных лезвий.
    Снимок сделан во время операции в положении бльного на спине - аксиальная проекция. Игольчате метки - передняя поверхность плечевого сустава в этом мете осуществлен доступ. Прямая проекция обрезана. Фрагмент рапологается по центру головки на самом краю снимка.
    Предполагаю, после востановления мягких тканей 2-4 недели) выполнить артроскопическое вмешательство (будет использован поврежденный артроскоп 6 мм).
    [ Ответить ]

    • Re: неприятный случай
      Отправитель: Бережной Сергей 02 Август 2011, 22:49
      Рискованная задумка. За 3-4 недели инородное тело может оказаться полностью погруженным в мягкую ткань и никак его артроскопом не выявишь.
      Еще один возможный вариант - удаление под контролем ультразвука. Опять же нужны оборудование и опыт (или опытный узист).


      [ Ответить ]
    • Re: неприятный случай
      Отправитель: Олег 03 Август 2011, 01:52
      Уважаемый коллега если это снимок во время операции то необходимо повторить контроль сейчас. Возможно фрагменты лезвия находились вне раны. С уважением Даниленко Олег

      [ Ответить ]
    Re: неприятный случай
    Максим Королев 02 Август 2011, 22:54
    Поврежденный артроскоп-видать Вам мало проблем с лезвием.Вы уверены, что лезвие находится в полости сустава, при такой операции (Розенштейна) вряд ли. На мой взгляд Вы его "оставили" где-то в биципсе. Если есть "сетка"(если нет делается очень просто из проволоки) подшейте ее и покрутите больного под рентгеноскопией и определитесь точно. Но делать артроскопию плечевого сустава я бы не советовал (А-поврежденный инструмент, Б-Вы уже там "открыто побывали"?В-вы точно не определились где ОНО-и пациенту озвучить что после артроскопии не нашли-??????)
    [ Ответить ]

    Re: неприятный случай
    Женя 05 Август 2011, 23:56
    Пока что ясно только то, что ничего не ясно. Не спешите с принятием решения, дабы не усугубить. Артроскопия плечевого сустава, тем более поврежденным аппаратом, ничего не даст. Однажды, при артроскопии в коленном суставе сломался баскет - отлетела бранша во время резекции заднего рога внутреннего мениска. Поиски вылились в 4-хчасовое мучение с благоприятным, правда, результатом. И это, как говорится, "по свежаку". А в плечевом, да через 2-4 недели...
    [ Ответить ]


    ( Ответить )

    Powered by Zope  Squishdot Powered MedLink
    Посетитель: 0274949
      "По форме правильно, а по существу - издевательство" В.И.Ленин
    ©2001-2019Orthoforum Coordinator.
    [ Главная | Отправить сообщение | Поиск | Админ ]