вверх
отправить
поиск
админ
главная
|
Патологический перелом бедра |
 |
 |
 |
Отправлено Леонид Пак 11 Август 2011, 11:37
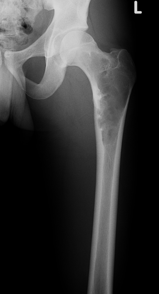
Молодая пациентка 23 лет. Травма в результате падения с высоты своего роста. Упала 2 дня назад доставлена к нам вот с такой картиной. Из анамнеза - боли беспокоят в течении полугода, постоянные. Никуда не обращалась. Уважаемое сообщество подскажите - ОБК?, Фиброзная дисплазия?, Киста?. Тактика ведения?. Девушка молодая!!!
<
|
>
|
|
Ответить
|
Re: Патологический перелом бедра
Владимир 12 Август 2011, 05:17
|
Леонид Федорович!
Что за травма - непонятно. Выложенные картинки неинформативны. Ортопедия - в соседнем корпусе. А то, что "девушка молодая" с тремя "!!!" - это настораживает!!!
|
[
Ответить ]
|
Re: Патологический перелом бедра
dimitri 12 Август 2011, 18:59
|
На мой взгляд - это эссенциальная однокамерная киста или, скорее, аневризмальная.
И еще - полагаю, что фамилии пациентов следует скрывать на предоставляемых материалах. Модератору это тоже большой минус
|
[
Ответить ]
|
Re: Патологический перелом бедра
Курышев Данила 14 Август 2011, 02:05
|
Уважаемый Леонид! А Вы сами считаете достаточной диагностическую инормацию, которую выложили в посте?
Ничего личного :)
|
[
Ответить ]
|
Re: Патологический перелом бедра
Отправитель: Леонид Пак 14 Август 2011, 16:22
|
Уважаемый Данила! Может подскажете что еще нужно выложить?
С уважением Леонид Пак
|
[
Ответить ]
|
|
Re: Патологический перелом бедра
Katsevman Efim MD Guinea Ecuatorial Bata La Paz 16 Август 2011, 19:38
|
Zdravstvuite, Leonid. mne kazetsia nuzno nemnogo izmenit format obshenia na forume, esli co mnoi soglasitsia uvazaemoe soobshestvo(eto dlia vsex obrashaushixsia za sovetom) vo pervix nachinat rentgen. obsledovanie nuzno s prostoi pravilno vipolnennoi rentgenogrammi, potom KT, MRT . vo vtorix , mozet u vas i net opita lechenia takix pacientov no v literature nakoplen ogromnii opit, shto pishut, nu xotia bi v tekctbuke. napishite nam shto vi dumaete po etomu povodu i kak vi planiruete osushestvit lechenie dannoi pacientki i kakie vozmoznosti est v vashei klinike. a potom drugie doktora podeliatsia svoim opitom.....ne zagliadivaia v knigu ia perechislu neskolko liticheskix povrezdenii kosti> fibrous displasia, enchondroma, giant cell tumor, non ossifiing fibroma, osteomyelitis, multiple myeloma, aneurizmal bone cyst, simple bone cyst. takze metastasis(toze chashe liticheskii)est shto to eshe no ne pomnu bolshe. seichas mozno v internete naiti lubuu rentgenogramu s luboi patologiei i mozno sravnit. kstati samaia agressivnaia iz dobrokachestv eto GCT, potom ABC, dlia ix ustranenia ispolzuut krioterapiu,fenol naskolko ia pomnu.Chem zapolnit defekt i kak fixirovat? v razvitix i razvivaushixsia stranax takix kak Israel takie bolnie leshatsia u specialistov proshedshix podgotovku po onkologicheskoi ortopedii. Uspexov (Izvinite shto net russkogo shrifta na klaviature )
fibrous displasia.jpg
87KB (89105 bytes)
|
[
Ответить ]
|
Re: Патологический перелом бедра
Леонид Пак 24 Август 2011, 14:53
|
Уважаемые коллеги, честно говоря мое сообщение носило несколько провакационный характер у нас патологическими переломами, опухолями костей должным образом не занимается никто, мало того имеется приказ данную патологию отправлять на госпитализацию в онкоцентр. Исходя из количества ответов, вопросов на мое сообщение прихожу к выводу что и у ВАС данной патологией и онкоортопедией толком никто не занимается. Очень интересно наблюдать и участвовать в обсуждении лечения переломов лодыжек, голеней др.костей. Как Вы считаете все-таки чей это хлеб? Нет ли необходимости нашим НИИ обратить на данную проблему более пристальное внимание?
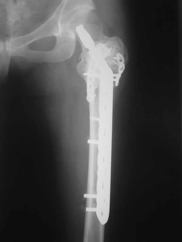
А по пациентке:Обследования провели в легких чисто, лабораторно - без особенностей. Выполнили МРТ - костная киста, однокамерная. Оперирована - створчатая остеотомия, удаление кисты, костная пластика аутокостью с гребня подвздошной кости, остеосинтез DHS со сприральным клинком, створка фиксирована пластинами монокортикально.

Макроскопически - слизеподобное содержимое темно-бурого цвета, отдали на гистологию.
Коментарии и критика приветствуются.
С уважением Леонид Пак
|
[
Ответить ]
|
( Ответить )
|
|